Fatal Outcome of Membranoproliferative Glomerulonephritis in a Patient With Hidden Visceral Leishmaniasis.

IF 0.8 Q4 INFECTIOUS DISEASES
Case Reports in Infectious Diseases Pub Date : 2025-05-19 eCollection Date: 2025-01-01 DOI:10.1155/crdi/3448351
Ali Mansoursamaei, Maryam Valikhani, Hoofar Rafiee
{"title":"Fatal Outcome of Membranoproliferative Glomerulonephritis in a Patient With Hidden Visceral Leishmaniasis.","authors":"Ali Mansoursamaei, Maryam Valikhani, Hoofar Rafiee","doi":"10.1155/crdi/3448351","DOIUrl":null,"url":null,"abstract":"<p><p><b>Background:</b> Visceral leishmaniasis (VL) is a systemic parasitic disease with diverse clinical manifestations, primarily affecting the spleen, liver, and bone marrow. While renal involvement in VL is well documented, it is often mild and resolves with effective treatment. However, severe renal complications, such as membranoproliferative glomerulonephritis (MPGN), are rare and typically associated with immunocompromised individuals. <b>Case Report:</b> We report the case of a 30-year-old male from a nonendemic region who presented with unusual clinical features of generalized edema and abdominal pain, without the classic signs of VL such as fever or hepatosplenomegaly. Clinical examination, laboratory investigations, and other therapeutic interventions ruled out hepatic and cardiac causes of edema, focusing the diagnosis on nephrotic syndrome and acute kidney injury (AKI). A renal biopsy revealed MPGN, a rare but documented complication of VL. The presence of an autoimmune disease was suspected initially, and the patient was treated with steroids without improvement. The diagnosis of VL was confirmed only after bone marrow biopsy, which identified Leishmania amastigotes. Despite prompt initiation of antileishmanial therapy with liposomal amphotericin B, the patient's renal function continued to diminish, which finally resulted in end-stage renal disease (ESRD). The patient later developed pleural and pericardial effusion, pulmonary embolism, and tamponade, ultimately leading to a fatal outcome. <b>Conclusion:</b> This case underscores the importance of considering VL in the differential diagnosis of unexplained renal dysfunction, even in the absence of classic symptoms and in nonendemic regions. It highlights the potential for VL to present with atypical renal manifestations such as MPGN, leading to severe and irreversible renal damage if diagnosis and treatment are delayed. Early recognition and intervention are critical to improving outcomes in VL-associated renal disease.</p>","PeriodicalId":9608,"journal":{"name":"Case Reports in Infectious Diseases","volume":"2025 ","pages":"3448351"},"PeriodicalIF":0.8000,"publicationDate":"2025-05-19","publicationTypes":"Journal Article","fieldsOfStudy":null,"isOpenAccess":false,"openAccessPdf":"https://www.ncbi.nlm.nih.gov/pmc/articles/PMC12105904/pdf/","citationCount":"0","resultStr":null,"platform":"Semanticscholar","paperid":null,"PeriodicalName":"Case Reports in Infectious Diseases","FirstCategoryId":"1085","ListUrlMain":"https://doi.org/10.1155/crdi/3448351","RegionNum":0,"RegionCategory":null,"ArticlePicture":[],"TitleCN":null,"AbstractTextCN":null,"PMCID":null,"EPubDate":"2025/1/1 0:00:00","PubModel":"eCollection","JCR":"Q4","JCRName":"INFECTIOUS DISEASES","Score":null,"Total":0}
引用次数: 0

Abstract

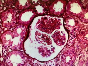
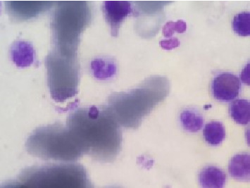
Background: Visceral leishmaniasis (VL) is a systemic parasitic disease with diverse clinical manifestations, primarily affecting the spleen, liver, and bone marrow. While renal involvement in VL is well documented, it is often mild and resolves with effective treatment. However, severe renal complications, such as membranoproliferative glomerulonephritis (MPGN), are rare and typically associated with immunocompromised individuals. Case Report: We report the case of a 30-year-old male from a nonendemic region who presented with unusual clinical features of generalized edema and abdominal pain, without the classic signs of VL such as fever or hepatosplenomegaly. Clinical examination, laboratory investigations, and other therapeutic interventions ruled out hepatic and cardiac causes of edema, focusing the diagnosis on nephrotic syndrome and acute kidney injury (AKI). A renal biopsy revealed MPGN, a rare but documented complication of VL. The presence of an autoimmune disease was suspected initially, and the patient was treated with steroids without improvement. The diagnosis of VL was confirmed only after bone marrow biopsy, which identified Leishmania amastigotes. Despite prompt initiation of antileishmanial therapy with liposomal amphotericin B, the patient's renal function continued to diminish, which finally resulted in end-stage renal disease (ESRD). The patient later developed pleural and pericardial effusion, pulmonary embolism, and tamponade, ultimately leading to a fatal outcome. Conclusion: This case underscores the importance of considering VL in the differential diagnosis of unexplained renal dysfunction, even in the absence of classic symptoms and in nonendemic regions. It highlights the potential for VL to present with atypical renal manifestations such as MPGN, leading to severe and irreversible renal damage if diagnosis and treatment are delayed. Early recognition and intervention are critical to improving outcomes in VL-associated renal disease.

Abstract Image

Abstract Image

隐性内脏利什曼病患者的膜增生性肾小球肾炎的致命结局。
背景:内脏利什曼病(VL)是一种临床表现多样的全身性寄生虫病,主要累及脾、肝和骨髓。虽然VL的肾脏受累是有充分记录的,但它通常是轻微的,并通过有效的治疗来解决。然而,严重的肾脏并发症,如膜增生性肾小球肾炎(MPGN)是罕见的,通常与免疫功能低下的个体有关。病例报告:我们报告一例来自非流行地区的30岁男性,他表现出不寻常的临床特征,全身性水肿和腹痛,没有典型的VL症状,如发烧或肝脾肿大。临床检查、实验室检查和其他治疗干预排除了肝脏和心脏原因的水肿,将诊断重点放在肾病综合征和急性肾损伤(AKI)上。肾活检显示MPGN,一种罕见但有文献记载的肾小球肾炎并发症。最初怀疑存在自身免疫性疾病,患者接受类固醇治疗,但未见改善。VL的诊断只有在骨髓活检后才得到证实,其中发现了利什曼原虫。尽管立即开始用两性霉素B脂质体进行抗利什曼原虫治疗,但患者的肾功能继续下降,最终导致终末期肾病(ESRD)。患者后来出现胸膜和心包积液、肺栓塞和心包填塞,最终导致死亡。结论:该病例强调了在不明原因肾功能障碍的鉴别诊断中考虑VL的重要性,即使在没有典型症状和非流行地区。它强调了VL可能表现为不典型的肾脏表现,如MPGN,如果诊断和治疗延迟,可能导致严重和不可逆的肾脏损害。早期识别和干预对于改善左室相关性肾脏疾病的预后至关重要。
本文章由计算机程序翻译,如有差异,请以英文原文为准。
求助全文
约1分钟内获得全文 求助全文
来源期刊
自引率
0.00%
发文量
64
审稿时长
13 weeks
×
引用
GB/T 7714-2015
复制
MLA
复制
APA
复制
导出至
BibTeX EndNote RefMan NoteFirst NoteExpress
×
提示
您的信息不完整,为了账户安全,请先补充。
现在去补充
×
提示
您因"违规操作"
具体请查看互助需知
我知道了
×
提示
确定
请完成安全验证×
copy
已复制链接
快去分享给好友吧!
我知道了
右上角分享
点击右上角分享
0
联系我们:info@booksci.cn Book学术提供免费学术资源搜索服务,方便国内外学者检索中英文文献。致力于提供最便捷和优质的服务体验。 Copyright © 2023 布克学术 All rights reserved.
京ICP备2023020795号-1
ghs 京公网安备 11010802042870号
Book学术文献互助
Book学术文献互助群
群 号:604180095
Book学术官方微信