Hypertensive Disc Edema or Ocular Syphilis? A Case Report of the Great Masquerader.

IF 0.6 Q4 OPHTHALMOLOGY
Case Reports in Ophthalmology Pub Date : 2025-05-02 eCollection Date: 2025-01-01 DOI:10.1159/000545491
Nicole Oska, Michael Saad, Hassan Tokko
{"title":"Hypertensive Disc Edema or Ocular Syphilis? A Case Report of the Great Masquerader.","authors":"Nicole Oska, Michael Saad, Hassan Tokko","doi":"10.1159/000545491","DOIUrl":null,"url":null,"abstract":"<p><strong>Introduction: </strong>Ocular syphilis is a rare manifestation of syphilis caused by <i>Treponema pallidum</i> which can occur at any stage of infection. It most commonly presents as posterior or panuveitis but can involve various ocular structures, complicating diagnosis.</p><p><strong>Case presentation: </strong>We describe a case of a 38-year-old female with a 7-month history of progressive blurry vision, floaters, flashes, and photophobia. Upon presentation to the emergency department, the patient's symptoms were initially attributed to a hypertensive emergency given fundoscopic examination revealing of optic disc edema. Despite resolution of hypertensive episode, the patient's symptoms persisted and she presented to our ophthalmology clinic where optical coherence tomography (OCT) showed ellipsoid zone disruption and hyperreflective deposits. Routine screening done at the emergency department for sexually transmitted infections indicated infection with syphilis and human immunodeficiency virus (HIV), for which the patient was instructed to return to the hospital for treatment. Cerebrospinal fluid (CSF) analysis confirmed diagnosis of neurosyphilis, and the patient was treated with 14 days of intravenous penicillin G.</p><p><strong>Conclusion: </strong>This case highlights the diagnostic challenges posed by ocular syphilis, especially when overshadowed by other conditions like hypertension. This patient's atypical presentation of optic neuritis without uveitis underscores the necessity of considering ocular syphilis in patients with chronic unexplained visual changes, particularly in high-risk populations.</p>","PeriodicalId":9635,"journal":{"name":"Case Reports in Ophthalmology","volume":"16 1","pages":"346-352"},"PeriodicalIF":0.6000,"publicationDate":"2025-05-02","publicationTypes":"Journal Article","fieldsOfStudy":null,"isOpenAccess":false,"openAccessPdf":"https://www.ncbi.nlm.nih.gov/pmc/articles/PMC12121978/pdf/","citationCount":"0","resultStr":null,"platform":"Semanticscholar","paperid":null,"PeriodicalName":"Case Reports in Ophthalmology","FirstCategoryId":"1085","ListUrlMain":"https://doi.org/10.1159/000545491","RegionNum":0,"RegionCategory":null,"ArticlePicture":[],"TitleCN":null,"AbstractTextCN":null,"PMCID":null,"EPubDate":"2025/1/1 0:00:00","PubModel":"eCollection","JCR":"Q4","JCRName":"OPHTHALMOLOGY","Score":null,"Total":0}
引用次数: 0

Abstract

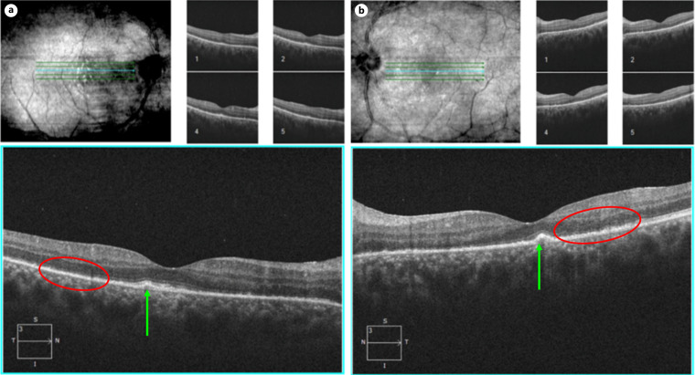
Introduction: Ocular syphilis is a rare manifestation of syphilis caused by Treponema pallidum which can occur at any stage of infection. It most commonly presents as posterior or panuveitis but can involve various ocular structures, complicating diagnosis.

Case presentation: We describe a case of a 38-year-old female with a 7-month history of progressive blurry vision, floaters, flashes, and photophobia. Upon presentation to the emergency department, the patient's symptoms were initially attributed to a hypertensive emergency given fundoscopic examination revealing of optic disc edema. Despite resolution of hypertensive episode, the patient's symptoms persisted and she presented to our ophthalmology clinic where optical coherence tomography (OCT) showed ellipsoid zone disruption and hyperreflective deposits. Routine screening done at the emergency department for sexually transmitted infections indicated infection with syphilis and human immunodeficiency virus (HIV), for which the patient was instructed to return to the hospital for treatment. Cerebrospinal fluid (CSF) analysis confirmed diagnosis of neurosyphilis, and the patient was treated with 14 days of intravenous penicillin G.

Conclusion: This case highlights the diagnostic challenges posed by ocular syphilis, especially when overshadowed by other conditions like hypertension. This patient's atypical presentation of optic neuritis without uveitis underscores the necessity of considering ocular syphilis in patients with chronic unexplained visual changes, particularly in high-risk populations.

Abstract Image

Abstract Image

Abstract Image

高血压椎间盘水肿还是眼梅毒?大假面舞会的个案报告。
简介:眼梅毒是由梅毒螺旋体引起的梅毒的一种罕见表现,可发生在感染的任何阶段。它最常表现为后膜炎或全膜炎,但可累及多种眼部结构,使诊断复杂化。病例报告:我们描述了一个38岁的女性病例,她有7个月的进行性视力模糊、飞蚊、闪光和畏光的病史。在被送到急诊科后,患者的症状最初归因于高血压急症,因为眼底镜检查显示视盘水肿。尽管高血压发作得到缓解,但患者的症状持续存在,她来到我们的眼科诊所,光学相干断层扫描(OCT)显示椭球带破裂和高反射沉积。在急诊科对性传播感染进行的例行检查表明,患者感染了梅毒和人类免疫缺陷病毒(HIV),并被指示返回医院接受治疗。脑脊液(CSF)分析证实诊断为神经梅毒,并给予14天静脉注射青霉素g。结论:本病例突出了眼梅毒的诊断挑战,特别是在高血压等其他疾病的掩盖下。该患者视神经炎无葡萄膜炎的不典型表现强调了在慢性不明原因的视力改变患者中考虑眼梅毒的必要性,特别是在高危人群中。
本文章由计算机程序翻译,如有差异,请以英文原文为准。
求助全文
约1分钟内获得全文 求助全文
来源期刊
CiteScore
0.90
自引率
0.00%
发文量
129
审稿时长
12 weeks
期刊介绍: This peer-reviewed online-only journal publishes original case reports covering the entire spectrum of ophthalmology, including prevention, diagnosis, treatment, toxicities of therapy, supportive care, quality-of-life, and survivorship issues. The submission of negative results is strongly encouraged. The journal will also accept case reports dealing with the use of novel technologies, both in the arena of diagnosis and treatment. Supplementary material is welcomed. The intent of the journal is to provide clinicians and researchers with a tool to disseminate their personal experiences to a wider public as well as to review interesting cases encountered by colleagues all over the world. Universally used terms can be searched across the entire growing collection of case reports, further facilitating the retrieval of specific information. Following the open access principle, the entire contents can be retrieved at no charge, guaranteeing easy access to this valuable source of anecdotal information at all times.
×
引用
GB/T 7714-2015
复制
MLA
复制
APA
复制
导出至
BibTeX EndNote RefMan NoteFirst NoteExpress
×
提示
您的信息不完整,为了账户安全,请先补充。
现在去补充
×
提示
您因"违规操作"
具体请查看互助需知
我知道了
×
提示
确定
请完成安全验证×
copy
已复制链接
快去分享给好友吧!
我知道了
右上角分享
点击右上角分享
0
联系我们:info@booksci.cn Book学术提供免费学术资源搜索服务,方便国内外学者检索中英文文献。致力于提供最便捷和优质的服务体验。 Copyright © 2023 布克学术 All rights reserved.
京ICP备2023020795号-1
ghs 京公网安备 11010802042870号
Book学术文献互助
Book学术文献互助群
群 号:604180095
Book学术官方微信