Navigating Dysphagia Aortica in a 90-Year-Old Patient: A Case Report.

IF 0.7 Q3 MEDICINE, GENERAL & INTERNAL
International Medical Case Reports Journal Pub Date : 2025-05-20 eCollection Date: 2025-01-01 DOI:10.2147/IMCRJ.S506415
Mohamed Omar Hassan, Ahmed Shafie Aden, Osman Farah Dahir, Ahmed Elmi Abdi, Ishak Ahmed Abdi, Said Abdirahman Ahmed, Nasra Mohamud Hilowle, Mohamed Osman Omar Jeele
{"title":"Navigating Dysphagia Aortica in a 90-Year-Old Patient: A Case Report.","authors":"Mohamed Omar Hassan, Ahmed Shafie Aden, Osman Farah Dahir, Ahmed Elmi Abdi, Ishak Ahmed Abdi, Said Abdirahman Ahmed, Nasra Mohamud Hilowle, Mohamed Osman Omar Jeele","doi":"10.2147/IMCRJ.S506415","DOIUrl":null,"url":null,"abstract":"<p><strong>Background: </strong>Dysphagia aortica is an uncommon condition caused by esophageal compression from vascular malformations, often complicating the clinical course in the elderly. This case explores the management of dysphagia aortica in a 90-year-old Somali woman, emphasizing challenges posed by age-related anatomical changes and comorbidities.</p><p><strong>Case presentation: </strong>The patient presented with chest discomfort, dyspnea, and dysphagia for liquids and solids. Imaging revealed esophageal compression due to ascending aorta dilation. The dysphagia persisted despite pharmacological management, leading to the decision that surgical intervention was too risky. We placed a percutaneous endoscopic gastrostomy (PEG) tube to maintain nutrition, stabilizing her condition and improving her quality of life.</p><p><strong>Conclusion: </strong>This case underscores the importance of individualized, multidisciplinary management in elderly patients with dysphagia aortica. While PEG is a well-established intervention for severe dysphagia, its application in dysphagia aortica, particularly in frail geriatric patients, highlights a crucial, underrecognized approach. This report adds to the limited literature on dysphagia aortica by demonstrating that non-surgical interventions can be effective in maintaining nutrition and quality of life when surgical risks outweigh potential benefits.</p>","PeriodicalId":14337,"journal":{"name":"International Medical Case Reports Journal","volume":"18 ","pages":"595-599"},"PeriodicalIF":0.7000,"publicationDate":"2025-05-20","publicationTypes":"Journal Article","fieldsOfStudy":null,"isOpenAccess":false,"openAccessPdf":"https://www.ncbi.nlm.nih.gov/pmc/articles/PMC12103200/pdf/","citationCount":"0","resultStr":null,"platform":"Semanticscholar","paperid":null,"PeriodicalName":"International Medical Case Reports Journal","FirstCategoryId":"1085","ListUrlMain":"https://doi.org/10.2147/IMCRJ.S506415","RegionNum":0,"RegionCategory":null,"ArticlePicture":[],"TitleCN":null,"AbstractTextCN":null,"PMCID":null,"EPubDate":"2025/1/1 0:00:00","PubModel":"eCollection","JCR":"Q3","JCRName":"MEDICINE, GENERAL & INTERNAL","Score":null,"Total":0}
引用次数: 0

Abstract

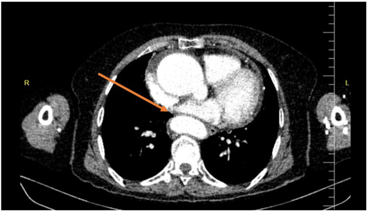
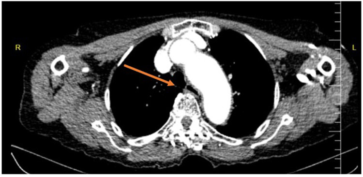
Background: Dysphagia aortica is an uncommon condition caused by esophageal compression from vascular malformations, often complicating the clinical course in the elderly. This case explores the management of dysphagia aortica in a 90-year-old Somali woman, emphasizing challenges posed by age-related anatomical changes and comorbidities.

Case presentation: The patient presented with chest discomfort, dyspnea, and dysphagia for liquids and solids. Imaging revealed esophageal compression due to ascending aorta dilation. The dysphagia persisted despite pharmacological management, leading to the decision that surgical intervention was too risky. We placed a percutaneous endoscopic gastrostomy (PEG) tube to maintain nutrition, stabilizing her condition and improving her quality of life.

Conclusion: This case underscores the importance of individualized, multidisciplinary management in elderly patients with dysphagia aortica. While PEG is a well-established intervention for severe dysphagia, its application in dysphagia aortica, particularly in frail geriatric patients, highlights a crucial, underrecognized approach. This report adds to the limited literature on dysphagia aortica by demonstrating that non-surgical interventions can be effective in maintaining nutrition and quality of life when surgical risks outweigh potential benefits.

Abstract Image

Abstract Image

90岁高龄主动脉吞咽困难患者的导航:一例报告。
背景:主动脉吞咽困难是一种由血管畸形引起的食管压迫引起的罕见疾病,常使老年人的临床过程复杂化。本病例探讨了一名90岁索马里妇女主动脉吞咽困难的治疗,强调了与年龄相关的解剖变化和合并症带来的挑战。病例表现:患者表现为胸部不适,呼吸困难,液体和固体吞咽困难。影像学显示升主动脉扩张导致食管受压。尽管药物治疗,吞咽困难仍然存在,导致手术干预风险太大。我们放置了经皮内镜胃造口术(PEG)管来维持营养,稳定她的病情,提高她的生活质量。结论:本病例强调了对老年主动脉吞咽困难患者进行个体化、多学科治疗的重要性。虽然PEG是一种公认的治疗严重吞咽困难的干预措施,但它在主动脉吞咽困难,特别是虚弱的老年患者中的应用,突显了一种关键的、未被充分认识的方法。本报告补充了有限的关于主动脉吞咽困难的文献,表明当手术风险大于潜在收益时,非手术干预可以有效地维持营养和生活质量。
本文章由计算机程序翻译,如有差异,请以英文原文为准。
求助全文
约1分钟内获得全文 求助全文
来源期刊
International Medical Case Reports Journal
International Medical Case Reports Journal MEDICINE, GENERAL & INTERNAL-
CiteScore
1.40
自引率
0.00%
发文量
135
审稿时长
16 weeks
期刊介绍: International Medical Case Reports Journal is an international, peer-reviewed, open access, online journal publishing original case reports from all medical specialties. Submissions should not normally exceed 3,000 words or 4 published pages including figures, diagrams and references. As of 1st April 2019, the International Medical Case Reports Journal will no longer consider meta-analyses for publication.
×
引用
GB/T 7714-2015
复制
MLA
复制
APA
复制
导出至
BibTeX EndNote RefMan NoteFirst NoteExpress
×
提示
您的信息不完整,为了账户安全,请先补充。
现在去补充
×
提示
您因"违规操作"
具体请查看互助需知
我知道了
×
提示
确定
请完成安全验证×
copy
已复制链接
快去分享给好友吧!
我知道了
右上角分享
点击右上角分享
0
联系我们:info@booksci.cn Book学术提供免费学术资源搜索服务,方便国内外学者检索中英文文献。致力于提供最便捷和优质的服务体验。 Copyright © 2023 布克学术 All rights reserved.
京ICP备2023020795号-1
ghs 京公网安备 11010802042870号
Book学术文献互助
Book学术文献互助群
群 号:604180095
Book学术官方微信