Hyalinizing Clear Cell Carcinoma of the Salivary Gland in an Elderly Female: A Case Report Supported by EWSR1 Molecular Studies.

Q4 Medicine
Acta Medica Philippina Pub Date : 2025-04-30 eCollection Date: 2025-01-01 DOI:10.47895/amp.vi0.9799
Ariane Marielle F Valle, Jose Louie D Remotigue, Erick Martin H Yturralde, And Jose M Carnate
{"title":"Hyalinizing Clear Cell Carcinoma of the Salivary Gland in an Elderly Female: A Case Report Supported by EWSR1 Molecular Studies.","authors":"Ariane Marielle F Valle, Jose Louie D Remotigue, Erick Martin H Yturralde, And Jose M Carnate","doi":"10.47895/amp.vi0.9799","DOIUrl":null,"url":null,"abstract":"<p><p>Hyalinizing clear cell carcinoma of the salivary gland is a rare neoplasm, accounting for only less than 1% of malignancies arising from the salivary gland. It is molecularly defined by the expression of the EWSR-ATF1 fusion oncogene. To date, there has been no previous studies published yet in the Philippines regarding the existence of this tumor. In this paper, we present a case of a 70-year-old elderly female who had a 10-year history of a gradually enlarging left lateral neck mass. Histopathologic examination showed a tumor arranged of cords, nests, and trabeculae of monomorphic round cells with abundant clear to lightly eosinophilic cytoplasm surrounded by thick hyalinized collagen bundles. Immunohistochemistry and molecular studies were done which revealed a positive p63 staining, negative SMA and S100, and an EWSR1 rearrangement in Fluorescence in situ hybridization (FISH), thus, confirming the diagnosis.</p>","PeriodicalId":6994,"journal":{"name":"Acta Medica Philippina","volume":"59 5","pages":"88-91"},"PeriodicalIF":0.0000,"publicationDate":"2025-04-30","publicationTypes":"Journal Article","fieldsOfStudy":null,"isOpenAccess":false,"openAccessPdf":"https://www.ncbi.nlm.nih.gov/pmc/articles/PMC12106098/pdf/","citationCount":"0","resultStr":null,"platform":"Semanticscholar","paperid":null,"PeriodicalName":"Acta Medica Philippina","FirstCategoryId":"1085","ListUrlMain":"https://doi.org/10.47895/amp.vi0.9799","RegionNum":0,"RegionCategory":null,"ArticlePicture":[],"TitleCN":null,"AbstractTextCN":null,"PMCID":null,"EPubDate":"2025/1/1 0:00:00","PubModel":"eCollection","JCR":"Q4","JCRName":"Medicine","Score":null,"Total":0}
引用次数: 0

Abstract

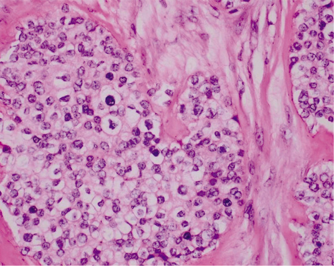
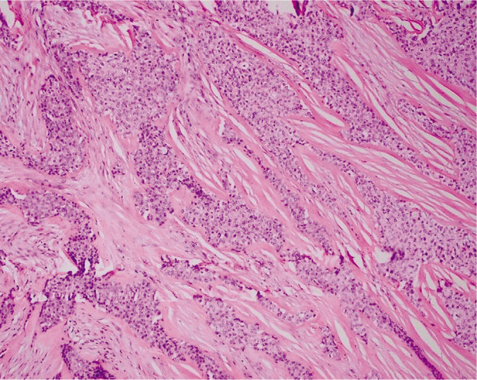
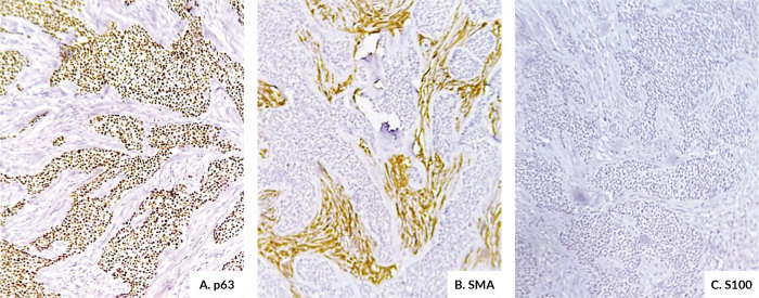
Hyalinizing clear cell carcinoma of the salivary gland is a rare neoplasm, accounting for only less than 1% of malignancies arising from the salivary gland. It is molecularly defined by the expression of the EWSR-ATF1 fusion oncogene. To date, there has been no previous studies published yet in the Philippines regarding the existence of this tumor. In this paper, we present a case of a 70-year-old elderly female who had a 10-year history of a gradually enlarging left lateral neck mass. Histopathologic examination showed a tumor arranged of cords, nests, and trabeculae of monomorphic round cells with abundant clear to lightly eosinophilic cytoplasm surrounded by thick hyalinized collagen bundles. Immunohistochemistry and molecular studies were done which revealed a positive p63 staining, negative SMA and S100, and an EWSR1 rearrangement in Fluorescence in situ hybridization (FISH), thus, confirming the diagnosis.

Abstract Image

Abstract Image

Abstract Image

老年女性唾液腺透明细胞癌:EWSR1分子研究支持的一例报告。
唾液腺透明细胞癌是一种罕见的肿瘤,仅占唾液腺恶性肿瘤的不到1%。它由EWSR-ATF1融合癌基因的表达在分子上定义。迄今为止,在菲律宾还没有发表过关于这种肿瘤存在的先前研究。在本文中,我们提出了一个70岁的老年女性谁有一个逐渐扩大的左侧颈部肿块10年的历史。组织病理学检查显示,肿瘤由单形圆形细胞排列成索状、巢状和小梁状,细胞质丰富,透明到轻度嗜酸性,周围有厚的透明胶原束。免疫组织化学和分子检测显示p63阳性,SMA和S100阴性,荧光原位杂交(FISH)显示EWSR1重排,证实了诊断。
本文章由计算机程序翻译,如有差异,请以英文原文为准。
求助全文
约1分钟内获得全文 求助全文
来源期刊
Acta Medica Philippina
Acta Medica Philippina Medicine-Medicine (all)
CiteScore
0.40
自引率
0.00%
发文量
199
×
引用
GB/T 7714-2015
复制
MLA
复制
APA
复制
导出至
BibTeX EndNote RefMan NoteFirst NoteExpress
×
提示
您的信息不完整,为了账户安全,请先补充。
现在去补充
×
提示
您因"违规操作"
具体请查看互助需知
我知道了
×
提示
确定
请完成安全验证×
copy
已复制链接
快去分享给好友吧!
我知道了
右上角分享
点击右上角分享
0
联系我们:info@booksci.cn Book学术提供免费学术资源搜索服务,方便国内外学者检索中英文文献。致力于提供最便捷和优质的服务体验。 Copyright © 2023 布克学术 All rights reserved.
京ICP备2023020795号-1
ghs 京公网安备 11010802042870号
Book学术文献互助
Book学术文献互助群
群 号:604180095
Book学术官方微信