Neuroanesthesia Management in Pediatric with Traumatic Brain Injury Due to Gunshot Wound.

IF 1.5 Q3 EMERGENCY MEDICINE
Open Access Emergency Medicine Pub Date : 2025-05-22 eCollection Date: 2025-01-01 DOI:10.2147/OAEM.S494418
Andy Nugroho, Dewi Yulianti Bisri, Iwan Abdul Rachman, Radian Ahmad Halimi
{"title":"Neuroanesthesia Management in Pediatric with Traumatic Brain Injury Due to Gunshot Wound.","authors":"Andy Nugroho, Dewi Yulianti Bisri, Iwan Abdul Rachman, Radian Ahmad Halimi","doi":"10.2147/OAEM.S494418","DOIUrl":null,"url":null,"abstract":"<p><p>Traumatic brain injury (TBI) in the pediatric population is a major cause of morbidity and mortality. Between various etiologies of TBI, gunshot wounds occupy a unique characteristic and apprehensive place. We report a clinical case of a TBI due to a gunshot wound in Indonesia. A 4-year-old girl complained of a painful head and vomiting after sustaining a gunshot wound to the head. The patient was presented with a pediatric Glasgow Coma Scale (pGCS) score of E3V4M5 and was hemodynamically stable Multislice computerized tomography (MSCT) revealed a bullet lodged in the left temporal lobe, a subdural hematoma in the left frontoparietal-temporooccipital, an intracranial hemorrhage in the left temporoparietal region, and a midline shift to the right by 0.7 cm. The patient underwent craniotomy for subdural hematoma evacuation and bullet evacuation. Stable hemodynamics and brain relaxation conditions were achieved during surgery. Postoperative recovery in the pediatric intensive care unit (PICU) was uneventful, and the patient was discharged with improved neurological status (pGCS E4V5M6) without complications. The case highlights the successful management of a pediatric patient with traumatic brain injury due to a gunshot wound through a multidisciplinary and tailored approach focusing on hemodynamic stability, intracranial pressure management, early posttraumatic seizure, and infection prophylaxis to ensure a positive outcome. Given the scarcity of reported cases in low- and middle-income settings, this report provides valuable insights into the optimal management of pediatric gunshot-related TBIs.</p>","PeriodicalId":45096,"journal":{"name":"Open Access Emergency Medicine","volume":"17 ","pages":"195-201"},"PeriodicalIF":1.5000,"publicationDate":"2025-05-22","publicationTypes":"Journal Article","fieldsOfStudy":null,"isOpenAccess":false,"openAccessPdf":"https://www.ncbi.nlm.nih.gov/pmc/articles/PMC12105634/pdf/","citationCount":"0","resultStr":null,"platform":"Semanticscholar","paperid":null,"PeriodicalName":"Open Access Emergency Medicine","FirstCategoryId":"1085","ListUrlMain":"https://doi.org/10.2147/OAEM.S494418","RegionNum":0,"RegionCategory":null,"ArticlePicture":[],"TitleCN":null,"AbstractTextCN":null,"PMCID":null,"EPubDate":"2025/1/1 0:00:00","PubModel":"eCollection","JCR":"Q3","JCRName":"EMERGENCY MEDICINE","Score":null,"Total":0}
引用次数: 0

Abstract

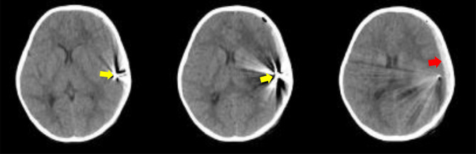
Traumatic brain injury (TBI) in the pediatric population is a major cause of morbidity and mortality. Between various etiologies of TBI, gunshot wounds occupy a unique characteristic and apprehensive place. We report a clinical case of a TBI due to a gunshot wound in Indonesia. A 4-year-old girl complained of a painful head and vomiting after sustaining a gunshot wound to the head. The patient was presented with a pediatric Glasgow Coma Scale (pGCS) score of E3V4M5 and was hemodynamically stable Multislice computerized tomography (MSCT) revealed a bullet lodged in the left temporal lobe, a subdural hematoma in the left frontoparietal-temporooccipital, an intracranial hemorrhage in the left temporoparietal region, and a midline shift to the right by 0.7 cm. The patient underwent craniotomy for subdural hematoma evacuation and bullet evacuation. Stable hemodynamics and brain relaxation conditions were achieved during surgery. Postoperative recovery in the pediatric intensive care unit (PICU) was uneventful, and the patient was discharged with improved neurological status (pGCS E4V5M6) without complications. The case highlights the successful management of a pediatric patient with traumatic brain injury due to a gunshot wound through a multidisciplinary and tailored approach focusing on hemodynamic stability, intracranial pressure management, early posttraumatic seizure, and infection prophylaxis to ensure a positive outcome. Given the scarcity of reported cases in low- and middle-income settings, this report provides valuable insights into the optimal management of pediatric gunshot-related TBIs.

Abstract Image

Abstract Image

Abstract Image

小儿枪伤所致创伤性脑损伤的神经麻醉处理。
创伤性脑损伤(TBI)是儿童发病率和死亡率的主要原因。在创伤性脑损伤的各种病因中,枪伤占有独特的特点和令人担忧的地位。我们报告一个临床病例的创伤性脑损伤由于枪伤在印度尼西亚。一名4岁的女孩头部中枪后头部疼痛并呕吐。患者的儿童格拉斯哥昏迷评分(pGCS)为E3V4M5,血流动力学稳定。多层计算机断层扫描(MSCT)显示左侧颞叶中有一颗子弹,左侧额顶叶-颞枕区硬膜下血肿,左侧颞顶叶区颅内出血,中线向右移动0.7 cm。患者行开颅术清除硬膜下血肿和子弹。手术过程中血流动力学稳定,大脑松弛。患儿在儿科重症监护病房(PICU)术后恢复顺利,出院时神经系统状况改善(pGCS E4V5M6),无并发症。该病例强调了通过多学科和量身定制的方法,以血流动力学稳定性、颅内压管理、创伤后早期癫痫发作和感染预防为重点,成功治疗枪伤所致创伤性脑损伤的儿科患者,以确保积极的结果。鉴于低收入和中等收入地区报告病例的稀缺性,本报告为儿童枪击相关脑外伤的最佳管理提供了有价值的见解。
本文章由计算机程序翻译,如有差异,请以英文原文为准。
求助全文
约1分钟内获得全文 求助全文
来源期刊
Open Access Emergency Medicine
Open Access Emergency Medicine EMERGENCY MEDICINE-
CiteScore
2.60
自引率
6.70%
发文量
85
审稿时长
16 weeks
×
引用
GB/T 7714-2015
复制
MLA
复制
APA
复制
导出至
BibTeX EndNote RefMan NoteFirst NoteExpress
×
提示
您的信息不完整,为了账户安全,请先补充。
现在去补充
×
提示
您因"违规操作"
具体请查看互助需知
我知道了
×
提示
确定
请完成安全验证×
copy
已复制链接
快去分享给好友吧!
我知道了
右上角分享
点击右上角分享
0
联系我们:info@booksci.cn Book学术提供免费学术资源搜索服务,方便国内外学者检索中英文文献。致力于提供最便捷和优质的服务体验。 Copyright © 2023 布克学术 All rights reserved.
京ICP备2023020795号-1
ghs 京公网安备 11010802042870号
Book学术文献互助
Book学术文献互助群
群 号:604180095
Book学术官方微信