Diagnosis, management, and outcome of heart failure in congenitally corrected transposition of the great arteries (ccTGA)-a narrative review.

IF 2.1 3区 医学 Q3 CARDIAC & CARDIOVASCULAR SYSTEMS
Cardiovascular diagnosis and therapy Pub Date : 2025-04-30 Epub Date: 2025-04-17 DOI:10.21037/cdt-24-334
Motoki Komori, Maria Luisa Benesch Vidal, Kenta Imai, Yuji Tominaga, Keisuke Shibagaki, Rieko Kutsuzawa, Shota Kawai, Kentaro Hayashi, Kenichi Kurosaki, Hideo Ohuchi, Kouichi Toda, Yoshikatsu Saiki, Christoph Sinning, Shigemitsu Iwai
{"title":"Diagnosis, management, and outcome of heart failure in congenitally corrected transposition of the great arteries (ccTGA)-a narrative review.","authors":"Motoki Komori, Maria Luisa Benesch Vidal, Kenta Imai, Yuji Tominaga, Keisuke Shibagaki, Rieko Kutsuzawa, Shota Kawai, Kentaro Hayashi, Kenichi Kurosaki, Hideo Ohuchi, Kouichi Toda, Yoshikatsu Saiki, Christoph Sinning, Shigemitsu Iwai","doi":"10.21037/cdt-24-334","DOIUrl":null,"url":null,"abstract":"<p><strong>Background and objective: </strong>Congenitally corrected transposition of the great arteries (ccTGA) remains a rare congenital disorder with a wide range of manifestations. The management of heart failure (HF) of the systemic right ventricle (RV), arrhythmias, heart block, and acquired cardiac conditions require a complex and multi-faceted approach. The objective of this manuscript is to present the current evidence regarding diagnostic, treatment, and management strategies for HF in ccTGA, including ventricular assist device (VAD) therapy and heart transplantation.</p><p><strong>Methods: </strong>A systematic review of the literature was conducted using PubMed, covering the period between 2010 and 2024. The search terms included \"heart failure\", \"ccTGA\", \"VAD\", \"heart transplantation\", and \"systemic RV failure\". Two clinical cases were included for illustrative purposes.</p><p><strong>Key content and findings: </strong>HF is a common occurrence in the context of ccTGA, primarily driven by progressive pressure and volume overload of the systemic RV, regurgitation of the systemic atrio-ventricular (AV) valve, and the development of arrhythmias, including complete heart block and (supra-)ventricular tachycardia. The use of HF medication is indicated for symptomatic patients, however, data on the efficacy of standardized HF medication remains limited. Timing of AV-valve replacement is essential to prevent further progression of HF.</p><p><strong>Conclusions: </strong>In ccTGA, the timing of surgery and interventional treatment approaches, the effect of pharmacological treatment in the context of HF, as well as the timing of initiation of a mechanical circulatory support, VAD and heart transplantation, are based on individualised consensus-level decisions. Optimal management remains a topic of debate due to the scarcity of outcome data. Future investigations should focus on identifying surrogate parameters for guiding treatment.</p>","PeriodicalId":9592,"journal":{"name":"Cardiovascular diagnosis and therapy","volume":"15 2","pages":"500-508"},"PeriodicalIF":2.1000,"publicationDate":"2025-04-30","publicationTypes":"Journal Article","fieldsOfStudy":null,"isOpenAccess":false,"openAccessPdf":"https://www.ncbi.nlm.nih.gov/pmc/articles/PMC12082246/pdf/","citationCount":"0","resultStr":null,"platform":"Semanticscholar","paperid":null,"PeriodicalName":"Cardiovascular diagnosis and therapy","FirstCategoryId":"3","ListUrlMain":"https://doi.org/10.21037/cdt-24-334","RegionNum":3,"RegionCategory":"医学","ArticlePicture":[],"TitleCN":null,"AbstractTextCN":null,"PMCID":null,"EPubDate":"2025/4/17 0:00:00","PubModel":"Epub","JCR":"Q3","JCRName":"CARDIAC & CARDIOVASCULAR SYSTEMS","Score":null,"Total":0}
引用次数: 0

Abstract

Background and objective: Congenitally corrected transposition of the great arteries (ccTGA) remains a rare congenital disorder with a wide range of manifestations. The management of heart failure (HF) of the systemic right ventricle (RV), arrhythmias, heart block, and acquired cardiac conditions require a complex and multi-faceted approach. The objective of this manuscript is to present the current evidence regarding diagnostic, treatment, and management strategies for HF in ccTGA, including ventricular assist device (VAD) therapy and heart transplantation.

Methods: A systematic review of the literature was conducted using PubMed, covering the period between 2010 and 2024. The search terms included "heart failure", "ccTGA", "VAD", "heart transplantation", and "systemic RV failure". Two clinical cases were included for illustrative purposes.

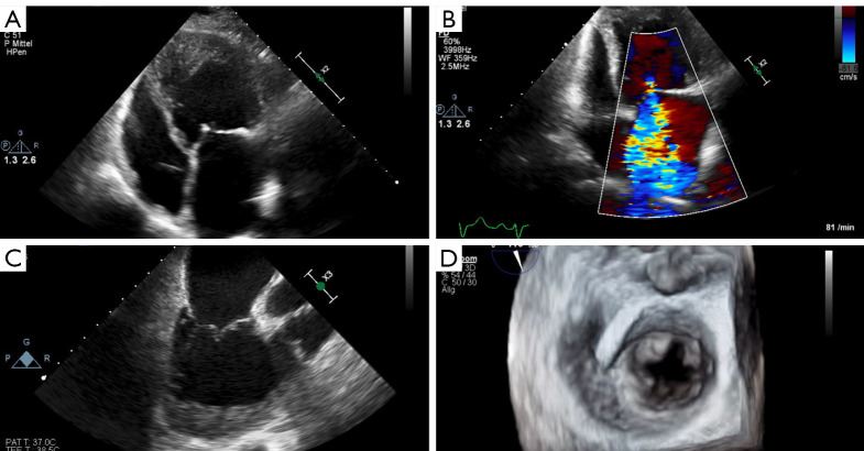
Key content and findings: HF is a common occurrence in the context of ccTGA, primarily driven by progressive pressure and volume overload of the systemic RV, regurgitation of the systemic atrio-ventricular (AV) valve, and the development of arrhythmias, including complete heart block and (supra-)ventricular tachycardia. The use of HF medication is indicated for symptomatic patients, however, data on the efficacy of standardized HF medication remains limited. Timing of AV-valve replacement is essential to prevent further progression of HF.

Conclusions: In ccTGA, the timing of surgery and interventional treatment approaches, the effect of pharmacological treatment in the context of HF, as well as the timing of initiation of a mechanical circulatory support, VAD and heart transplantation, are based on individualised consensus-level decisions. Optimal management remains a topic of debate due to the scarcity of outcome data. Future investigations should focus on identifying surrogate parameters for guiding treatment.

Abstract Image

先天性纠正性大动脉转位(ccTGA)心力衰竭的诊断、管理和结果——叙述性回顾。
背景和目的:先天性纠正性大动脉转位(ccTGA)是一种罕见的先天性疾病,具有广泛的表现。系统性右心室(RV)心力衰竭(HF)、心律失常、心脏传导阻滞和获得性心脏病的治疗需要一个复杂和多方面的方法。本文的目的是介绍ccTGA中HF的诊断、治疗和管理策略的最新证据,包括心室辅助装置(VAD)治疗和心脏移植。方法:通过PubMed对2010 - 2024年间的相关文献进行系统综述。搜索词包括“心力衰竭”、“ccTGA”、“VAD”、“心脏移植”和“系统性RV衰竭”。为了说明目的,我们包括了两个临床病例。关键内容和发现:心衰在ccTGA的情况下很常见,主要由全身性右室进行性压力和容积过载、全身性房室(AV)瓣膜返流和心律失常的发展(包括完全性心脏传导阻滞和(上)室速)驱动。心衰药物的使用适用于有症状的患者,然而,关于标准化心衰药物疗效的数据仍然有限。av瓣膜置换术的时机对于防止心衰的进一步发展至关重要。结论:在ccTGA中,手术和介入治疗方法的时机,心衰情况下药物治疗的效果,以及机械循环支持、VAD和心脏移植的启动时间,都是基于个体化共识水平的决定。由于缺乏结果数据,最佳管理仍然是一个有争议的话题。未来的研究应侧重于确定替代参数以指导治疗。
本文章由计算机程序翻译,如有差异,请以英文原文为准。
求助全文
约1分钟内获得全文 求助全文
来源期刊
Cardiovascular diagnosis and therapy
Cardiovascular diagnosis and therapy Medicine-Cardiology and Cardiovascular Medicine
CiteScore
4.90
自引率
4.20%
发文量
45
期刊介绍: The journal ''Cardiovascular Diagnosis and Therapy'' (Print ISSN: 2223-3652; Online ISSN: 2223-3660) accepts basic and clinical science submissions related to Cardiovascular Medicine and Surgery. The mission of the journal is the rapid exchange of scientific information between clinicians and scientists worldwide. To reach this goal, the journal will focus on novel media, using a web-based, digital format in addition to traditional print-version. This includes on-line submission, review, publication, and distribution. The digital format will also allow submission of extensive supporting visual material, both images and video. The website www.thecdt.org will serve as the central hub and also allow posting of comments and on-line discussion. The web-site of the journal will be linked to a number of international web-sites (e.g. www.dxy.cn), which will significantly expand the distribution of its contents.
×
引用
GB/T 7714-2015
复制
MLA
复制
APA
复制
导出至
BibTeX EndNote RefMan NoteFirst NoteExpress
×
提示
您的信息不完整,为了账户安全,请先补充。
现在去补充
×
提示
您因"违规操作"
具体请查看互助需知
我知道了
×
提示
确定
请完成安全验证×
copy
已复制链接
快去分享给好友吧!
我知道了
右上角分享
点击右上角分享
0
联系我们:info@booksci.cn Book学术提供免费学术资源搜索服务,方便国内外学者检索中英文文献。致力于提供最便捷和优质的服务体验。 Copyright © 2023 布克学术 All rights reserved.
京ICP备2023020795号-1
ghs 京公网安备 11010802042870号
Book学术文献互助
Book学术文献互助群
群 号:604180095
Book学术官方微信