Pipeline flow diverter and transvenous coiling for the treatment of direct carotid cavernous sinus fistulae: a retrospective case series.

IF 1.5 Q3 CARDIAC & CARDIOVASCULAR SYSTEMS
Omar Abu-Fares, Antonis Adamou, Heinrich Lanfermann, Joachim K Krauss, Shadi Al-Afif, Katja Döring
{"title":"Pipeline flow diverter and transvenous coiling for the treatment of direct carotid cavernous sinus fistulae: a retrospective case series.","authors":"Omar Abu-Fares, Antonis Adamou, Heinrich Lanfermann, Joachim K Krauss, Shadi Al-Afif, Katja Döring","doi":"10.1186/s42155-025-00566-7","DOIUrl":null,"url":null,"abstract":"<p><strong>Background: </strong>Carotid cavernous fistulae (CCF) are pathological connections between the carotid arteries and the cavernous sinus. Endovascular procedures are the mainstay treatment for CCF. The aim of this report is to evaluate the efficacy and safety of the combined use of the Pipeline Vantage (PV) flow diverter and transvenous coil embolization in the treatment of CCF.</p><p><strong>Methods: </strong>Retrospective,monocentric analysis of three patients who underwent neurointerventional treatment of clinically symptomatic CCF using a combination of transvenous coil embolization and flow diverter Implantation. Clinical data, the etiology of the CCF and clinical and radiological follow up were evaluated.</p><p><strong>Results: </strong>Clinical and radiological follow-up were available at 3 and 12 months. One patient experienced clinical improvement immediatley after the interventions. The other two patients improved within one year after treatment. No symptomatic complications were recorded. One year after the intervention complete CCF occulsion was documented in all cases.</p><p><strong>Conclusions: </strong>We report an initial experience for the treatment of direct CCF using the combination of a new generation Pipeline FD and transvenous coil embolization. The high treatment success rate and low complication rate are encouraging.</p>","PeriodicalId":52351,"journal":{"name":"CVIR Endovascular","volume":"8 1","pages":"44"},"PeriodicalIF":1.5000,"publicationDate":"2025-05-17","publicationTypes":"Journal Article","fieldsOfStudy":null,"isOpenAccess":false,"openAccessPdf":"https://www.ncbi.nlm.nih.gov/pmc/articles/PMC12085412/pdf/","citationCount":"0","resultStr":null,"platform":"Semanticscholar","paperid":null,"PeriodicalName":"CVIR Endovascular","FirstCategoryId":"1085","ListUrlMain":"https://doi.org/10.1186/s42155-025-00566-7","RegionNum":0,"RegionCategory":null,"ArticlePicture":[],"TitleCN":null,"AbstractTextCN":null,"PMCID":null,"EPubDate":"","PubModel":"","JCR":"Q3","JCRName":"CARDIAC & CARDIOVASCULAR SYSTEMS","Score":null,"Total":0}
引用次数: 0

Abstract

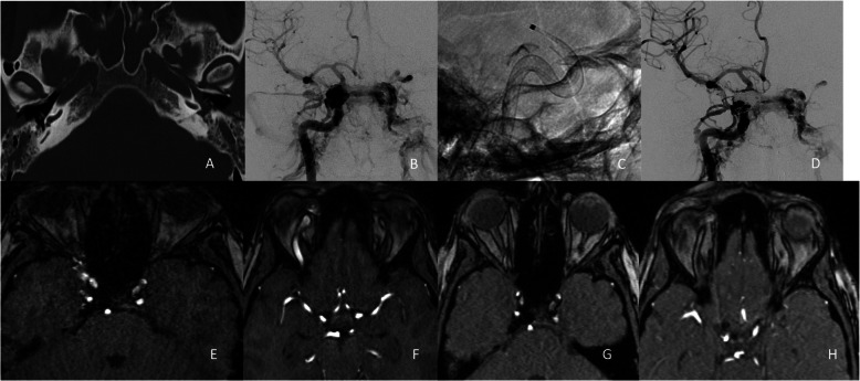
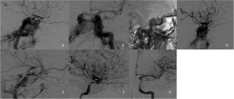
Background: Carotid cavernous fistulae (CCF) are pathological connections between the carotid arteries and the cavernous sinus. Endovascular procedures are the mainstay treatment for CCF. The aim of this report is to evaluate the efficacy and safety of the combined use of the Pipeline Vantage (PV) flow diverter and transvenous coil embolization in the treatment of CCF.

Methods: Retrospective,monocentric analysis of three patients who underwent neurointerventional treatment of clinically symptomatic CCF using a combination of transvenous coil embolization and flow diverter Implantation. Clinical data, the etiology of the CCF and clinical and radiological follow up were evaluated.

Results: Clinical and radiological follow-up were available at 3 and 12 months. One patient experienced clinical improvement immediatley after the interventions. The other two patients improved within one year after treatment. No symptomatic complications were recorded. One year after the intervention complete CCF occulsion was documented in all cases.

Conclusions: We report an initial experience for the treatment of direct CCF using the combination of a new generation Pipeline FD and transvenous coil embolization. The high treatment success rate and low complication rate are encouraging.

Abstract Image

Abstract Image

Abstract Image

管道分流和经静脉盘绕治疗颈动脉海绵窦瘘:回顾性病例系列。
背景:颈动脉海绵窦瘘(CCF)是颈动脉与海绵窦之间的病理连接。血管内手术是CCF的主要治疗方法。本报告的目的是评估联合使用PV分流器和经静脉线圈栓塞治疗CCF的有效性和安全性。方法:回顾性,单中心分析3例经静脉线圈栓塞和血流分流器植入联合神经介入治疗临床症状性CCF的患者。对临床资料、CCF病因、临床及影像学随访进行评价。结果:3个月和12个月的临床和影像学随访。一名患者在干预后立即经历了临床改善。另外两名患者在治疗后一年内好转。无症状性并发症记录。干预一年后,所有病例均有CCF完全闭塞的记录。结论:我们报告了使用新一代管道FD和经静脉线圈栓塞联合治疗直接CCF的初步经验。治疗成功率高,并发症发生率低,令人鼓舞。
本文章由计算机程序翻译,如有差异,请以英文原文为准。
求助全文
约1分钟内获得全文 求助全文
来源期刊
CVIR Endovascular
CVIR Endovascular Medicine-Radiology, Nuclear Medicine and Imaging
CiteScore
2.30
自引率
0.00%
发文量
59
×
引用
GB/T 7714-2015
复制
MLA
复制
APA
复制
导出至
BibTeX EndNote RefMan NoteFirst NoteExpress
×
提示
您的信息不完整,为了账户安全,请先补充。
现在去补充
×
提示
您因"违规操作"
具体请查看互助需知
我知道了
×
提示
确定
请完成安全验证×
copy
已复制链接
快去分享给好友吧!
我知道了
右上角分享
点击右上角分享
0
联系我们:info@booksci.cn Book学术提供免费学术资源搜索服务,方便国内外学者检索中英文文献。致力于提供最便捷和优质的服务体验。 Copyright © 2023 布克学术 All rights reserved.
京ICP备2023020795号-1
ghs 京公网安备 11010802042870号
Book学术文献互助
Book学术文献互助群
群 号:604180095
Book学术官方微信