Functional Compression of the Right Internal Carotid Artery by the Hyoid Bone in a Patient with Moyamoya Syndrome and Low Internal Carotid Artery Bifurcation: A Case Report.

IF 2.8 Q2 PERIPHERAL VASCULAR DISEASE
Vascular Health and Risk Management Pub Date : 2025-05-16 eCollection Date: 2025-01-01 DOI:10.2147/VHRM.S520022
Klinta Bicevska, Sigita Skrastina, Karlis Kupcs, Anita Raita, Arturs Balodis
{"title":"Functional Compression of the Right Internal Carotid Artery by the Hyoid Bone in a Patient with Moyamoya Syndrome and Low Internal Carotid Artery Bifurcation: A Case Report.","authors":"Klinta Bicevska, Sigita Skrastina, Karlis Kupcs, Anita Raita, Arturs Balodis","doi":"10.2147/VHRM.S520022","DOIUrl":null,"url":null,"abstract":"<p><strong>Background: </strong>Functional compression of the internal carotid artery by hyoid bone is a rare but potentially serious condition that can lead to vascular complications, particularly when coexisting with intracranial vascular abnormalities. This case report describes a 48-year-old woman with acute cerebral ischemia due to a combination of functional right internal carotid artery compression by the hyoid bone, low carotid bifurcation, and coexisting Moyamoya syndrome.</p><p><strong>Case report: </strong>In this article, we describe the clinical case of a 48-year-old woman who presented with sudden-onset weakness in her left arm. Imaging studies demonstrated acute ischemia in the territory supplied by the right middle cerebral artery. Further evaluation with computed tomography angiography revealed compression of the right internal carotid artery by the hyoid bone. However, additional imaging studies, including digital subtraction angiography and carotid Doppler ultrasound, did not reveal any signs of internal carotid artery stenosis. This suggested that the compression was functional, occurring only in specific positions of the head or arms. The patient was also newly diagnosed with Moyamoya syndrome, characterized by progressive stenosis of the intracranial vessels. Prompt recognition of these findings enabled timely management, including the initiation of antiplatelet therapy.</p><p><strong>Conclusion: </strong>In cases of acute brain ischemia, it is crucial to consider both intracranial and extracranial vascular conditions. This case report underscores the significance of identifying anatomical variations in the relationship between the hyoid bone and the internal carotid artery, as it can lead to arterial compression and potentially trigger acute ischemic strokes, especially in combination with Moyamoya syndrome. Understanding these anatomical nuances is essential for early diagnosis and appropriate management.</p>","PeriodicalId":23597,"journal":{"name":"Vascular Health and Risk Management","volume":"21 ","pages":"383-389"},"PeriodicalIF":2.8000,"publicationDate":"2025-05-16","publicationTypes":"Journal Article","fieldsOfStudy":null,"isOpenAccess":false,"openAccessPdf":"https://www.ncbi.nlm.nih.gov/pmc/articles/PMC12091060/pdf/","citationCount":"0","resultStr":null,"platform":"Semanticscholar","paperid":null,"PeriodicalName":"Vascular Health and Risk Management","FirstCategoryId":"1085","ListUrlMain":"https://doi.org/10.2147/VHRM.S520022","RegionNum":0,"RegionCategory":null,"ArticlePicture":[],"TitleCN":null,"AbstractTextCN":null,"PMCID":null,"EPubDate":"2025/1/1 0:00:00","PubModel":"eCollection","JCR":"Q2","JCRName":"PERIPHERAL VASCULAR DISEASE","Score":null,"Total":0}
引用次数: 0

Abstract

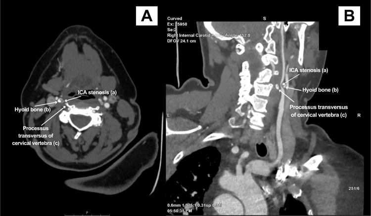
Background: Functional compression of the internal carotid artery by hyoid bone is a rare but potentially serious condition that can lead to vascular complications, particularly when coexisting with intracranial vascular abnormalities. This case report describes a 48-year-old woman with acute cerebral ischemia due to a combination of functional right internal carotid artery compression by the hyoid bone, low carotid bifurcation, and coexisting Moyamoya syndrome.

Case report: In this article, we describe the clinical case of a 48-year-old woman who presented with sudden-onset weakness in her left arm. Imaging studies demonstrated acute ischemia in the territory supplied by the right middle cerebral artery. Further evaluation with computed tomography angiography revealed compression of the right internal carotid artery by the hyoid bone. However, additional imaging studies, including digital subtraction angiography and carotid Doppler ultrasound, did not reveal any signs of internal carotid artery stenosis. This suggested that the compression was functional, occurring only in specific positions of the head or arms. The patient was also newly diagnosed with Moyamoya syndrome, characterized by progressive stenosis of the intracranial vessels. Prompt recognition of these findings enabled timely management, including the initiation of antiplatelet therapy.

Conclusion: In cases of acute brain ischemia, it is crucial to consider both intracranial and extracranial vascular conditions. This case report underscores the significance of identifying anatomical variations in the relationship between the hyoid bone and the internal carotid artery, as it can lead to arterial compression and potentially trigger acute ischemic strokes, especially in combination with Moyamoya syndrome. Understanding these anatomical nuances is essential for early diagnosis and appropriate management.

Abstract Image

Abstract Image

Abstract Image

舌骨功能性压迫右侧颈内动脉的烟雾综合征和颈内动脉低分叉患者:1例报告。
背景:舌骨对颈内动脉的功能性压迫是一种罕见但潜在严重的疾病,可导致血管并发症,特别是当与颅内血管异常共存时。本病例报告描述了一名48岁的女性,由于右侧颈内动脉功能性压迫舌骨、颈动脉低分叉和共存的烟雾综合征而出现急性脑缺血。病例报告:在这篇文章中,我们描述了一个48岁女性的临床病例,她表现为突然发作的左臂无力。影像学检查显示右脑中动脉供血区域出现急性缺血。进一步的计算机断层血管造影显示右侧颈内动脉被舌骨压迫。然而,其他影像学检查,包括数字减影血管造影和颈动脉多普勒超声,未发现任何颈内动脉狭窄的迹象。这表明压迫是功能性的,只发生在头部或手臂的特定位置。患者还被新诊断为烟雾综合征,其特征是颅内血管进行性狭窄。及时认识到这些发现可以及时处理,包括开始抗血小板治疗。结论:在急性脑缺血的情况下,考虑颅内和颅外血管状况是至关重要的。本病例报告强调了识别舌骨与颈内动脉之间关系的解剖变异的重要性,因为它可能导致动脉压迫并可能引发急性缺血性中风,特别是合并烟雾综合征。了解这些解剖学上的细微差别对于早期诊断和适当的治疗至关重要。
本文章由计算机程序翻译,如有差异,请以英文原文为准。
求助全文
约1分钟内获得全文 求助全文
来源期刊
Vascular Health and Risk Management
Vascular Health and Risk Management PERIPHERAL VASCULAR DISEASE-
CiteScore
4.20
自引率
3.40%
发文量
109
审稿时长
16 weeks
期刊介绍: An international, peer-reviewed journal of therapeutics and risk management, focusing on concise rapid reporting of clinical studies on the processes involved in the maintenance of vascular health; the monitoring, prevention, and treatment of vascular disease and its sequelae; and the involvement of metabolic disorders, particularly diabetes. In addition, the journal will also seek to define drug usage in terms of ultimate uptake and acceptance by the patient and healthcare professional.
×
引用
GB/T 7714-2015
复制
MLA
复制
APA
复制
导出至
BibTeX EndNote RefMan NoteFirst NoteExpress
×
提示
您的信息不完整,为了账户安全,请先补充。
现在去补充
×
提示
您因"违规操作"
具体请查看互助需知
我知道了
×
提示
确定
请完成安全验证×
copy
已复制链接
快去分享给好友吧!
我知道了
右上角分享
点击右上角分享
0
联系我们:info@booksci.cn Book学术提供免费学术资源搜索服务,方便国内外学者检索中英文文献。致力于提供最便捷和优质的服务体验。 Copyright © 2023 布克学术 All rights reserved.
京ICP备2023020795号-1
ghs 京公网安备 11010802042870号
Book学术文献互助
Book学术文献互助群
群 号:604180095
Book学术官方微信