Patient with Behçet Syndrome with Subaortic Pseudoaneurysm Who Underwent the Bentall Operation Showed Improvement after Medical Treatment.

IF 2.8 4区 医学 Q1 MEDICINE, GENERAL & INTERNAL
Hanbyul Lee, Chang Sin Kim, Jo Won Jung, Han Ki Park, Jong Gyun Ahn
{"title":"Patient with Behçet Syndrome with Subaortic Pseudoaneurysm Who Underwent the Bentall Operation Showed Improvement after Medical Treatment.","authors":"Hanbyul Lee, Chang Sin Kim, Jo Won Jung, Han Ki Park, Jong Gyun Ahn","doi":"10.3349/ymj.2023.0186","DOIUrl":null,"url":null,"abstract":"<p><p>Aortic regurgitation (AR) in children is usually caused by congenital valve anomalies, and Behçet syndrome (BS) can be suspected in cases of isolated AR. Patients with BS undergoing aortic valve surgery due to aortic valve invasion have a high risk of complications, such as leakage around the valve and dehiscence. Cardiovascular involvement occurs in 7%-46% of adult patients with BS and is the main cause of mortality; however, its prevalence is unclear and rare in children. A 12-year-old boy was diagnosed with severe AR associated with BS. A progressive subaortic pseudoaneurysm was observed after aortic valve replacement. The periaortic intracardiac pouch was at risk of rupture; therefore, the patient underwent a Bentall operation. After the Bentall procedure, a newly developed subaortic pseudoaneurysm was detected below the prosthetic valve. However, the risk of rupture reduced as the subaortic pseudoaneurysm regressed with anti-inflammatory drugs alone without reoperation. Repeated surgery is inevitable in patients with BS undergoing aortic valve surgery due to the progressive chronic inflammatory reactions that present with a pseudoaneurysm. Here, we report an 8-year follow-up of a pediatric case of BS with subaortic pseudoaneurysm, highlighting the importance of close follow-up, medical management, and early diagnosis in treating this condition.</p>","PeriodicalId":23765,"journal":{"name":"Yonsei Medical Journal","volume":"66 6","pages":"390-394"},"PeriodicalIF":2.8000,"publicationDate":"2025-06-01","publicationTypes":"Journal Article","fieldsOfStudy":null,"isOpenAccess":false,"openAccessPdf":"https://www.ncbi.nlm.nih.gov/pmc/articles/PMC12116868/pdf/","citationCount":"0","resultStr":null,"platform":"Semanticscholar","paperid":null,"PeriodicalName":"Yonsei Medical Journal","FirstCategoryId":"3","ListUrlMain":"https://doi.org/10.3349/ymj.2023.0186","RegionNum":4,"RegionCategory":"医学","ArticlePicture":[],"TitleCN":null,"AbstractTextCN":null,"PMCID":null,"EPubDate":"","PubModel":"","JCR":"Q1","JCRName":"MEDICINE, GENERAL & INTERNAL","Score":null,"Total":0}
引用次数: 0

Abstract

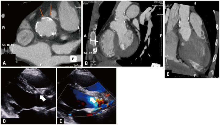
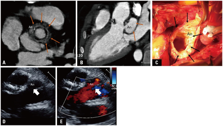
Aortic regurgitation (AR) in children is usually caused by congenital valve anomalies, and Behçet syndrome (BS) can be suspected in cases of isolated AR. Patients with BS undergoing aortic valve surgery due to aortic valve invasion have a high risk of complications, such as leakage around the valve and dehiscence. Cardiovascular involvement occurs in 7%-46% of adult patients with BS and is the main cause of mortality; however, its prevalence is unclear and rare in children. A 12-year-old boy was diagnosed with severe AR associated with BS. A progressive subaortic pseudoaneurysm was observed after aortic valve replacement. The periaortic intracardiac pouch was at risk of rupture; therefore, the patient underwent a Bentall operation. After the Bentall procedure, a newly developed subaortic pseudoaneurysm was detected below the prosthetic valve. However, the risk of rupture reduced as the subaortic pseudoaneurysm regressed with anti-inflammatory drugs alone without reoperation. Repeated surgery is inevitable in patients with BS undergoing aortic valve surgery due to the progressive chronic inflammatory reactions that present with a pseudoaneurysm. Here, we report an 8-year follow-up of a pediatric case of BS with subaortic pseudoaneurysm, highlighting the importance of close follow-up, medical management, and early diagnosis in treating this condition.

Abstract Image

Abstract Image

Abstract Image

behaperet综合征合并主动脉下假性动脉瘤患者行本特尔手术治疗后病情好转。
儿童主动脉瓣反流(Aortic reflux, AR)通常由先天性瓣膜异常引起,孤立性AR可怀疑为behet综合征(behet syndrome, BS)。因主动脉瓣侵犯而行主动脉瓣手术的BS患者瓣膜周围渗漏、破裂等并发症的风险较高。7%-46%的成年BS患者发生心血管疾病,是死亡的主要原因;然而,其患病率尚不清楚,在儿童中很少见。一名12岁男孩被诊断患有伴有BS的严重AR。主动脉瓣置换术后出现进展性主动脉下假性动脉瘤。主动脉周围心内袋有破裂的危险;因此,患者接受了本特尔手术。本特尔手术后,在假瓣膜下方检测到新形成的主动脉下假性动脉瘤。然而,单独使用抗炎药物而无需再次手术,动脉瘤破裂的风险降低。由于假性动脉瘤存在进行性慢性炎症反应,接受主动脉瓣手术的BS患者不可避免地要进行重复手术。在此,我们报告了一例小儿BS合并主动脉下假性动脉瘤的8年随访,强调了密切随访、医疗管理和早期诊断在治疗这种疾病中的重要性。
本文章由计算机程序翻译,如有差异,请以英文原文为准。
求助全文
约1分钟内获得全文 求助全文
来源期刊
Yonsei Medical Journal
Yonsei Medical Journal 医学-医学:内科
CiteScore
4.50
自引率
0.00%
发文量
167
审稿时长
3 months
期刊介绍: The goal of the Yonsei Medical Journal (YMJ) is to publish high quality manuscripts dedicated to clinical or basic research. Any authors affiliated with an accredited biomedical institution may submit manuscripts of original articles, review articles, case reports, brief communications, and letters to the Editor.
×
引用
GB/T 7714-2015
复制
MLA
复制
APA
复制
导出至
BibTeX EndNote RefMan NoteFirst NoteExpress
×
提示
您的信息不完整,为了账户安全,请先补充。
现在去补充
×
提示
您因"违规操作"
具体请查看互助需知
我知道了
×
提示
确定
请完成安全验证×
copy
已复制链接
快去分享给好友吧!
我知道了
右上角分享
点击右上角分享
0
联系我们:info@booksci.cn Book学术提供免费学术资源搜索服务,方便国内外学者检索中英文文献。致力于提供最便捷和优质的服务体验。 Copyright © 2023 布克学术 All rights reserved.
京ICP备2023020795号-1
ghs 京公网安备 11010802042870号
Book学术文献互助
Book学术文献互助群
群 号:604180095
Book学术官方微信