Retroperitoneal Mystery: Primary Retroperitoneal Mucinous Cystic Neoplasm With Concomitant Cystic Neoplasm of the Pancreas.

Case Reports in Urology Pub Date : 2025-05-22 eCollection Date: 2025-01-01 DOI:10.1155/criu/3296313
Luis Gonzalez Miranda, Jessica Qiu, Yubo Wu, Kirsten Greene
{"title":"Retroperitoneal Mystery: Primary Retroperitoneal Mucinous Cystic Neoplasm With Concomitant Cystic Neoplasm of the Pancreas.","authors":"Luis Gonzalez Miranda, Jessica Qiu, Yubo Wu, Kirsten Greene","doi":"10.1155/criu/3296313","DOIUrl":null,"url":null,"abstract":"<p><p>Urologists are commonly referred patients with retroperitoneal lesions and masses arising from or involving the kidney. In this case, the patient had a retroperitoneal mass identified on imaging which was initially concerning for a cystic renal neoplasm, but it was clearly distinct from all surrounding structures. Pathology found the very uncommon and unexpected diagnosis of a mucinous cystic neoplasm (MCN) with ovarian-type stroma suspected to have arisen from the pancreas. MCNs are lesions that most commonly arise in the ovaries, but less often can arise in extraovarian tissues. Of these extraovarian MCNs, primary retroperitoneal MCNs are exceedingly rare masses with some similarity to their pancreatic and ovarian counterparts. We present a case of an MCN found in the retroperitoneum and initially mistaken for a cystic renal mass, with histological markers and a concomitant pancreatic cyst that suggests possible pancreatic origin. Interestingly, no literature has described pancreatic MCNs without invasive features that have been found in the retroperitoneum without any formal tissue connection to the pancreas. The pathogenesis of retroperitoneal MCNs is still unknown, and as a result, the optimal treatment strategy is unclear.</p>","PeriodicalId":30323,"journal":{"name":"Case Reports in Urology","volume":"2025 ","pages":"3296313"},"PeriodicalIF":0.0000,"publicationDate":"2025-05-22","publicationTypes":"Journal Article","fieldsOfStudy":null,"isOpenAccess":false,"openAccessPdf":"https://www.ncbi.nlm.nih.gov/pmc/articles/PMC12122154/pdf/","citationCount":"0","resultStr":null,"platform":"Semanticscholar","paperid":null,"PeriodicalName":"Case Reports in Urology","FirstCategoryId":"1085","ListUrlMain":"https://doi.org/10.1155/criu/3296313","RegionNum":0,"RegionCategory":null,"ArticlePicture":[],"TitleCN":null,"AbstractTextCN":null,"PMCID":null,"EPubDate":"2025/1/1 0:00:00","PubModel":"eCollection","JCR":"","JCRName":"","Score":null,"Total":0}
引用次数: 0

Abstract

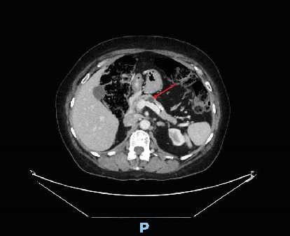
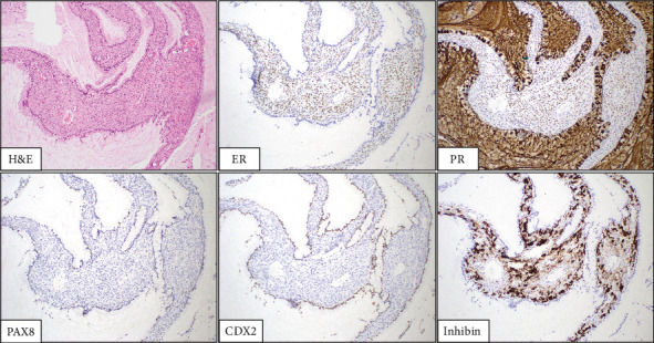
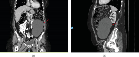
Urologists are commonly referred patients with retroperitoneal lesions and masses arising from or involving the kidney. In this case, the patient had a retroperitoneal mass identified on imaging which was initially concerning for a cystic renal neoplasm, but it was clearly distinct from all surrounding structures. Pathology found the very uncommon and unexpected diagnosis of a mucinous cystic neoplasm (MCN) with ovarian-type stroma suspected to have arisen from the pancreas. MCNs are lesions that most commonly arise in the ovaries, but less often can arise in extraovarian tissues. Of these extraovarian MCNs, primary retroperitoneal MCNs are exceedingly rare masses with some similarity to their pancreatic and ovarian counterparts. We present a case of an MCN found in the retroperitoneum and initially mistaken for a cystic renal mass, with histological markers and a concomitant pancreatic cyst that suggests possible pancreatic origin. Interestingly, no literature has described pancreatic MCNs without invasive features that have been found in the retroperitoneum without any formal tissue connection to the pancreas. The pathogenesis of retroperitoneal MCNs is still unknown, and as a result, the optimal treatment strategy is unclear.

Abstract Image

Abstract Image

Abstract Image

腹膜后未解之谜:原发性腹膜后粘液囊性肿瘤伴发胰腺囊性肿瘤。
泌尿科医生通常转诊由肾脏引起或累及肾脏的腹膜后病变和肿块的患者。在本例中,患者在影像学上发现腹膜后肿块,最初与囊性肾肿瘤有关,但与周围所有结构明显不同。病理发现非常罕见和意想不到的诊断粘液囊性肿瘤(MCN)卵巢型间质怀疑起源于胰腺。mcn是最常发生在卵巢的病变,但很少发生在卵巢外组织。在这些卵巢外mcn中,原发性腹膜后mcn极为罕见,与胰腺和卵巢mcn有一些相似之处。我们报告一例在腹膜后发现的MCN,最初被误认为是囊性肾肿块,组织学标记和伴随的胰腺囊肿提示可能的胰腺起源。有趣的是,没有文献描述在腹膜后发现的胰腺mcn没有侵袭性特征,与胰腺没有任何正式的组织连接。腹膜后MCNs的发病机制尚不清楚,因此,最佳治疗策略尚不清楚。
本文章由计算机程序翻译,如有差异,请以英文原文为准。
求助全文
约1分钟内获得全文 求助全文
来源期刊
自引率
0.00%
发文量
28
审稿时长
13 weeks
×
引用
GB/T 7714-2015
复制
MLA
复制
APA
复制
导出至
BibTeX EndNote RefMan NoteFirst NoteExpress
×
提示
您的信息不完整,为了账户安全,请先补充。
现在去补充
×
提示
您因"违规操作"
具体请查看互助需知
我知道了
×
提示
确定
请完成安全验证×
copy
已复制链接
快去分享给好友吧!
我知道了
右上角分享
点击右上角分享
0
联系我们:info@booksci.cn Book学术提供免费学术资源搜索服务,方便国内外学者检索中英文文献。致力于提供最便捷和优质的服务体验。 Copyright © 2023 布克学术 All rights reserved.
京ICP备2023020795号-1
ghs 京公网安备 11010802042870号
Book学术文献互助
Book学术文献互助群
群 号:604180095
Book学术官方微信