Nodal Mature Plasmacytoid Dendritic Cell Proliferation in a Patient With Chronic Myelomonocytic Leukemia: A Diagnostic Mimic of Blastic Plasmacytoid Dendritic Cell Neoplasm.

IF 0.8 Q3 MEDICINE, GENERAL & INTERNAL
Jowan Al-Nusair, Nathaniel Porter, Zakaria Alagha, Vincent Graffeo, Waqas Mahmud, Mohamed Alshal
{"title":"Nodal Mature Plasmacytoid Dendritic Cell Proliferation in a Patient With Chronic Myelomonocytic Leukemia: A Diagnostic Mimic of Blastic Plasmacytoid Dendritic Cell Neoplasm.","authors":"Jowan Al-Nusair, Nathaniel Porter, Zakaria Alagha, Vincent Graffeo, Waqas Mahmud, Mohamed Alshal","doi":"10.1177/23247096251344723","DOIUrl":null,"url":null,"abstract":"<p><p>Mature plasmacytoid dendritic cell proliferation (MPDCP) is a rare, clonal but nonmalignant entity often associated with myeloid neoplasms such as chronic myelomonocytic leukemia (CMML), myelodysplastic syndromes, and acute myeloid leukemia. While typically confined to the bone marrow, nodal MPDCP is exceedingly rare and may mimic blastic plasmacytoid dendritic cell neoplasm (BPDCN), posing diagnostic challenges. We report a 78-year-old male with CMML-1 and progressive cervical lymphadenopathy. Workup revealed monocytosis, ASXL1 and CBL mutations, and CMML. Lymph node biopsy showed paracortical expansion by small mononuclear cells with plasmacytoid features. Immunophenotyping identified a CD4+, CD123+, CD303+, HLA-DR+, lysozyme+, CD56- population, consistent with MPDCP. A subset expressed TdT and granzyme B, with a Ki-67 index of 20% to 30%. Next-generation sequencing confirmed the same ASXL1 and CBL mutations in the lymph node, supporting clonal relation to CMML. Key differential diagnoses included BPDCN, T-cell lymphomas, Langerhans cell histiocytosis, and Kikuchi-Fujimoto disease. Absence of CD56, mature cytomorphology, and molecular concordance favored MPDCP. This case highlights the importance of distinguishing nodal MPDCP from malignant mimics. MPDCP may reflect immune evasion, altered cytokine signaling, or clonal progression in myeloid neoplasms. The patient was initially treated with hydroxyurea, later transitioned to decitabine/cedazuridine (Inqovi) for disease progression. Follow-up marrow biopsy showed stable CMML-2 with persistent mutations, and the patient remains under close monitoring. Recognizing MPDCP in unusual locations is critical for accurate diagnosis and prognostication. Further studies are warranted to clarify its molecular pathogenesis and potential as a biomarker of disease evolution in CMML and related disorders.</p>","PeriodicalId":16198,"journal":{"name":"Journal of investigative medicine high impact case reports","volume":"13 ","pages":"23247096251344723"},"PeriodicalIF":0.8000,"publicationDate":"2025-01-01","publicationTypes":"Journal Article","fieldsOfStudy":null,"isOpenAccess":false,"openAccessPdf":"https://www.ncbi.nlm.nih.gov/pmc/articles/PMC12106976/pdf/","citationCount":"0","resultStr":null,"platform":"Semanticscholar","paperid":null,"PeriodicalName":"Journal of investigative medicine high impact case reports","FirstCategoryId":"1085","ListUrlMain":"https://doi.org/10.1177/23247096251344723","RegionNum":0,"RegionCategory":null,"ArticlePicture":[],"TitleCN":null,"AbstractTextCN":null,"PMCID":null,"EPubDate":"2025/5/26 0:00:00","PubModel":"Epub","JCR":"Q3","JCRName":"MEDICINE, GENERAL & INTERNAL","Score":null,"Total":0}
引用次数: 0

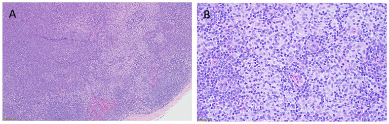
Abstract

Mature plasmacytoid dendritic cell proliferation (MPDCP) is a rare, clonal but nonmalignant entity often associated with myeloid neoplasms such as chronic myelomonocytic leukemia (CMML), myelodysplastic syndromes, and acute myeloid leukemia. While typically confined to the bone marrow, nodal MPDCP is exceedingly rare and may mimic blastic plasmacytoid dendritic cell neoplasm (BPDCN), posing diagnostic challenges. We report a 78-year-old male with CMML-1 and progressive cervical lymphadenopathy. Workup revealed monocytosis, ASXL1 and CBL mutations, and CMML. Lymph node biopsy showed paracortical expansion by small mononuclear cells with plasmacytoid features. Immunophenotyping identified a CD4+, CD123+, CD303+, HLA-DR+, lysozyme+, CD56- population, consistent with MPDCP. A subset expressed TdT and granzyme B, with a Ki-67 index of 20% to 30%. Next-generation sequencing confirmed the same ASXL1 and CBL mutations in the lymph node, supporting clonal relation to CMML. Key differential diagnoses included BPDCN, T-cell lymphomas, Langerhans cell histiocytosis, and Kikuchi-Fujimoto disease. Absence of CD56, mature cytomorphology, and molecular concordance favored MPDCP. This case highlights the importance of distinguishing nodal MPDCP from malignant mimics. MPDCP may reflect immune evasion, altered cytokine signaling, or clonal progression in myeloid neoplasms. The patient was initially treated with hydroxyurea, later transitioned to decitabine/cedazuridine (Inqovi) for disease progression. Follow-up marrow biopsy showed stable CMML-2 with persistent mutations, and the patient remains under close monitoring. Recognizing MPDCP in unusual locations is critical for accurate diagnosis and prognostication. Further studies are warranted to clarify its molecular pathogenesis and potential as a biomarker of disease evolution in CMML and related disorders.

Abstract Image

Abstract Image

Abstract Image

慢性髓单细胞白血病患者淋巴结成熟浆细胞样树突状细胞增殖:诊断模拟母浆细胞样树突状细胞肿瘤。
成熟浆细胞样树突状细胞增殖(MPDCP)是一种罕见的克隆性非恶性实体,常与髓系肿瘤相关,如慢性髓单细胞白血病(CMML)、骨髓增生异常综合征和急性髓系白血病。虽然典型局限于骨髓,但淋巴结性MPDCP极为罕见,可能与母细胞浆细胞样树突状细胞肿瘤(BPDCN)相似,给诊断带来挑战。我们报告一位78岁男性CMML-1和进行性颈淋巴肿大。检查显示单核细胞增多症,ASXL1和CBL突变,以及CMML。淋巴结活检显示皮质旁增生的小单核细胞具有浆细胞样特征。免疫分型鉴定CD4+、CD123+、CD303+、HLA-DR+、溶菌酶+、CD56-人群,与MPDCP一致。一个亚群表达TdT和颗粒酶B, Ki-67指数为20% ~ 30%。新一代测序证实了淋巴结中相同的ASXL1和CBL突变,支持与CMML的克隆关系。关键的鉴别诊断包括BPDCN、t细胞淋巴瘤、朗格汉斯细胞组织细胞增多症和Kikuchi-Fujimoto病。缺乏CD56,成熟的细胞形态和分子一致性有利于MPDCP。本病例强调了区分淋巴结性MPDCP与恶性模拟的重要性。MPDCP可能反映骨髓肿瘤的免疫逃避、细胞因子信号改变或克隆进展。患者最初用羟基脲治疗,后来因疾病进展改用地西他滨/cedazuridine (Inqovi)。随访骨髓活检显示稳定的CMML-2持续突变,患者仍在密切监测下。识别异常位置的MPDCP对于准确诊断和预测至关重要。需要进一步的研究来阐明其分子发病机制和作为CMML及相关疾病疾病演变的生物标志物的潜力。
本文章由计算机程序翻译,如有差异,请以英文原文为准。
求助全文
约1分钟内获得全文 求助全文
来源期刊
CiteScore
1.90
自引率
0.00%
发文量
165
审稿时长
12 weeks
期刊介绍: The AFMR is committed to enhancing the training and career development of our members and to furthering its mission to facilitate the conduct of research to improve medical care. Case reports represent an important avenue for trainees (interns, residents, and fellows) and early-stage faculty to demonstrate productive, scholarly activity.
×
引用
GB/T 7714-2015
复制
MLA
复制
APA
复制
导出至
BibTeX EndNote RefMan NoteFirst NoteExpress
×
提示
您的信息不完整,为了账户安全,请先补充。
现在去补充
×
提示
您因"违规操作"
具体请查看互助需知
我知道了
×
提示
确定
请完成安全验证×
copy
已复制链接
快去分享给好友吧!
我知道了
右上角分享
点击右上角分享
0
联系我们:info@booksci.cn Book学术提供免费学术资源搜索服务,方便国内外学者检索中英文文献。致力于提供最便捷和优质的服务体验。 Copyright © 2023 布克学术 All rights reserved.
京ICP备2023020795号-1
ghs 京公网安备 11010802042870号
Book学术文献互助
Book学术文献互助群
群 号:604180095
Book学术官方微信