Isolated Lateral Extra-articular Tenodesis After Prior Anterior Cruciate Ligament Reconstruction.

Rachel M Randall
{"title":"Isolated Lateral Extra-articular Tenodesis After Prior Anterior Cruciate Ligament Reconstruction.","authors":"Rachel M Randall","doi":"10.1016/j.jposna.2025.100184","DOIUrl":null,"url":null,"abstract":"<p><p>Lateral extra-articular tenodesis (LET), as an adjunct to anterior cruciate ligament (ACL) reconstruction, is gaining popularity among pediatric and sports medicine orthopaedic surgeons for the treatment of ACL injury, especially in the female, hyperflexible, and high-risk athlete population. The addition of LET or anterolateral ligament (ALL) reconstruction is typically recommended at the time of index ACL reconstruction surgery and is performed after the ACL graft is tensioned. Rotational instability has been described in cases where the ACL graft was malpositioned too vertically, and in those cases, ACL revision is indicated. In our case, ACL reconstruction was performed in isolation in a hyperflexible, high-risk (volleyball) female athlete, and she had persistent complaints of rotational instability despite an intact and well-positioned ACL graft on magnetic resonance imaging (MRI) scan. She demonstrated excessive internal rotation of the tibia in relation to the femur and exhibited symptomatic anterolateral instability on clinical examination, with a negative pivot shift but pain on internal rotation stress. She underwent a second surgery consisting of isolated modified Lemaire LET after examination under anesthesia (EUA) demonstrated negative Lachman and pivot shift. Second-look arthroscopy demonstrated an intact quadriceps autograft ACL graft. She recovered uneventfully, and her rotational instability problem was resolved. She returned to sports 12 months after the surgery and has been pleased with her result.</p><p><strong>Key concepts: </strong>(1)Lateral extra-articular tenodesis (LET) can be added to increased rotational stability in the setting of anterior cruciate ligament (ACL) reconstruction.(2)Although typically added during the index procedure, it can be successfully completed later if needed.(3)The ACL confers both anteroposterior and rotational stability to prevent excessive anterior translation and excessive internal rotation of the tibia with respect to the femur.(4)LET can augment the ACL graft in preventing rotational instability in the setting of an ACL-deficient knee.</p>","PeriodicalId":520850,"journal":{"name":"Journal of the Pediatric Orthopaedic Society of North America","volume":"11 ","pages":"100184"},"PeriodicalIF":0.0000,"publicationDate":"2025-03-22","publicationTypes":"Journal Article","fieldsOfStudy":null,"isOpenAccess":false,"openAccessPdf":"https://www.ncbi.nlm.nih.gov/pmc/articles/PMC12088354/pdf/","citationCount":"0","resultStr":null,"platform":"Semanticscholar","paperid":null,"PeriodicalName":"Journal of the Pediatric Orthopaedic Society of North America","FirstCategoryId":"1085","ListUrlMain":"https://doi.org/10.1016/j.jposna.2025.100184","RegionNum":0,"RegionCategory":null,"ArticlePicture":[],"TitleCN":null,"AbstractTextCN":null,"PMCID":null,"EPubDate":"2025/5/1 0:00:00","PubModel":"eCollection","JCR":"","JCRName":"","Score":null,"Total":0}
引用次数: 0

Abstract

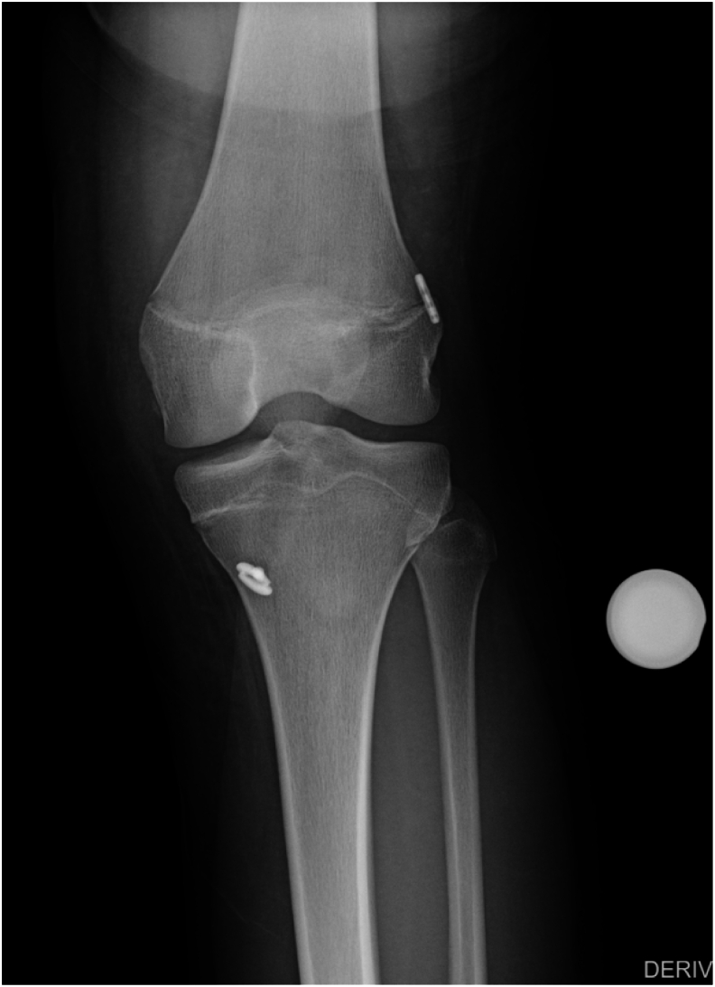
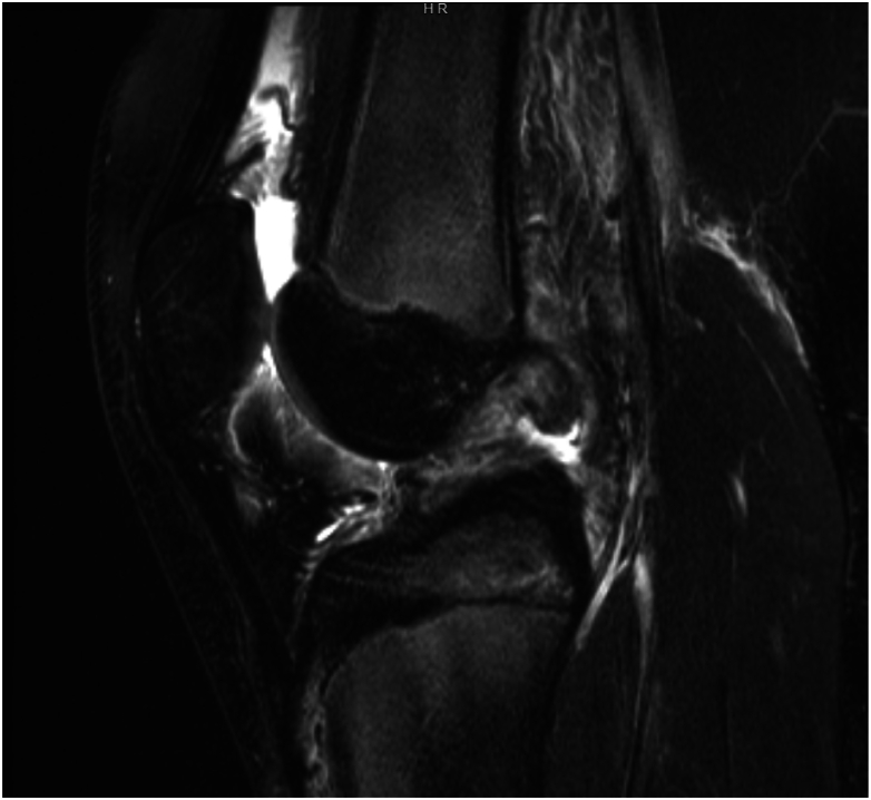
Lateral extra-articular tenodesis (LET), as an adjunct to anterior cruciate ligament (ACL) reconstruction, is gaining popularity among pediatric and sports medicine orthopaedic surgeons for the treatment of ACL injury, especially in the female, hyperflexible, and high-risk athlete population. The addition of LET or anterolateral ligament (ALL) reconstruction is typically recommended at the time of index ACL reconstruction surgery and is performed after the ACL graft is tensioned. Rotational instability has been described in cases where the ACL graft was malpositioned too vertically, and in those cases, ACL revision is indicated. In our case, ACL reconstruction was performed in isolation in a hyperflexible, high-risk (volleyball) female athlete, and she had persistent complaints of rotational instability despite an intact and well-positioned ACL graft on magnetic resonance imaging (MRI) scan. She demonstrated excessive internal rotation of the tibia in relation to the femur and exhibited symptomatic anterolateral instability on clinical examination, with a negative pivot shift but pain on internal rotation stress. She underwent a second surgery consisting of isolated modified Lemaire LET after examination under anesthesia (EUA) demonstrated negative Lachman and pivot shift. Second-look arthroscopy demonstrated an intact quadriceps autograft ACL graft. She recovered uneventfully, and her rotational instability problem was resolved. She returned to sports 12 months after the surgery and has been pleased with her result.

Key concepts: (1)Lateral extra-articular tenodesis (LET) can be added to increased rotational stability in the setting of anterior cruciate ligament (ACL) reconstruction.(2)Although typically added during the index procedure, it can be successfully completed later if needed.(3)The ACL confers both anteroposterior and rotational stability to prevent excessive anterior translation and excessive internal rotation of the tibia with respect to the femur.(4)LET can augment the ACL graft in preventing rotational instability in the setting of an ACL-deficient knee.

Abstract Image

Abstract Image

Abstract Image

前交叉韧带重建后孤立的外侧关节外肌腱固定术。
外侧关节外肌腱固定术(LET)作为前交叉韧带(ACL)重建的辅助手段,在儿科和运动医学骨科医生中越来越受欢迎,用于治疗ACL损伤,特别是在女性、高柔韧性和高危运动员人群中。通常建议在进行前交叉韧带重建手术时进行LET或前外侧韧带(ALL)重建,并在ACL移植物张紧后进行。在ACL移植物位置过于垂直的情况下,已经描述了旋转不稳定,在这些情况下,需要进行ACL翻修。在本病例中,我们对一名高柔韧性、高风险(排球)女运动员进行了ACL重建,尽管在磁共振成像(MRI)扫描中进行了完整且定位良好的ACL移植物,但她仍持续抱怨旋转不稳定。患者表现为胫骨相对于股骨的过度内旋,临床检查表现为有症状的前外侧不稳定,枢轴负移位,但内旋应力引起疼痛。在麻醉检查(EUA)显示拉赫曼阴性和枢轴移位后,她接受了第二次手术,包括孤立的改良Lemaire LET。二次关节镜检查显示一个完整的自体四头肌ACL移植。她平静地恢复了,她的旋转不稳定问题得到了解决。手术后12个月,她又回到了运动场上,并对自己的结果感到满意。关键概念:(1)在前交叉韧带(ACL)重建的情况下,可以增加外侧关节外肌腱固定术(LET)以增加旋转稳定性。(2)尽管通常在指数手术中增加,(3)前交叉韧带具有前后和旋转稳定性,可防止胫骨相对于股骨的过度前移和过度内旋。(4)对于ACL缺陷的膝关节,LET可增强前交叉韧带移植物,防止旋转不稳定。
本文章由计算机程序翻译,如有差异,请以英文原文为准。
求助全文
约1分钟内获得全文 求助全文
来源期刊
自引率
0.00%
发文量
0
×
引用
GB/T 7714-2015
复制
MLA
复制
APA
复制
导出至
BibTeX EndNote RefMan NoteFirst NoteExpress
×
提示
您的信息不完整,为了账户安全,请先补充。
现在去补充
×
提示
您因"违规操作"
具体请查看互助需知
我知道了
×
提示
确定
请完成安全验证×
copy
已复制链接
快去分享给好友吧!
我知道了
右上角分享
点击右上角分享
0
联系我们:info@booksci.cn Book学术提供免费学术资源搜索服务,方便国内外学者检索中英文文献。致力于提供最便捷和优质的服务体验。 Copyright © 2023 布克学术 All rights reserved.
京ICP备2023020795号-1
ghs 京公网安备 11010802042870号
Book学术文献互助
Book学术文献互助群
群 号:604180095
Book学术官方微信