Evaluation of zygomaticus major muscle and lip-closing force in orthognathic surgery: retrospective study.

IF 2.8 Q2 DENTISTRY, ORAL SURGERY & MEDICINE
Riku Kohara, Karen Gomi, Young-Min Shin, Akinori Moroi, Kunio Yoshizawa, Koichiro Ueki
{"title":"Evaluation of zygomaticus major muscle and lip-closing force in orthognathic surgery: retrospective study.","authors":"Riku Kohara, Karen Gomi, Young-Min Shin, Akinori Moroi, Kunio Yoshizawa, Koichiro Ueki","doi":"10.1186/s40902-025-00466-9","DOIUrl":null,"url":null,"abstract":"<p><strong>Background: </strong>This study evaluated the zygomaticus major muscle and lip-closing force before and after orthognathic surgery. Sixty female patients with jaw deformities who underwent orthognathic surgery were included. Lip-closing force and computed tomography (CT) assessments were conducted preoperatively and 1 year postoperatively. Lip pressure was measured using the Lip De Cum LDC-110R® (Cosmos Instruments Co., Ltd., Tokyo, Japan). CT images were reconstructed using ProPlan CMF (Materialize, Belgium), and zygomaticus major muscle width and CT values were analyzed. To the best of our knowledge, no previous studies have employed CT values to assess muscles in the oral and maxillofacial area.</p><p><strong>Results: </strong>In both class II and class III females, postoperative zygomaticus major muscle width was significantly higher than preoperative values. In class II females, postoperative zygomaticus major muscle CT values were also significantly higher than preoperative values. Simple linear regression analysis with age as the dependent variable revealed significant associations between pre- and postoperative zygomaticus major muscle widths in both groups. Additionally, simple linear regression analysis with CT values as the dependent variable demonstrated significant associations with postoperative lip-closing force in both class II and class III females.</p><p><strong>Conclusions: </strong>This study suggests that orthognathic surgery significantly modifies the zygomaticus major muscle morphology and function, impacting CT values.</p>","PeriodicalId":18357,"journal":{"name":"Maxillofacial Plastic and Reconstructive Surgery","volume":"47 1","pages":"10"},"PeriodicalIF":2.8000,"publicationDate":"2025-05-21","publicationTypes":"Journal Article","fieldsOfStudy":null,"isOpenAccess":false,"openAccessPdf":"https://www.ncbi.nlm.nih.gov/pmc/articles/PMC12095089/pdf/","citationCount":"0","resultStr":null,"platform":"Semanticscholar","paperid":null,"PeriodicalName":"Maxillofacial Plastic and Reconstructive Surgery","FirstCategoryId":"1085","ListUrlMain":"https://doi.org/10.1186/s40902-025-00466-9","RegionNum":0,"RegionCategory":null,"ArticlePicture":[],"TitleCN":null,"AbstractTextCN":null,"PMCID":null,"EPubDate":"","PubModel":"","JCR":"Q2","JCRName":"DENTISTRY, ORAL SURGERY & MEDICINE","Score":null,"Total":0}
引用次数: 0

Abstract

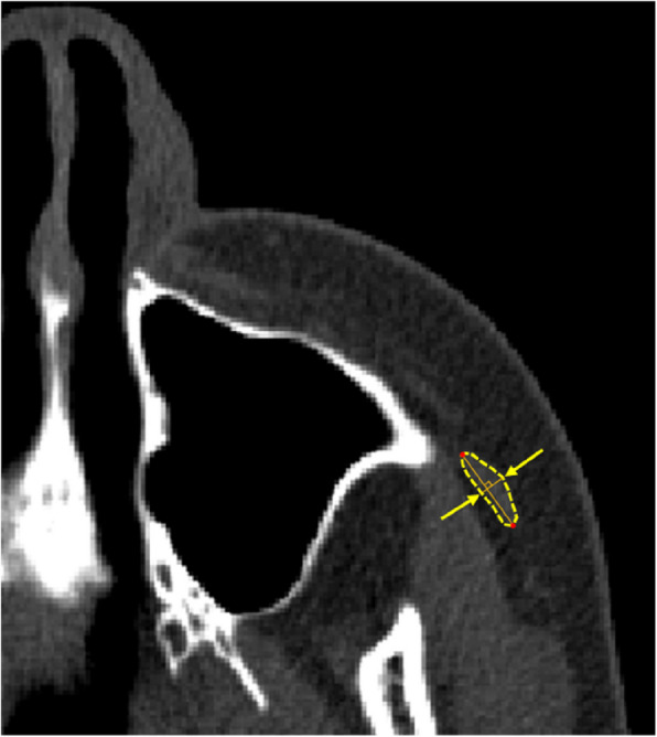
Background: This study evaluated the zygomaticus major muscle and lip-closing force before and after orthognathic surgery. Sixty female patients with jaw deformities who underwent orthognathic surgery were included. Lip-closing force and computed tomography (CT) assessments were conducted preoperatively and 1 year postoperatively. Lip pressure was measured using the Lip De Cum LDC-110R® (Cosmos Instruments Co., Ltd., Tokyo, Japan). CT images were reconstructed using ProPlan CMF (Materialize, Belgium), and zygomaticus major muscle width and CT values were analyzed. To the best of our knowledge, no previous studies have employed CT values to assess muscles in the oral and maxillofacial area.

Results: In both class II and class III females, postoperative zygomaticus major muscle width was significantly higher than preoperative values. In class II females, postoperative zygomaticus major muscle CT values were also significantly higher than preoperative values. Simple linear regression analysis with age as the dependent variable revealed significant associations between pre- and postoperative zygomaticus major muscle widths in both groups. Additionally, simple linear regression analysis with CT values as the dependent variable demonstrated significant associations with postoperative lip-closing force in both class II and class III females.

Conclusions: This study suggests that orthognathic surgery significantly modifies the zygomaticus major muscle morphology and function, impacting CT values.

Abstract Image

Abstract Image

Abstract Image

正颌手术中颧大肌和闭唇力的评价:回顾性研究。
背景:本研究评估了正颌手术前后颧大肌和闭唇力的变化。本研究包括60例接受正颌手术的女性颌骨畸形患者。术前及术后1年进行闭唇力及CT评估。唇压测量使用Lip De Cum LDC-110R®(Cosmos Instruments Co., Ltd, Tokyo, Japan)。使用ProPlan CMF (Materialize, Belgium)软件重建CT图像,分析颧大肌宽度和CT值。据我们所知,以前没有研究使用CT值评估口腔颌面部肌肉。结果:II类和III类女性术后颧大肌宽度均明显高于术前。II类女性术后颧大肌CT值也明显高于术前。以年龄为因变量的简单线性回归分析显示,两组患者术后前后颧大肌宽度之间存在显著相关性。此外,以CT值为因变量的简单线性回归分析显示,II类和III类女性术后闭唇力与闭唇力有显著相关性。结论:本研究提示正颌手术显著改变颧大肌形态和功能,影响CT值。
本文章由计算机程序翻译,如有差异,请以英文原文为准。
求助全文
约1分钟内获得全文 求助全文
来源期刊
Maxillofacial Plastic and Reconstructive Surgery
Maxillofacial Plastic and Reconstructive Surgery DENTISTRY, ORAL SURGERY & MEDICINE-
CiteScore
4.30
自引率
13.00%
发文量
37
审稿时长
13 weeks
×
引用
GB/T 7714-2015
复制
MLA
复制
APA
复制
导出至
BibTeX EndNote RefMan NoteFirst NoteExpress
×
提示
您的信息不完整,为了账户安全,请先补充。
现在去补充
×
提示
您因"违规操作"
具体请查看互助需知
我知道了
×
提示
确定
请完成安全验证×
copy
已复制链接
快去分享给好友吧!
我知道了
右上角分享
点击右上角分享
0
联系我们:info@booksci.cn Book学术提供免费学术资源搜索服务,方便国内外学者检索中英文文献。致力于提供最便捷和优质的服务体验。 Copyright © 2023 布克学术 All rights reserved.
京ICP备2023020795号-1
ghs 京公网安备 11010802042870号
Book学术文献互助
Book学术文献互助群
群 号:604180095
Book学术官方微信