Successful Transplantation of Multiple Organs from Donor after Helium Asphyxiation: First Case Report in Japan.

IF 1.8 Q2 MEDICINE, GENERAL & INTERNAL
JMA journal Pub Date : 2025-04-28 Epub Date: 2025-03-21 DOI:10.31662/jmaj.2024-0395
Shunta Jinno, Takashi Hongo, Takafumi Obara, Tsuyoshi Nojima, Kohei Tsukahara, Tetsuya Yumoto, Hiromichi Naito, Atsunori Nakao
{"title":"Successful Transplantation of Multiple Organs from Donor after Helium Asphyxiation: First Case Report in Japan.","authors":"Shunta Jinno, Takashi Hongo, Takafumi Obara, Tsuyoshi Nojima, Kohei Tsukahara, Tetsuya Yumoto, Hiromichi Naito, Atsunori Nakao","doi":"10.31662/jmaj.2024-0395","DOIUrl":null,"url":null,"abstract":"<p><p>Helium inhalation has increased, but most cases are either minor injuries or deaths; there have not yet been any reported cases of brain death leading to organ donation. We report a patient who attempted helium inhalation and was declared brain dead and became an organ donor without complications. To the best of our knowledge, this is the first reported case of deceased organ donation following helium asphyxiation in Japan. The patient in cardiac arrest was found with a helium-filled vinyl bag sealed around the neck. During emergency medical transport to the hospital, a spontaneous return of circulation was obtained after 31 minutes of cardiopulmonary resuscitation. Upon hospital arrival, the physical examination revealed dilated pupils with no response to light. Electrocardiography showed widespread ST-segment depression and ST-segment elevation in augmented Vector Right, as well as elevated cardiac enzymes and decreased myocardial contractility. Head computed tomography revealed diffuse cerebral edema and loss of the gray-white matter boundary without signs of air embolism in the cerebral and coronary arteries. Despite comprehensive post-cardiac arrest care with recovery of organ function, brain death was confirmed on day 4 after hospitalization. The family consented to organ donation on the 11th day of hospitalization. The heart, lungs, liver, and two kidneys were successfully transplanted and all organs functioned. All organ grafts were functioning well at the 3-month follow-up. Our case demonstrates that brain death caused by helium inhalation is not a contraindication to organ donation.</p>","PeriodicalId":73550,"journal":{"name":"JMA journal","volume":"8 2","pages":"650-653"},"PeriodicalIF":1.8000,"publicationDate":"2025-04-28","publicationTypes":"Journal Article","fieldsOfStudy":null,"isOpenAccess":false,"openAccessPdf":"https://www.ncbi.nlm.nih.gov/pmc/articles/PMC12095842/pdf/","citationCount":"0","resultStr":null,"platform":"Semanticscholar","paperid":null,"PeriodicalName":"JMA journal","FirstCategoryId":"1085","ListUrlMain":"https://doi.org/10.31662/jmaj.2024-0395","RegionNum":0,"RegionCategory":null,"ArticlePicture":[],"TitleCN":null,"AbstractTextCN":null,"PMCID":null,"EPubDate":"2025/3/21 0:00:00","PubModel":"Epub","JCR":"Q2","JCRName":"MEDICINE, GENERAL & INTERNAL","Score":null,"Total":0}
引用次数: 0

Abstract

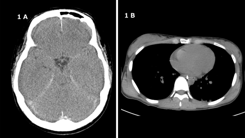
Helium inhalation has increased, but most cases are either minor injuries or deaths; there have not yet been any reported cases of brain death leading to organ donation. We report a patient who attempted helium inhalation and was declared brain dead and became an organ donor without complications. To the best of our knowledge, this is the first reported case of deceased organ donation following helium asphyxiation in Japan. The patient in cardiac arrest was found with a helium-filled vinyl bag sealed around the neck. During emergency medical transport to the hospital, a spontaneous return of circulation was obtained after 31 minutes of cardiopulmonary resuscitation. Upon hospital arrival, the physical examination revealed dilated pupils with no response to light. Electrocardiography showed widespread ST-segment depression and ST-segment elevation in augmented Vector Right, as well as elevated cardiac enzymes and decreased myocardial contractility. Head computed tomography revealed diffuse cerebral edema and loss of the gray-white matter boundary without signs of air embolism in the cerebral and coronary arteries. Despite comprehensive post-cardiac arrest care with recovery of organ function, brain death was confirmed on day 4 after hospitalization. The family consented to organ donation on the 11th day of hospitalization. The heart, lungs, liver, and two kidneys were successfully transplanted and all organs functioned. All organ grafts were functioning well at the 3-month follow-up. Our case demonstrates that brain death caused by helium inhalation is not a contraindication to organ donation.

Abstract Image

Abstract Image

氦窒息后供体多器官移植成功:日本首例报道。
吸入氦气的情况有所增加,但大多数病例不是轻伤就是死亡;目前还没有任何脑死亡导致器官捐献的病例报告。我们报告一个病人谁试图氦气吸入和被宣布脑死亡,并成为器官捐赠者没有并发症。据我们所知,这是日本首次报道的氦窒息后死者器官捐献病例。心脏骤停的病人被发现时脖子上有一个密封的充氦塑料袋。在紧急医疗转运至医院的过程中,心肺复苏31分钟后,血液循环自然恢复。到达医院后,体格检查显示瞳孔扩大,对光没有反应。心电图显示增强右向量广泛的st段下降和st段升高,心肌酶升高,心肌收缩力下降。头部计算机断层扫描显示弥漫性脑水肿和灰质边界丧失,脑和冠状动脉无空气栓塞迹象。尽管心脏骤停后进行了全面的护理并恢复了器官功能,但在住院后第4天确诊脑死亡。住院第11天,家属同意捐献器官。心脏、肺、肝和两个肾脏都成功移植,所有器官功能正常。在3个月的随访中,所有移植器官功能良好。我们的病例表明,氦吸入引起的脑死亡不是器官捐赠的禁忌症。
本文章由计算机程序翻译,如有差异,请以英文原文为准。
求助全文
约1分钟内获得全文 求助全文
来源期刊
自引率
0.00%
发文量
0
×
引用
GB/T 7714-2015
复制
MLA
复制
APA
复制
导出至
BibTeX EndNote RefMan NoteFirst NoteExpress
×
提示
您的信息不完整,为了账户安全,请先补充。
现在去补充
×
提示
您因"违规操作"
具体请查看互助需知
我知道了
×
提示
确定
请完成安全验证×
copy
已复制链接
快去分享给好友吧!
我知道了
右上角分享
点击右上角分享
0
联系我们:info@booksci.cn Book学术提供免费学术资源搜索服务,方便国内外学者检索中英文文献。致力于提供最便捷和优质的服务体验。 Copyright © 2023 布克学术 All rights reserved.
京ICP备2023020795号-1
ghs 京公网安备 11010802042870号
Book学术文献互助
Book学术文献互助群
群 号:604180095
Book学术官方微信