Mycobacterium marinum infection in an older woman with extensive verrucous skin lesions: a case report.

IF 1.7 4区 医学 Q4 INFECTIOUS DISEASES
Hongyuan Shao, Yongxia Liu, Donghong Du, Hongqing Tian
{"title":"Mycobacterium marinum infection in an older woman with extensive verrucous skin lesions: a case report.","authors":"Hongyuan Shao, Yongxia Liu, Donghong Du, Hongqing Tian","doi":"10.1590/S1678-9946202567031","DOIUrl":null,"url":null,"abstract":"<p><p>Mycobacterium marinum is a nontuberculous mycobacterium and an opportunistic pathogen which infects humans. Here, we report a case of an 87-year-old female who had extensive verrucous skin lesions on her upper limbs for 18 months. The patient was diagnosed with Mycobacterium marinum infection by pathology and quantitative polymerase chain reaction (qPCR) assay of skin tissue. After five months of oral rifampicin and clarithromycin, the skin lesions regressed completely.</p>","PeriodicalId":54466,"journal":{"name":"Revista Do Instituto De Medicina Tropical De Sao Paulo","volume":"67 ","pages":"e31"},"PeriodicalIF":1.7000,"publicationDate":"2025-05-26","publicationTypes":"Journal Article","fieldsOfStudy":null,"isOpenAccess":false,"openAccessPdf":"https://www.ncbi.nlm.nih.gov/pmc/articles/PMC12105849/pdf/","citationCount":"0","resultStr":null,"platform":"Semanticscholar","paperid":null,"PeriodicalName":"Revista Do Instituto De Medicina Tropical De Sao Paulo","FirstCategoryId":"3","ListUrlMain":"https://doi.org/10.1590/S1678-9946202567031","RegionNum":4,"RegionCategory":"医学","ArticlePicture":[],"TitleCN":null,"AbstractTextCN":null,"PMCID":null,"EPubDate":"2025/1/1 0:00:00","PubModel":"eCollection","JCR":"Q4","JCRName":"INFECTIOUS DISEASES","Score":null,"Total":0}
引用次数: 0

Abstract

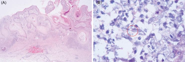
Mycobacterium marinum is a nontuberculous mycobacterium and an opportunistic pathogen which infects humans. Here, we report a case of an 87-year-old female who had extensive verrucous skin lesions on her upper limbs for 18 months. The patient was diagnosed with Mycobacterium marinum infection by pathology and quantitative polymerase chain reaction (qPCR) assay of skin tissue. After five months of oral rifampicin and clarithromycin, the skin lesions regressed completely.

Abstract Image

Abstract Image

海洋分枝杆菌感染的老年妇女广泛疣状皮肤病变:1例报告。
海洋分枝杆菌是一种非结核分枝杆菌,是一种感染人类的机会致病菌。在这里,我们报告一位87岁的女性,她的上肢有广泛的疣状皮肤病变18个月。经病理及皮肤组织定量聚合酶链反应(qPCR)检测诊断为海洋分枝杆菌感染。口服利福平和克拉霉素5个月后,皮肤病变完全消退。
本文章由计算机程序翻译,如有差异,请以英文原文为准。
求助全文
约1分钟内获得全文 求助全文
来源期刊
CiteScore
3.60
自引率
5.30%
发文量
100
审稿时长
6-12 weeks
期刊介绍: The Revista do Instituto de Medicina Tropical de São Paulo (Journal of the São Paulo Institute of Tropical Medicine) is a journal devoted to research on different aspects of tropical infectious diseases. The journal welcomes original work on all infectious diseases, provided that data and results are directly linked to human health. The journal publishes, besides original articles, review articles, case reports, brief communications, and letters to the editor. The journal publishes manuscripts only in English. From 2016 on, the Revista do Instituto de Medicina Tropical de São Paulo (Journal of the São Paulo Institute of Tropical Medicine) is published online only, maintaining the free access. For more information visit: - http://www.scielo.br/rimtsp - http://www.imt.usp.br/revista-imt/
×
引用
GB/T 7714-2015
复制
MLA
复制
APA
复制
导出至
BibTeX EndNote RefMan NoteFirst NoteExpress
×
提示
您的信息不完整,为了账户安全,请先补充。
现在去补充
×
提示
您因"违规操作"
具体请查看互助需知
我知道了
×
提示
确定
请完成安全验证×
copy
已复制链接
快去分享给好友吧!
我知道了
右上角分享
点击右上角分享
0
联系我们:info@booksci.cn Book学术提供免费学术资源搜索服务,方便国内外学者检索中英文文献。致力于提供最便捷和优质的服务体验。 Copyright © 2023 布克学术 All rights reserved.
京ICP备2023020795号-1
ghs 京公网安备 11010802042870号
Book学术文献互助
Book学术文献互助群
群 号:604180095
Book学术官方微信