The prevalence, morphology and topography of fabella in knee joints in the polish population and its association with size of patella.

IF 1.2 4区 医学 Q2 Medicine
Tomasz Kozioł, Kacper Stolarz, Aleksander Osiowski, Maksymilian Osiowski, Barbara Jasiewicz, Dominik Taterra
{"title":"The prevalence, morphology and topography of fabella in knee joints in the polish population and its association with size of patella.","authors":"Tomasz Kozioł, Kacper Stolarz, Aleksander Osiowski, Maksymilian Osiowski, Barbara Jasiewicz, Dominik Taterra","doi":"10.1007/s00276-025-03655-3","DOIUrl":null,"url":null,"abstract":"<p><strong>Purpose: </strong>The fabella is a sesamoid bone located posterior to the lateral femoral epicondyle within the gastrocnemius muscle. While commonly present in mammals, its prevalence in humans remains unclear, with reported rates ranging from 3 to 87%. Fabella is more frequently observed in Asian and Australian populations but is rare in European and American populations. Although often asymptomatic, it can sometimes cause knee pain, known as \"fabella syndrome,\" and may contribute to neurological symptoms when in proximity to the common fibular nerve. Given the limited awareness of fabella's presence, this study aims to assess its prevalence and anatomical characteristics to aid in the differential diagnosis of knee pain.</p><p><strong>Methods: </strong>A retrospective analysis was conducted on 500 knee radiographs from 383 patients experiencing knee pain. Data collected included patient age and sex, fabella presence and dimensions, fabella location (distances to surrounding bony structures), patella dimensions, and patellotibial ligament length.</p><p><strong>Results: </strong>Fabella was detected in 31 females (14.76%) and 29 males (25.66%). Among the examined knees, fabella was present in 40 (12.82%) of female and 39 (20.74%) of male knees. The mean fabella length was 8.85 mm (SD = 2.59), and thickness was 5.63 mm (SD = 1.88), with no significant sex differences. No correlation was found between fabella size and patella dimensions. Notably, patients with fabella were older on average, and bilateral fabellae were significantly larger than unilateral cases (p < 0.05).</p><p><strong>Conclusion: </strong>Fabella is a relatively common anatomical variant in Central European populations, present in one in six women and one in four men. Its increased prevalence in older individuals suggests a potential age-related development. A comprehensive understanding of fabella anatomy may aid clinicians in diagnosing and managing unexplained knee pain, particularly in elderly patients.</p>","PeriodicalId":49461,"journal":{"name":"Surgical and Radiologic Anatomy","volume":"47 1","pages":"149"},"PeriodicalIF":1.2000,"publicationDate":"2025-05-27","publicationTypes":"Journal Article","fieldsOfStudy":null,"isOpenAccess":false,"openAccessPdf":"https://www.ncbi.nlm.nih.gov/pmc/articles/PMC12116647/pdf/","citationCount":"0","resultStr":null,"platform":"Semanticscholar","paperid":null,"PeriodicalName":"Surgical and Radiologic Anatomy","FirstCategoryId":"3","ListUrlMain":"https://doi.org/10.1007/s00276-025-03655-3","RegionNum":4,"RegionCategory":"医学","ArticlePicture":[],"TitleCN":null,"AbstractTextCN":null,"PMCID":null,"EPubDate":"","PubModel":"","JCR":"Q2","JCRName":"Medicine","Score":null,"Total":0}
引用次数: 0

Abstract

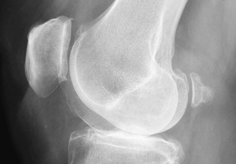
Purpose: The fabella is a sesamoid bone located posterior to the lateral femoral epicondyle within the gastrocnemius muscle. While commonly present in mammals, its prevalence in humans remains unclear, with reported rates ranging from 3 to 87%. Fabella is more frequently observed in Asian and Australian populations but is rare in European and American populations. Although often asymptomatic, it can sometimes cause knee pain, known as "fabella syndrome," and may contribute to neurological symptoms when in proximity to the common fibular nerve. Given the limited awareness of fabella's presence, this study aims to assess its prevalence and anatomical characteristics to aid in the differential diagnosis of knee pain.

Methods: A retrospective analysis was conducted on 500 knee radiographs from 383 patients experiencing knee pain. Data collected included patient age and sex, fabella presence and dimensions, fabella location (distances to surrounding bony structures), patella dimensions, and patellotibial ligament length.

Results: Fabella was detected in 31 females (14.76%) and 29 males (25.66%). Among the examined knees, fabella was present in 40 (12.82%) of female and 39 (20.74%) of male knees. The mean fabella length was 8.85 mm (SD = 2.59), and thickness was 5.63 mm (SD = 1.88), with no significant sex differences. No correlation was found between fabella size and patella dimensions. Notably, patients with fabella were older on average, and bilateral fabellae were significantly larger than unilateral cases (p < 0.05).

Conclusion: Fabella is a relatively common anatomical variant in Central European populations, present in one in six women and one in four men. Its increased prevalence in older individuals suggests a potential age-related development. A comprehensive understanding of fabella anatomy may aid clinicians in diagnosing and managing unexplained knee pain, particularly in elderly patients.

Abstract Image

Abstract Image

Abstract Image

波兰人群膝关节蚕豆瘤的患病率、形态和地形及其与髌骨大小的关系。
目的:豆瓣骨是位于腓肠肌内股外侧上髁后方的籽状骨。虽然常见于哺乳动物,但其在人类中的流行程度尚不清楚,报告的发病率从3%到87%不等。法贝拉在亚洲和澳大利亚人群中更常见,但在欧洲和美国人群中罕见。虽然通常无症状,但有时可引起膝关节疼痛,称为“腓骨综合征”,并且当靠近腓骨总神经时可能导致神经系统症状。鉴于对费贝拉存在的有限认识,本研究旨在评估其患病率和解剖学特征,以帮助膝关节疼痛的鉴别诊断。方法:对383例膝关节疼痛患者500张膝关节x线片进行回顾性分析。收集的数据包括患者的年龄和性别、腓骨的存在和尺寸、腓骨的位置(到周围骨结构的距离)、髌骨尺寸和髌胫韧带长度。结果:女性31例(14.76%),男性29例(25.66%)。女性膝关节40例(12.82%),男性膝关节39例(20.74%)。豆瓣平均长度为8.85 mm (SD = 2.59),厚度为5.63 mm (SD = 1.88),性别差异不显著。腓骨大小和髌骨大小之间没有相关性。值得注意的是,患有fabella的患者平均年龄较大,双侧fabella明显大于单侧病例(p结论:fabella在中欧人群中是一种相对常见的解剖变异,六分之一的女性和四分之一的男性存在。其在老年人中的流行率增加表明可能与年龄有关。全面了解腓骨解剖可以帮助临床医生诊断和管理不明原因的膝关节疼痛,特别是在老年患者。
本文章由计算机程序翻译,如有差异,请以英文原文为准。
求助全文
约1分钟内获得全文 求助全文
来源期刊
Surgical and Radiologic Anatomy
Surgical and Radiologic Anatomy Medicine-Pathology and Forensic Medicine
CiteScore
2.40
自引率
14.30%
发文量
0
期刊介绍: Anatomy is a morphological science which cannot fail to interest the clinician. The practical application of anatomical research to clinical problems necessitates special adaptation and selectivity in choosing from numerous international works. Although there is a tendency to believe that meaningful advances in anatomy are unlikely, constant revision is necessary. Surgical and Radiologic Anatomy, the first international journal of Clinical anatomy has been created in this spirit. Its goal is to serve clinicians, regardless of speciality-physicians, surgeons, radiologists or other specialists-as an indispensable aid with which they can improve their knowledge of anatomy. Each issue includes: Original papers, review articles, articles on the anatomical bases of medical, surgical and radiological techniques, articles of normal radiologic anatomy, brief reviews of anatomical publications of clinical interest. Particular attention is given to high quality illustrations, which are indispensable for a better understanding of anatomical problems. Surgical and Radiologic Anatomy is a journal written by anatomists for clinicians with a special interest in anatomy.
×
引用
GB/T 7714-2015
复制
MLA
复制
APA
复制
导出至
BibTeX EndNote RefMan NoteFirst NoteExpress
×
提示
您的信息不完整,为了账户安全,请先补充。
现在去补充
×
提示
您因"违规操作"
具体请查看互助需知
我知道了
×
提示
确定
请完成安全验证×
copy
已复制链接
快去分享给好友吧!
我知道了
右上角分享
点击右上角分享
0
联系我们:info@booksci.cn Book学术提供免费学术资源搜索服务,方便国内外学者检索中英文文献。致力于提供最便捷和优质的服务体验。 Copyright © 2023 布克学术 All rights reserved.
京ICP备2023020795号-1
ghs 京公网安备 11010802042870号
Book学术文献互助
Book学术文献互助群
群 号:604180095
Book学术官方微信