The spectrum of radiological findings in neurocryptococcosis: case series and systematic review.

Q3 Medicine
Radiologia Brasileira Pub Date : 2025-05-01 eCollection Date: 2025-01-01 DOI:10.1590/0100-3984.2024.0107
Anna Luisa Silva Campos, Kezia de Souza Pinheiro, Matheus Leite Rassele, Marcos Rosa-Júnior
{"title":"The spectrum of radiological findings in neurocryptococcosis: case series and systematic review.","authors":"Anna Luisa Silva Campos, Kezia de Souza Pinheiro, Matheus Leite Rassele, Marcos Rosa-Júnior","doi":"10.1590/0100-3984.2024.0107","DOIUrl":null,"url":null,"abstract":"<p><p>This study involved a retrospective analysis of nine cases of neurocryptococcosis (eight from our institution and one from another institution) seen between May 2014 and May 2022, together with a systematic review of the literature indexed in the PubMed, Embase, and Lilacs databases. Clinical and radiological features of those cases were further refined via an additional comprehensive literature review. The following search string was employed: cryptococcosis AND central nervous system AND (magnetic resonance imaging OR X-ray computed tomography). The search was limited to articles published between July 1978 and May 2022. Two authors, working independently, searched for and selected studies that met the inclusion criteria, and another author reviewed conflicts in a blinded manner. We used Rayyan.ai software to organize the studies, and the review was structured in accordance with the 2020 Preferred Reporting Items for Systematic reviews and Meta-Analyses guidelines. Understanding the prevalence of different patterns of neurocryptococcosis is crucial for improving diagnosis and supporting decision-making in clinical practice. Our review of the literature demonstrated that imaging examinations are a valuable resource for early diagnosis, as well as for assessment of the initial extent and pattern of the disease.</p>","PeriodicalId":20842,"journal":{"name":"Radiologia Brasileira","volume":"58 ","pages":"e20240107"},"PeriodicalIF":0.0000,"publicationDate":"2025-05-01","publicationTypes":"Journal Article","fieldsOfStudy":null,"isOpenAccess":false,"openAccessPdf":"https://www.ncbi.nlm.nih.gov/pmc/articles/PMC12087350/pdf/","citationCount":"0","resultStr":null,"platform":"Semanticscholar","paperid":null,"PeriodicalName":"Radiologia Brasileira","FirstCategoryId":"1085","ListUrlMain":"https://doi.org/10.1590/0100-3984.2024.0107","RegionNum":0,"RegionCategory":null,"ArticlePicture":[],"TitleCN":null,"AbstractTextCN":null,"PMCID":null,"EPubDate":"2025/1/1 0:00:00","PubModel":"eCollection","JCR":"Q3","JCRName":"Medicine","Score":null,"Total":0}
引用次数: 0

Abstract

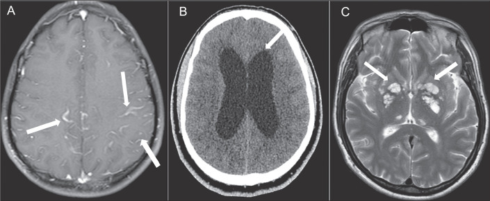
This study involved a retrospective analysis of nine cases of neurocryptococcosis (eight from our institution and one from another institution) seen between May 2014 and May 2022, together with a systematic review of the literature indexed in the PubMed, Embase, and Lilacs databases. Clinical and radiological features of those cases were further refined via an additional comprehensive literature review. The following search string was employed: cryptococcosis AND central nervous system AND (magnetic resonance imaging OR X-ray computed tomography). The search was limited to articles published between July 1978 and May 2022. Two authors, working independently, searched for and selected studies that met the inclusion criteria, and another author reviewed conflicts in a blinded manner. We used Rayyan.ai software to organize the studies, and the review was structured in accordance with the 2020 Preferred Reporting Items for Systematic reviews and Meta-Analyses guidelines. Understanding the prevalence of different patterns of neurocryptococcosis is crucial for improving diagnosis and supporting decision-making in clinical practice. Our review of the literature demonstrated that imaging examinations are a valuable resource for early diagnosis, as well as for assessment of the initial extent and pattern of the disease.

Abstract Image

Abstract Image

Abstract Image

神经隐球菌病的放射学表现谱:病例系列和系统回顾。
本研究回顾性分析了2014年5月至2022年5月期间9例神经隐球菌病病例(8例来自本机构,1例来自另一机构),并对PubMed、Embase和Lilacs数据库中检索的文献进行了系统综述。这些病例的临床和放射学特征通过额外的综合文献复习进一步完善。使用以下搜索字符串:隐球菌病和中枢神经系统和(磁共振成像或x射线计算机断层扫描)。搜索仅限于1978年7月至2022年5月之间发表的文章。两位作者独立工作,搜索和选择符合纳入标准的研究,另一位作者以盲法审查冲突。我们用的是Rayyan。ai软件组织研究,并根据2020年系统评价和荟萃分析指南的首选报告项目进行审查。了解不同类型神经隐球菌病的患病率对于提高临床诊断和支持决策至关重要。我们对文献的回顾表明,影像学检查是早期诊断以及评估疾病的初始范围和模式的宝贵资源。
本文章由计算机程序翻译,如有差异,请以英文原文为准。
求助全文
约1分钟内获得全文 求助全文
来源期刊
Radiologia Brasileira
Radiologia Brasileira Medicine-Radiology, Nuclear Medicine and Imaging
CiteScore
2.60
自引率
0.00%
发文量
75
审稿时长
28 weeks
×
引用
GB/T 7714-2015
复制
MLA
复制
APA
复制
导出至
BibTeX EndNote RefMan NoteFirst NoteExpress
×
提示
您的信息不完整,为了账户安全,请先补充。
现在去补充
×
提示
您因"违规操作"
具体请查看互助需知
我知道了
×
提示
确定
请完成安全验证×
copy
已复制链接
快去分享给好友吧!
我知道了
右上角分享
点击右上角分享
0
联系我们:info@booksci.cn Book学术提供免费学术资源搜索服务,方便国内外学者检索中英文文献。致力于提供最便捷和优质的服务体验。 Copyright © 2023 布克学术 All rights reserved.
京ICP备2023020795号-1
ghs 京公网安备 11010802042870号
Book学术文献互助
Book学术文献互助群
群 号:604180095
Book学术官方微信