Extensive Bone Marrow Involvement by BRAF V660E-Mutated Bi-Phenotypic Erdheim-Chester Neoplasm/Rosai-Dorfman Disease (Mixed Histiocytic Neoplasm) with Atypical Histological Features and Fulminant Hemophagocytosis.

IF 0.7 Q4 ONCOLOGY
Case Reports in Oncology Pub Date : 2025-05-26 eCollection Date: 2025-01-01 DOI:10.1159/000545775
Dina Soliman, Firyal Ibrahim, Hasan Rizvi, Mahir Petkar, Zsolt Lengyel, Aliya Habib Sange, Awni Alshurafa, Ruba Yasin
{"title":"Extensive Bone Marrow Involvement by <i>BRAF</i> <sup>V660E</sup>-Mutated Bi-Phenotypic Erdheim-Chester Neoplasm/Rosai-Dorfman Disease (Mixed Histiocytic Neoplasm) with Atypical Histological Features and Fulminant Hemophagocytosis.","authors":"Dina Soliman, Firyal Ibrahim, Hasan Rizvi, Mahir Petkar, Zsolt Lengyel, Aliya Habib Sange, Awni Alshurafa, Ruba Yasin","doi":"10.1159/000545775","DOIUrl":null,"url":null,"abstract":"<p><strong>Background: </strong>Erdheim-Chester disease (ECD) is a recently recognized clonal hematopoietic neoplasm characterized by activating alterations in the MAPK pathway. It involves multi-organ accumulation of abnormal histiocytes, leading to nonspecific clinical manifestations due to inflammation and fibrosis caused by histiocytic infiltration.</p><p><strong>Case presentation: </strong>We present a 45-year-old male with nonspecific clinical symptoms and progressive skin and abdominal lesions. Multiple tissue biopsies revealed fibrohistiocytic infiltration but provided an inconclusive diagnosis. Imaging studies showed extensive fibrosis in the perinephric regions on CT and sclerotic foci in long and pelvic bones on PET/CT. Bone marrow biopsy revealed abnormal histiocytes with multinucleated giant forms, prominent emperipolesis, active hemophagocytosis, and condensed hemosiderin deposition. Immunohistochemistry showed positive histiocytes for CD68, CD163, and partially for S-100. Molecular analysis confirmed the <i>BRAFV660E</i> mutation, establishing a diagnosis of ECD with atypical histologic features and findings overlapping with Rosai-Dorfman (mixed histiocytosis). The diagnosis was challenging due to extensive fibrosis, the lack of typical histopathologic features of ECD, in addition to concurrent involvement by Rosai-Dorfman cells (mixed histiocytosis), activated macrophages, and dense hemosiderin deposition - a morphologic characteristic not previously described in ECD. Unfortunately, the diagnosis was delayed by 6 years, which tragically led to a fatal outcome.</p><p><strong>Conclusion: </strong>The case highlights the need to recognize that ECD diagnosis requires integrating histopathology with clinical and radiographic findings. It emphasizes the importance of awareness of mixed histiocytosis features and the role of detecting BRAF mutations, even through immunohistochemistry, in suspected histiocytic neoplasms. Extensive bone marrow involvement by ECD is rarely described. To our knowledge, there are no prior reports of bi-phenotypic (concurrent) ECD/RDD mixed histiocytosis affecting the bone marrow.</p>","PeriodicalId":9625,"journal":{"name":"Case Reports in Oncology","volume":"18 1","pages":"602-612"},"PeriodicalIF":0.7000,"publicationDate":"2025-05-26","publicationTypes":"Journal Article","fieldsOfStudy":null,"isOpenAccess":false,"openAccessPdf":"https://www.ncbi.nlm.nih.gov/pmc/articles/PMC12105831/pdf/","citationCount":"0","resultStr":null,"platform":"Semanticscholar","paperid":null,"PeriodicalName":"Case Reports in Oncology","FirstCategoryId":"1085","ListUrlMain":"https://doi.org/10.1159/000545775","RegionNum":0,"RegionCategory":null,"ArticlePicture":[],"TitleCN":null,"AbstractTextCN":null,"PMCID":null,"EPubDate":"2025/1/1 0:00:00","PubModel":"eCollection","JCR":"Q4","JCRName":"ONCOLOGY","Score":null,"Total":0}
引用次数: 0

Abstract

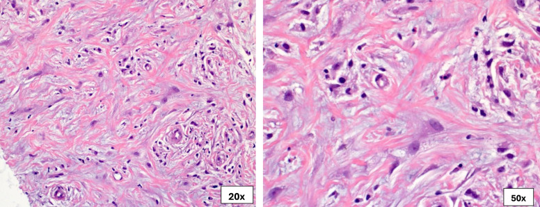
Background: Erdheim-Chester disease (ECD) is a recently recognized clonal hematopoietic neoplasm characterized by activating alterations in the MAPK pathway. It involves multi-organ accumulation of abnormal histiocytes, leading to nonspecific clinical manifestations due to inflammation and fibrosis caused by histiocytic infiltration.

Case presentation: We present a 45-year-old male with nonspecific clinical symptoms and progressive skin and abdominal lesions. Multiple tissue biopsies revealed fibrohistiocytic infiltration but provided an inconclusive diagnosis. Imaging studies showed extensive fibrosis in the perinephric regions on CT and sclerotic foci in long and pelvic bones on PET/CT. Bone marrow biopsy revealed abnormal histiocytes with multinucleated giant forms, prominent emperipolesis, active hemophagocytosis, and condensed hemosiderin deposition. Immunohistochemistry showed positive histiocytes for CD68, CD163, and partially for S-100. Molecular analysis confirmed the BRAFV660E mutation, establishing a diagnosis of ECD with atypical histologic features and findings overlapping with Rosai-Dorfman (mixed histiocytosis). The diagnosis was challenging due to extensive fibrosis, the lack of typical histopathologic features of ECD, in addition to concurrent involvement by Rosai-Dorfman cells (mixed histiocytosis), activated macrophages, and dense hemosiderin deposition - a morphologic characteristic not previously described in ECD. Unfortunately, the diagnosis was delayed by 6 years, which tragically led to a fatal outcome.

Conclusion: The case highlights the need to recognize that ECD diagnosis requires integrating histopathology with clinical and radiographic findings. It emphasizes the importance of awareness of mixed histiocytosis features and the role of detecting BRAF mutations, even through immunohistochemistry, in suspected histiocytic neoplasms. Extensive bone marrow involvement by ECD is rarely described. To our knowledge, there are no prior reports of bi-phenotypic (concurrent) ECD/RDD mixed histiocytosis affecting the bone marrow.

Abstract Image

Abstract Image

Abstract Image

BRAF v660e突变双表型Erdheim-Chester肿瘤/ rossai - dorfman病(混合性组织细胞肿瘤)具有不典型组织学特征和暴发性噬血症,广泛累及骨髓
背景:厄德海姆-切斯特病(ECD)是最近发现的一种克隆性造血肿瘤,其特征是激活MAPK通路的改变。它涉及异常组织细胞的多器官积聚,由于组织细胞浸润引起炎症和纤维化,导致非特异性临床表现。病例介绍:我们报告一位45岁男性,有非特异性临床症状和进行性皮肤和腹部病变。多次组织活检显示纤维组织细胞浸润,但诊断不确定。影像学检查显示CT显示肾周区广泛纤维化,PET/CT显示长骨和骨盆骨硬化灶。骨髓活检显示异常组织细胞多核巨大形态,明显的骨髓增生,活跃的噬血细胞,浓缩的含铁血黄素沉积。免疫组化显示组织细胞CD68、CD163阳性,部分S-100阳性。分子分析证实了BRAFV660E突变,建立了具有非典型组织学特征和与Rosai-Dorfman(混合性组织细胞增多症)重叠的ECD诊断。由于广泛的纤维化,缺乏ECD的典型组织病理学特征,以及Rosai-Dorfman细胞(混合性组织细胞增生),活化的巨噬细胞和密集的含铁血黄素沉积(ECD中以前未描述的形态学特征)同时参与,诊断具有挑战性。不幸的是,诊断延误了6年,这不幸导致了致命的后果。结论:该病例强调需要认识到ECD诊断需要将组织病理学与临床和影像学结果相结合。它强调了意识到混合组织细胞增生特征的重要性,以及检测BRAF突变的作用,甚至通过免疫组织化学,在可疑的组织细胞肿瘤中。ECD广泛累及骨髓的报道很少。据我们所知,之前没有双表型(并发)ECD/RDD混合性组织细胞增多症影响骨髓的报道。
本文章由计算机程序翻译,如有差异,请以英文原文为准。
求助全文
约1分钟内获得全文 求助全文
来源期刊
CiteScore
1.40
自引率
12.50%
发文量
151
审稿时长
7 weeks
×
引用
GB/T 7714-2015
复制
MLA
复制
APA
复制
导出至
BibTeX EndNote RefMan NoteFirst NoteExpress
×
提示
您的信息不完整,为了账户安全,请先补充。
现在去补充
×
提示
您因"违规操作"
具体请查看互助需知
我知道了
×
提示
确定
请完成安全验证×
copy
已复制链接
快去分享给好友吧!
我知道了
右上角分享
点击右上角分享
0
联系我们:info@booksci.cn Book学术提供免费学术资源搜索服务,方便国内外学者检索中英文文献。致力于提供最便捷和优质的服务体验。 Copyright © 2023 布克学术 All rights reserved.
京ICP备2023020795号-1
ghs 京公网安备 11010802042870号
Book学术文献互助
Book学术文献互助群
群 号:604180095
Book学术官方微信