Long-Term Effects of COVID-19: Analysis of Imaging Findings in Patients Evaluated by Computed Tomography from 2020 to 2024.

IF 2.2 4区 医学 Q2 RADIOLOGY, NUCLEAR MEDICINE & MEDICAL IMAGING
Zeynep Keskin, Mihrican Yeşildağ, Ömer Özberk, Kemal Ödev, Fatih Ateş, Bengü Özkan Bakdık, Şehriban Çağlak Kardaş
{"title":"Long-Term Effects of COVID-19: Analysis of Imaging Findings in Patients Evaluated by Computed Tomography from 2020 to 2024.","authors":"Zeynep Keskin, Mihrican Yeşildağ, Ömer Özberk, Kemal Ödev, Fatih Ateş, Bengü Özkan Bakdık, Şehriban Çağlak Kardaş","doi":"10.3390/tomography11050049","DOIUrl":null,"url":null,"abstract":"<p><p><b>Background:</b> This study aims to systematically evaluate the findings from computed tomography (CT) examinations conducted at least three months post-diagnosis of COVID-19 in patients diagnosed between 2020 and 2024. <b>Objective:</b> To determine the frequency and characteristics of CT findings in the post-COVID-19 period, analyze long-term effects on lung parenchyma, and contribute to the development of clinical follow-up and treatment strategies based on the collected data. <b>Materials and Methods:</b> Ethical approval was obtained for this retrospective study, and individual consent was waived. A total of 76 patients were included in the study, aged 18 and older, diagnosed with COVID-19 between March 2020 and November 2024, who underwent follow-up chest CT scans at 3-6 months, 6-12 months, and/or 12 months post-diagnosis. CT images were obtained in the supine position without contrast and evaluated by two experienced radiologists using a CT severity score (CT-SS) system, which quantifies lung involvement. Statistical analyses were performed using IBM SPSS 23.0, with significance set at <i>p</i> < 0.05. <b>Results:</b> The results indicated a mean CT-SS of 10.58 ± 0.659. Significant associations were found between age, CT scores, and the necessity for intensive care or mechanical ventilation. The most common CT findings included ground-glass opacities, reticular patterns, and traction bronchiectasis, particularly increasing with age and over time. <b>Conclusion:</b> This study emphasizes the persistent alterations in lung parenchyma following COVID-19, highlighting the importance of continuous monitoring and tailored treatment strategies for affected patients to improve long-term outcomes.</p>","PeriodicalId":51330,"journal":{"name":"Tomography","volume":"11 5","pages":""},"PeriodicalIF":2.2000,"publicationDate":"2025-04-24","publicationTypes":"Journal Article","fieldsOfStudy":null,"isOpenAccess":false,"openAccessPdf":"https://www.ncbi.nlm.nih.gov/pmc/articles/PMC12115870/pdf/","citationCount":"0","resultStr":null,"platform":"Semanticscholar","paperid":null,"PeriodicalName":"Tomography","FirstCategoryId":"3","ListUrlMain":"https://doi.org/10.3390/tomography11050049","RegionNum":4,"RegionCategory":"医学","ArticlePicture":[],"TitleCN":null,"AbstractTextCN":null,"PMCID":null,"EPubDate":"","PubModel":"","JCR":"Q2","JCRName":"RADIOLOGY, NUCLEAR MEDICINE & MEDICAL IMAGING","Score":null,"Total":0}
引用次数: 0

Abstract

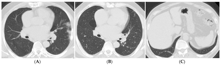
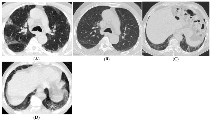
Background: This study aims to systematically evaluate the findings from computed tomography (CT) examinations conducted at least three months post-diagnosis of COVID-19 in patients diagnosed between 2020 and 2024. Objective: To determine the frequency and characteristics of CT findings in the post-COVID-19 period, analyze long-term effects on lung parenchyma, and contribute to the development of clinical follow-up and treatment strategies based on the collected data. Materials and Methods: Ethical approval was obtained for this retrospective study, and individual consent was waived. A total of 76 patients were included in the study, aged 18 and older, diagnosed with COVID-19 between March 2020 and November 2024, who underwent follow-up chest CT scans at 3-6 months, 6-12 months, and/or 12 months post-diagnosis. CT images were obtained in the supine position without contrast and evaluated by two experienced radiologists using a CT severity score (CT-SS) system, which quantifies lung involvement. Statistical analyses were performed using IBM SPSS 23.0, with significance set at p < 0.05. Results: The results indicated a mean CT-SS of 10.58 ± 0.659. Significant associations were found between age, CT scores, and the necessity for intensive care or mechanical ventilation. The most common CT findings included ground-glass opacities, reticular patterns, and traction bronchiectasis, particularly increasing with age and over time. Conclusion: This study emphasizes the persistent alterations in lung parenchyma following COVID-19, highlighting the importance of continuous monitoring and tailored treatment strategies for affected patients to improve long-term outcomes.

Abstract Image

Abstract Image

Abstract Image

COVID-19的长期影响:2020年至2024年计算机断层扫描评估患者影像学表现分析
背景:本研究旨在系统评估2020年至2024年间确诊的COVID-19患者在诊断后至少三个月进行的计算机断层扫描(CT)检查结果。目的:了解新冠肺炎后CT表现的频率和特征,分析对肺实质的长期影响,并根据收集的数据制定临床随访和治疗策略。材料和方法:本回顾性研究已获得伦理批准,并放弃个人同意。该研究共纳入76名患者,年龄在18岁及以上,在2020年3月至2024年11月期间被诊断为COVID-19,他们在诊断后3-6个月、6-12个月和/或12个月接受了随访胸部CT扫描。在没有对比的情况下获得仰卧位的CT图像,并由两名经验丰富的放射科医生使用CT严重程度评分(CT- ss)系统进行评估,该系统量化肺部受累情况。采用IBM SPSS 23.0进行统计学分析,p < 0.05为显著性。结果:CT-SS平均值为10.58±0.659。年龄、CT评分与重症监护或机械通气必要性之间存在显著关联。最常见的CT表现包括毛玻璃样混浊、网状征和牵引性支气管扩张,尤其是随着年龄和时间的增长而增加。结论:本研究强调了COVID-19后肺实质的持续改变,强调了对患者进行持续监测和定制治疗策略的重要性,以改善长期预后。
本文章由计算机程序翻译,如有差异,请以英文原文为准。
求助全文
约1分钟内获得全文 求助全文
来源期刊
Tomography
Tomography Medicine-Radiology, Nuclear Medicine and Imaging
CiteScore
2.70
自引率
10.50%
发文量
222
期刊介绍: TomographyTM publishes basic (technical and pre-clinical) and clinical scientific articles which involve the advancement of imaging technologies. Tomography encompasses studies that use single or multiple imaging modalities including for example CT, US, PET, SPECT, MR and hyperpolarization technologies, as well as optical modalities (i.e. bioluminescence, photoacoustic, endomicroscopy, fiber optic imaging and optical computed tomography) in basic sciences, engineering, preclinical and clinical medicine. Tomography also welcomes studies involving exploration and refinement of contrast mechanisms and image-derived metrics within and across modalities toward the development of novel imaging probes for image-based feedback and intervention. The use of imaging in biology and medicine provides unparalleled opportunities to noninvasively interrogate tissues to obtain real-time dynamic and quantitative information required for diagnosis and response to interventions and to follow evolving pathological conditions. As multi-modal studies and the complexities of imaging technologies themselves are ever increasing to provide advanced information to scientists and clinicians. Tomography provides a unique publication venue allowing investigators the opportunity to more precisely communicate integrated findings related to the diverse and heterogeneous features associated with underlying anatomical, physiological, functional, metabolic and molecular genetic activities of normal and diseased tissue. Thus Tomography publishes peer-reviewed articles which involve the broad use of imaging of any tissue and disease type including both preclinical and clinical investigations. In addition, hardware/software along with chemical and molecular probe advances are welcome as they are deemed to significantly contribute towards the long-term goal of improving the overall impact of imaging on scientific and clinical discovery.
×
引用
GB/T 7714-2015
复制
MLA
复制
APA
复制
导出至
BibTeX EndNote RefMan NoteFirst NoteExpress
×
提示
您的信息不完整,为了账户安全,请先补充。
现在去补充
×
提示
您因"违规操作"
具体请查看互助需知
我知道了
×
提示
确定
请完成安全验证×
copy
已复制链接
快去分享给好友吧!
我知道了
右上角分享
点击右上角分享
0
联系我们:info@booksci.cn Book学术提供免费学术资源搜索服务,方便国内外学者检索中英文文献。致力于提供最便捷和优质的服务体验。 Copyright © 2023 布克学术 All rights reserved.
京ICP备2023020795号-1
ghs 京公网安备 11010802042870号
Book学术文献互助
Book学术文献互助群
群 号:604180095
Book学术官方微信