Topical administration of tranexamic acid for prevention of postoperative epidural fibrosis: insights from a rabbit laminectomy model.

IF 1.1 4区 农林科学 Q3 ZOOLOGY
Veterinary Research Forum Pub Date : 2025-01-01 Epub Date: 2025-03-15 DOI:10.30466/vrf.2024.2031220.4312
Arian Rahmani, Soroush Mohitmafi, Fariborz Moayer, Mohammad Molazem
{"title":"Topical administration of tranexamic acid for prevention of postoperative epidural fibrosis: insights from a rabbit laminectomy model.","authors":"Arian Rahmani, Soroush Mohitmafi, Fariborz Moayer, Mohammad Molazem","doi":"10.30466/vrf.2024.2031220.4312","DOIUrl":null,"url":null,"abstract":"<p><p>Significant advancements in imaging and surgical methodologies have led to more frequent performance of neurosurgical procedures such as laminectomy in both animal and human patients. Epidural fibrosis (EF) is defined as the excessive formation of scar tissue in the epidural space after lumbar laminectomy, often resulting in recurring postoperative pain. Given the association between postoperative hematoma accumulation at the laminectomy site and the development of EF, the present study aimed to evaluate the preventive impact of tranexamic acid (TXA), an antifibrinolytic agent with well-recognized hemostatic properties across various surgical fields. A rabbit laminectomy model was constructed to assess its effectiveness in reducing EF formation. A total number of 18 adult New Zealand White male rabbits were randomly divided into two groups: The control (saline) group and the treatment (topical TXA) group. Each rabbit underwent a two-level laminectomy at L3-L4. The treatment group received 5.00 mL of 100 mg mL<sup>-1</sup> TXA solution applied topically to the laminectomy site, while the control group received 5.00 mL of saline. Postoperative evaluations included magnetic resonance imaging at week six to assess EF, followed by histopathological examinations to evaluate fibroblast cell density in scar tissue, EF grading and thickness of the dura mater. The analysis of magnetic resonance imaging and histopathologic data revealed significant differences between the two groups indicating that topical administration of TXA might be a promising approach for preventing EF.</p>","PeriodicalId":23989,"journal":{"name":"Veterinary Research Forum","volume":"16 3","pages":"181-187"},"PeriodicalIF":1.1000,"publicationDate":"2025-01-01","publicationTypes":"Journal Article","fieldsOfStudy":null,"isOpenAccess":false,"openAccessPdf":"https://www.ncbi.nlm.nih.gov/pmc/articles/PMC12085942/pdf/","citationCount":"0","resultStr":null,"platform":"Semanticscholar","paperid":null,"PeriodicalName":"Veterinary Research Forum","FirstCategoryId":"97","ListUrlMain":"https://doi.org/10.30466/vrf.2024.2031220.4312","RegionNum":4,"RegionCategory":"农林科学","ArticlePicture":[],"TitleCN":null,"AbstractTextCN":null,"PMCID":null,"EPubDate":"2025/3/15 0:00:00","PubModel":"Epub","JCR":"Q3","JCRName":"ZOOLOGY","Score":null,"Total":0}
引用次数: 0

Abstract

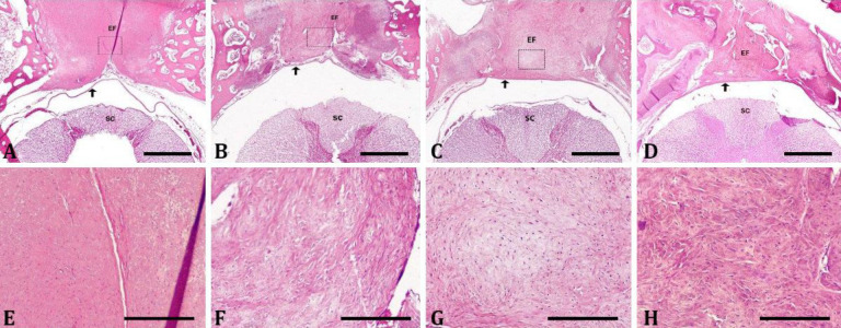
Significant advancements in imaging and surgical methodologies have led to more frequent performance of neurosurgical procedures such as laminectomy in both animal and human patients. Epidural fibrosis (EF) is defined as the excessive formation of scar tissue in the epidural space after lumbar laminectomy, often resulting in recurring postoperative pain. Given the association between postoperative hematoma accumulation at the laminectomy site and the development of EF, the present study aimed to evaluate the preventive impact of tranexamic acid (TXA), an antifibrinolytic agent with well-recognized hemostatic properties across various surgical fields. A rabbit laminectomy model was constructed to assess its effectiveness in reducing EF formation. A total number of 18 adult New Zealand White male rabbits were randomly divided into two groups: The control (saline) group and the treatment (topical TXA) group. Each rabbit underwent a two-level laminectomy at L3-L4. The treatment group received 5.00 mL of 100 mg mL-1 TXA solution applied topically to the laminectomy site, while the control group received 5.00 mL of saline. Postoperative evaluations included magnetic resonance imaging at week six to assess EF, followed by histopathological examinations to evaluate fibroblast cell density in scar tissue, EF grading and thickness of the dura mater. The analysis of magnetic resonance imaging and histopathologic data revealed significant differences between the two groups indicating that topical administration of TXA might be a promising approach for preventing EF.

Abstract Image

Abstract Image

Abstract Image

局部给药氨甲环酸预防术后硬膜外纤维化:来自兔椎板切除术模型的见解。
影像学和外科方法的重大进步导致神经外科手术更频繁地在动物和人类患者中进行椎板切除术。硬膜外纤维化(EF)被定义为腰椎椎板切除术后硬膜外间隙过度形成瘢痕组织,常导致术后复发性疼痛。鉴于椎板切除部位术后血肿积累与EF发生之间的关联,本研究旨在评估氨甲环酸(TXA)的预防作用。氨甲环酸是一种抗纤溶药物,在各种手术领域具有公认的止血特性。建立兔椎板切除术模型,评估其减少EF形成的有效性。选取成年新西兰白兔18只,随机分为对照组(生理盐水)和治疗组(外用TXA)。每只兔在L3-L4处行两节段椎板切除术。治疗组给予100 mg mL-1 TXA溶液5.00 mL局部涂抹于椎板切除部位,对照组给予生理盐水5.00 mL。术后评估包括第6周的磁共振成像以评估EF,随后进行组织病理学检查以评估瘢痕组织中的成纤维细胞密度、EF分级和硬脑膜厚度。磁共振成像和组织病理学数据分析显示两组之间的显著差异,表明局部给药TXA可能是一种有希望的预防EF的方法。
本文章由计算机程序翻译,如有差异,请以英文原文为准。
求助全文
约1分钟内获得全文 求助全文
来源期刊
Veterinary Research Forum
Veterinary Research Forum Veterinary-General Veterinary
CiteScore
1.50
自引率
0.00%
发文量
0
审稿时长
8 weeks
期刊介绍: Veterinary Research Forum (VRF) is a quarterly international journal committed to publish worldwide contributions on all aspects of veterinary science and medicine, including anatomy and histology, physiology and pharmacology, anatomic and clinical pathology, parasitology, microbiology, immunology and epidemiology, food hygiene, poultry science, fish and aquaculture, anesthesia and surgery, large and small animal internal medicine, large and small animal reproduction, biotechnology and diagnostic imaging of domestic, companion and farm animals.
×
引用
GB/T 7714-2015
复制
MLA
复制
APA
复制
导出至
BibTeX EndNote RefMan NoteFirst NoteExpress
×
提示
您的信息不完整,为了账户安全,请先补充。
现在去补充
×
提示
您因"违规操作"
具体请查看互助需知
我知道了
×
提示
确定
请完成安全验证×
copy
已复制链接
快去分享给好友吧!
我知道了
右上角分享
点击右上角分享
0
联系我们:info@booksci.cn Book学术提供免费学术资源搜索服务,方便国内外学者检索中英文文献。致力于提供最便捷和优质的服务体验。 Copyright © 2023 布克学术 All rights reserved.
京ICP备2023020795号-1
ghs 京公网安备 11010802042870号
Book学术文献互助
Book学术文献互助群
群 号:604180095
Book学术官方微信