Unexpected Heartbreak: Takotsubo Cardiomyopathy Induced by Esophagogastroduodenoscopy.

IF 0.9 4区 医学
Texas Heart Institute Journal Pub Date : 2025-05-23 eCollection Date: 2025-01-01 DOI:10.14503/THIJ-25-8558
Wassim Abouzeid, Ahmad Haddad, Mohammad Kloub, Yazeed Abu Ruman, Kinjal Patel, Joaquim Correia
{"title":"Unexpected Heartbreak: Takotsubo Cardiomyopathy Induced by Esophagogastroduodenoscopy.","authors":"Wassim Abouzeid, Ahmad Haddad, Mohammad Kloub, Yazeed Abu Ruman, Kinjal Patel, Joaquim Correia","doi":"10.14503/THIJ-25-8558","DOIUrl":null,"url":null,"abstract":"<p><p>Takotsubo cardiomyopathy (stress cardiomyopathy, or broken-heart syndrome), characterized by reversible left ventricular dysfunction without clinically significant coronary artery obstruction, is rare but has been more commonly reported recently. Esophagogastroduodenoscopy as a cause of takotsubo cardiomyopathy remains exceedingly rare. The case report of an 84-year-old female patient with a complex medical history who had acute stress cardiomyopathy following esophagogastroduodenoscopy, which required prolonged hospitalization and hemodynamic support, is presented. This case emphasizes the importance of recognizing and considering this uncommon pathology and its complications in differential diagnosis. Diagnostic modalities and treatment options for this condition are also discussed.</p>","PeriodicalId":48680,"journal":{"name":"Texas Heart Institute Journal","volume":"52 1","pages":"e258558"},"PeriodicalIF":0.9000,"publicationDate":"2025-05-23","publicationTypes":"Journal Article","fieldsOfStudy":null,"isOpenAccess":false,"openAccessPdf":"https://www.ncbi.nlm.nih.gov/pmc/articles/PMC12102090/pdf/","citationCount":"0","resultStr":null,"platform":"Semanticscholar","paperid":null,"PeriodicalName":"Texas Heart Institute Journal","FirstCategoryId":"3","ListUrlMain":"https://doi.org/10.14503/THIJ-25-8558","RegionNum":4,"RegionCategory":"医学","ArticlePicture":[],"TitleCN":null,"AbstractTextCN":null,"PMCID":null,"EPubDate":"2025/1/1 0:00:00","PubModel":"eCollection","JCR":"","JCRName":"","Score":null,"Total":0}
引用次数: 0

Abstract

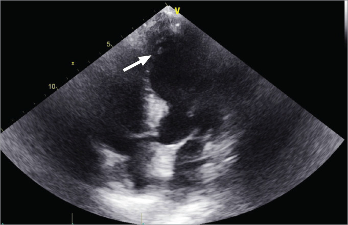
Takotsubo cardiomyopathy (stress cardiomyopathy, or broken-heart syndrome), characterized by reversible left ventricular dysfunction without clinically significant coronary artery obstruction, is rare but has been more commonly reported recently. Esophagogastroduodenoscopy as a cause of takotsubo cardiomyopathy remains exceedingly rare. The case report of an 84-year-old female patient with a complex medical history who had acute stress cardiomyopathy following esophagogastroduodenoscopy, which required prolonged hospitalization and hemodynamic support, is presented. This case emphasizes the importance of recognizing and considering this uncommon pathology and its complications in differential diagnosis. Diagnostic modalities and treatment options for this condition are also discussed.

Abstract Image

Abstract Image

Abstract Image

意外心碎:食道胃十二指肠镜诱发的Takotsubo心肌病。
Takotsubo心肌病(应激性心肌病,或心碎综合征),以可逆性左心室功能障碍为特征,无临床上明显的冠状动脉阻塞,是罕见的,但最近越来越多的报道。食管胃十二指肠镜检查作为takotsubo型心肌病的病因仍然非常罕见。本文报告一例84岁女性患者,病史复杂,在食管胃十二指肠镜检查后出现急性应激性心肌病,需要长期住院和血流动力学支持。这个病例强调了在鉴别诊断中认识和考虑这种罕见的病理及其并发症的重要性。诊断方式和治疗方案的这种情况也进行了讨论。
本文章由计算机程序翻译,如有差异,请以英文原文为准。
求助全文
约1分钟内获得全文 求助全文
来源期刊
Texas Heart Institute Journal
Texas Heart Institute Journal CARDIAC & CARDIOVASCULAR SYSTEMS-
自引率
11.10%
发文量
131
期刊介绍: For more than 45 years, the Texas Heart Institute Journal has been published by the Texas Heart Institute as part of its medical education program. Our bimonthly peer-reviewed journal enjoys a global audience of physicians, scientists, and healthcare professionals who are contributing to the prevention, diagnosis, and treatment of cardiovascular disease. The Journal was printed under the name of Cardiovascular Diseases from 1974 through 1981 (ISSN 0093-3546). The name was changed to Texas Heart Institute Journal in 1982 and was printed through 2013 (ISSN 0730-2347). In 2014, the Journal moved to online-only publication. It is indexed by Index Medicus/MEDLINE and by other indexing and abstracting services worldwide. Our full archive is available at PubMed Central. The Journal invites authors to submit these article types for review: -Clinical Investigations- Laboratory Investigations- Reviews- Techniques- Coronary Anomalies- History of Medicine- Case Reports/Case Series (Submission Fee: $70.00 USD)- Images in Cardiovascular Medicine (Submission Fee: $35.00 USD)- Guest Editorials- Peabody’s Corner- Letters to the Editor
×
引用
GB/T 7714-2015
复制
MLA
复制
APA
复制
导出至
BibTeX EndNote RefMan NoteFirst NoteExpress
×
提示
您的信息不完整,为了账户安全,请先补充。
现在去补充
×
提示
您因"违规操作"
具体请查看互助需知
我知道了
×
提示
确定
请完成安全验证×
copy
已复制链接
快去分享给好友吧!
我知道了
右上角分享
点击右上角分享
0
联系我们:info@booksci.cn Book学术提供免费学术资源搜索服务,方便国内外学者检索中英文文献。致力于提供最便捷和优质的服务体验。 Copyright © 2023 布克学术 All rights reserved.
京ICP备2023020795号-1
ghs 京公网安备 11010802042870号
Book学术文献互助
Book学术文献互助群
群 号:604180095
Book学术官方微信