An adenine model of inborn metabolism errors alters TDP-43 aggregation and reduces its toxicity in yeast revealing insights into protein misfolding diseases.

IF 3.9 3区 生物学 Q2 CELL BIOLOGY
Microbial Cell Pub Date : 2025-05-22 eCollection Date: 2025-01-01 DOI:10.15698/mic2025.05.850
Sangeun Park, Sei-Kyoung Park, Peter Blair, Susan W Liebman
{"title":"An adenine model of inborn metabolism errors alters TDP-43 aggregation and reduces its toxicity in yeast revealing insights into protein misfolding diseases.","authors":"Sangeun Park, Sei-Kyoung Park, Peter Blair, Susan W Liebman","doi":"10.15698/mic2025.05.850","DOIUrl":null,"url":null,"abstract":"<p><p>TDP-43 is linked to human diseases such as amyotrophic lateral sclerosis (ALS) and frontotemporal degeneration (FTD). Expression of TDP-43 in yeast is known to be toxic, cause cells to elongate, form liquid-like aggregates, and inhibit autophagy and TOROID formation. Here, we used the <i>apt1</i>∆ <i>aah1</i>∆ yeast model of inborn errors of metabolism, previously shown to lead to intracellular adenine accumulation and adenine amyloid-like fiber formation, to explore interactions with TDP-43. Results show that the double deletion shifts the TDP-43 aggregates from liquid-like droplets toward a more amyloid-like state. At the same time the deletions reduce TDP-43's effects on toxicity, cell morphology, autophagy, and TOROID formation without affecting the level of TDP-43. This suggests that the liquid-like droplets rather than amyloid-like TDP-43 aggregates are responsible for the deleterious effects in yeast. How the <i>apt1</i>∆ <i>aah1</i>∆ deletions alter TDP-43 aggregate formation is not clear. Possibly, it results from adenine and TDP-43 fiber interactions as seen for other heterologous fibers. This work offers new insights into the potential interactions between metabolite-based amyloids and pathological protein aggregates, with broad implications for understanding protein misfolding diseases.</p>","PeriodicalId":18397,"journal":{"name":"Microbial Cell","volume":"12 ","pages":"119-130"},"PeriodicalIF":3.9000,"publicationDate":"2025-05-22","publicationTypes":"Journal Article","fieldsOfStudy":null,"isOpenAccess":false,"openAccessPdf":"https://www.ncbi.nlm.nih.gov/pmc/articles/PMC12105045/pdf/","citationCount":"0","resultStr":null,"platform":"Semanticscholar","paperid":null,"PeriodicalName":"Microbial Cell","FirstCategoryId":"99","ListUrlMain":"https://doi.org/10.15698/mic2025.05.850","RegionNum":3,"RegionCategory":"生物学","ArticlePicture":[],"TitleCN":null,"AbstractTextCN":null,"PMCID":null,"EPubDate":"2025/1/1 0:00:00","PubModel":"eCollection","JCR":"Q2","JCRName":"CELL BIOLOGY","Score":null,"Total":0}
引用次数: 0

Abstract

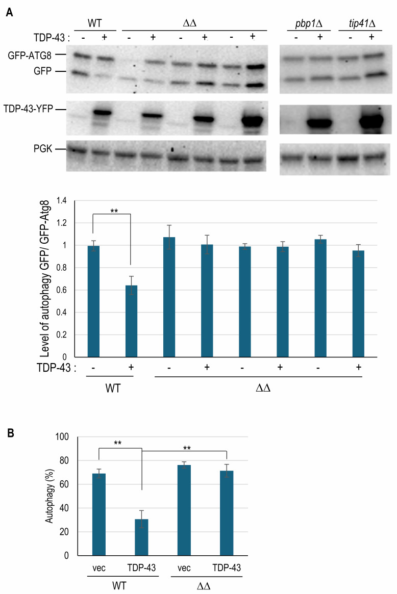
TDP-43 is linked to human diseases such as amyotrophic lateral sclerosis (ALS) and frontotemporal degeneration (FTD). Expression of TDP-43 in yeast is known to be toxic, cause cells to elongate, form liquid-like aggregates, and inhibit autophagy and TOROID formation. Here, we used the apt1aah1∆ yeast model of inborn errors of metabolism, previously shown to lead to intracellular adenine accumulation and adenine amyloid-like fiber formation, to explore interactions with TDP-43. Results show that the double deletion shifts the TDP-43 aggregates from liquid-like droplets toward a more amyloid-like state. At the same time the deletions reduce TDP-43's effects on toxicity, cell morphology, autophagy, and TOROID formation without affecting the level of TDP-43. This suggests that the liquid-like droplets rather than amyloid-like TDP-43 aggregates are responsible for the deleterious effects in yeast. How the apt1aah1∆ deletions alter TDP-43 aggregate formation is not clear. Possibly, it results from adenine and TDP-43 fiber interactions as seen for other heterologous fibers. This work offers new insights into the potential interactions between metabolite-based amyloids and pathological protein aggregates, with broad implications for understanding protein misfolding diseases.

Abstract Image

Abstract Image

Abstract Image

先天性代谢错误的腺嘌呤模型改变了TDP-43聚集并降低了其在酵母中的毒性,揭示了蛋白质错误折叠疾病的见解。
TDP-43与肌萎缩侧索硬化症(ALS)和额颞叶变性(FTD)等人类疾病有关。TDP-43在酵母中的表达是有毒的,可以使细胞伸长,形成液体状聚集体,抑制自噬和TOROID的形成。在这里,我们使用先天性代谢错误的apt1∆aah1∆酵母菌模型来探索TDP-43与细胞内腺嘌呤积累和腺嘌呤淀粉样纤维形成的相互作用。结果表明,双重缺失将TDP-43聚集体从液体状液滴转变为更像淀粉样的状态。同时,这些缺失降低了TDP-43对毒性、细胞形态、自噬和TOROID形成的影响,而不影响TDP-43的水平。这表明,液体状的液滴而不是淀粉样的TDP-43聚集体对酵母的有害作用负责。apt1∆aah1∆缺失如何改变TDP-43聚集体的形成尚不清楚。这可能是腺嘌呤和TDP-43纤维相互作用的结果,正如在其他异源纤维中看到的那样。这项工作为基于代谢物的淀粉样蛋白和病理蛋白聚集之间的潜在相互作用提供了新的见解,对理解蛋白质错误折叠疾病具有广泛的意义。
本文章由计算机程序翻译,如有差异,请以英文原文为准。
求助全文
约1分钟内获得全文 求助全文
来源期刊
Microbial Cell
Microbial Cell Multiple-
CiteScore
6.40
自引率
0.00%
发文量
32
审稿时长
12 weeks
×
引用
GB/T 7714-2015
复制
MLA
复制
APA
复制
导出至
BibTeX EndNote RefMan NoteFirst NoteExpress
×
提示
您的信息不完整,为了账户安全,请先补充。
现在去补充
×
提示
您因"违规操作"
具体请查看互助需知
我知道了
×
提示
确定
请完成安全验证×
copy
已复制链接
快去分享给好友吧!
我知道了
右上角分享
点击右上角分享
0
联系我们:info@booksci.cn Book学术提供免费学术资源搜索服务,方便国内外学者检索中英文文献。致力于提供最便捷和优质的服务体验。 Copyright © 2023 布克学术 All rights reserved.
京ICP备2023020795号-1
ghs 京公网安备 11010802042870号
Book学术文献互助
Book学术文献互助群
群 号:604180095
Book学术官方微信