Transient shortening of activated partial thromboplastin time and prothrombin time associated with transient global amnesia.

Postepy psychiatrii neurologii Pub Date : 2025-03-01 Epub Date: 2025-04-30 DOI:10.5114/ppn.2025.149970
Dariusz Dziubek, Karolina Dziubek, Marcelina Stodolak
{"title":"Transient shortening of activated partial thromboplastin time and prothrombin time associated with transient global amnesia.","authors":"Dariusz Dziubek, Karolina Dziubek, Marcelina Stodolak","doi":"10.5114/ppn.2025.149970","DOIUrl":null,"url":null,"abstract":"<p><strong>Purpose: </strong>Transient global amnesia (TGA) manifests as acute short-term memory disturbances lasting up to 24 hours. The pathophysiology of the disease remains unclear. This paper presents the case of a patient with recurrent TGA, in whom a shortening of coagulation times and high blood pressure peaks were observed during each acute phase of the disease, suggesting transient increased blood coagulability and transient dysregulation of autonomic blood pressure control.</p><p><strong>Case description: </strong>A 59-year-old patient with medical history of migraine and arterial hypertension was diagnosed with recurrent TGA (two episodes within a year). Each time, upon admission to hospital, high blood pressure peaks were recorded and activated partial thromboplastin time (aPTT) and prothrombin time (PT) were shortened with gradual normalization over the following days.</p><p><strong>Comment: </strong>The shortening of aPTT and PT may suggest a relationship between TGA and transient blood coagulation disorders in the acute phase.</p>","PeriodicalId":74481,"journal":{"name":"Postepy psychiatrii neurologii","volume":"34 1","pages":"54-57"},"PeriodicalIF":0.0000,"publicationDate":"2025-03-01","publicationTypes":"Journal Article","fieldsOfStudy":null,"isOpenAccess":false,"openAccessPdf":"https://www.ncbi.nlm.nih.gov/pmc/articles/PMC12076132/pdf/","citationCount":"0","resultStr":null,"platform":"Semanticscholar","paperid":null,"PeriodicalName":"Postepy psychiatrii neurologii","FirstCategoryId":"1085","ListUrlMain":"https://doi.org/10.5114/ppn.2025.149970","RegionNum":0,"RegionCategory":null,"ArticlePicture":[],"TitleCN":null,"AbstractTextCN":null,"PMCID":null,"EPubDate":"2025/4/30 0:00:00","PubModel":"Epub","JCR":"","JCRName":"","Score":null,"Total":0}
引用次数: 0

Abstract

Purpose: Transient global amnesia (TGA) manifests as acute short-term memory disturbances lasting up to 24 hours. The pathophysiology of the disease remains unclear. This paper presents the case of a patient with recurrent TGA, in whom a shortening of coagulation times and high blood pressure peaks were observed during each acute phase of the disease, suggesting transient increased blood coagulability and transient dysregulation of autonomic blood pressure control.

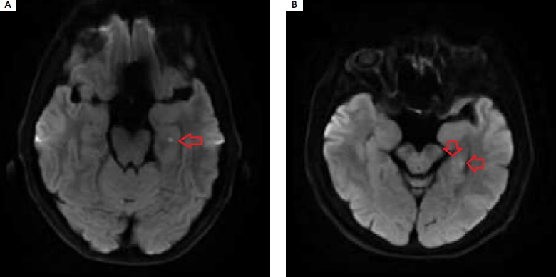
Case description: A 59-year-old patient with medical history of migraine and arterial hypertension was diagnosed with recurrent TGA (two episodes within a year). Each time, upon admission to hospital, high blood pressure peaks were recorded and activated partial thromboplastin time (aPTT) and prothrombin time (PT) were shortened with gradual normalization over the following days.

Comment: The shortening of aPTT and PT may suggest a relationship between TGA and transient blood coagulation disorders in the acute phase.

Abstract Image

激活部分凝血活酶时间和凝血酶原时间的短暂缩短与短暂性全面性遗忘有关。
目的:短暂性全局性遗忘症(TGA)表现为持续24小时的急性短期记忆障碍。该疾病的病理生理机制尚不清楚。本文报道1例复发性TGA患者,其在疾病的每个急性期均观察到凝血时间缩短和血压峰值增高,提示短暂性血液凝固性增高和短暂性自主血压控制失调。病例描述:患者59岁,既往有偏头痛和动脉高血压病史,诊断为复发性TGA(一年内两次发作)。每次入院时,记录高血压峰值,激活的部分凝血活素时间(aPTT)和凝血酶原时间(PT)缩短,随后几天逐渐恢复正常。评论:aPTT和PT的缩短可能提示TGA与急性期一过性凝血功能障碍有关。
本文章由计算机程序翻译,如有差异,请以英文原文为准。
求助全文
约1分钟内获得全文 求助全文
来源期刊
自引率
0.00%
发文量
0
×
引用
GB/T 7714-2015
复制
MLA
复制
APA
复制
导出至
BibTeX EndNote RefMan NoteFirst NoteExpress
×
提示
您的信息不完整,为了账户安全,请先补充。
现在去补充
×
提示
您因"违规操作"
具体请查看互助需知
我知道了
×
提示
确定
请完成安全验证×
copy
已复制链接
快去分享给好友吧!
我知道了
右上角分享
点击右上角分享
0
联系我们:info@booksci.cn Book学术提供免费学术资源搜索服务,方便国内外学者检索中英文文献。致力于提供最便捷和优质的服务体验。 Copyright © 2023 布克学术 All rights reserved.
京ICP备2023020795号-1
ghs 京公网安备 11010802042870号
Book学术文献互助
Book学术文献互助群
群 号:604180095
Book学术官方微信