Perıostın and fıbronectın ın nasal lesıons: key players ın polyps and ınverted papıllomas.

IF 1.3 4区 医学 Q3 MEDICINE, GENERAL & INTERNAL
Colombia Medica Pub Date : 2024-12-30 eCollection Date: 2024-10-01 DOI:10.25100/cm.v55i4.6411
Mehmet Birinci, Oğuzhan Okçu, Tuğba Yemiş, Oğuz Gül, Suat Terzi, Metin Çeliker, Özlem Çelebi Erdivanlı, Tolga Mercantepe, Levent Tümkaya, Başar Erdivanlı, Engin Dursun
{"title":"Perıostın and fıbronectın ın nasal lesıons: key players ın polyps and ınverted papıllomas.","authors":"Mehmet Birinci, Oğuzhan Okçu, Tuğba Yemiş, Oğuz Gül, Suat Terzi, Metin Çeliker, Özlem Çelebi Erdivanlı, Tolga Mercantepe, Levent Tümkaya, Başar Erdivanlı, Engin Dursun","doi":"10.25100/cm.v55i4.6411","DOIUrl":null,"url":null,"abstract":"<p><strong>Background: </strong>Sinonasal lesions are common benign masses with overlapping clinical and histopathological features. Extracellular matrix proteins such as periostin, fibronectin, and tenascin-C play key roles in tissue remodeling and inflammation, yet their distinct expression profiles in these lesions remain poorly defined.</p><p><strong>Aim: </strong>This study aimed to compare the immunohistochemical staining patterns of periostin, fibronectin, and tenascin-C in sinonasal lesions to elucidate their roles in pathogenesis and enhance differential diagnosis.</p><p><strong>Methods: </strong>In this retrospective study, pathological specimens from 70 patients who underwent surgery for sinonasal polyps were analyzed. Immunohistochemical expression of periostin, fibronectin, and tenascin-C was assessed separately in epithelial and stromal compartments using a semi-quantitative scoring system. Associations between staining patterns and lesion types were evaluated using multinomial logistic regression.</p><p><strong>Results: </strong>The cohort had a male-to-female ratio of 5:2 with a mean age of approximately 40 years. Nasal polyps demonstrated significantly higher stromal periostin staining compared to both antrochoanal polyps and inverted papillomas. Conversely, antrochoanal polyps exhibited significantly elevated epithelial periostin expression relative to inverted papillomas. Fibronectin expression was markedly increased in nasal polyps, especially in the stroma, supporting its role in inflammatory tissue remodeling. Tenascin-C expression did not differ significantly among the lesion types.</p><p><strong>Conclusion: </strong>Differential expression of periostin and fibronectin suggests distinct pathogenic mechanisms in sinonasal lesions. The compartment-specific staining patterns of periostin, along with the prominent fibronectin expression in nasal polyps, suggest these biomarkers could serve as valuable diagnostic tools and potential therapeutic targets. Further research is needed to explore these pathways in sinonasal disease management.</p>","PeriodicalId":50667,"journal":{"name":"Colombia Medica","volume":"55 4","pages":"e2026411"},"PeriodicalIF":1.3000,"publicationDate":"2024-12-30","publicationTypes":"Journal Article","fieldsOfStudy":null,"isOpenAccess":false,"openAccessPdf":"https://www.ncbi.nlm.nih.gov/pmc/articles/PMC12080358/pdf/","citationCount":"0","resultStr":null,"platform":"Semanticscholar","paperid":null,"PeriodicalName":"Colombia Medica","FirstCategoryId":"3","ListUrlMain":"https://doi.org/10.25100/cm.v55i4.6411","RegionNum":4,"RegionCategory":"医学","ArticlePicture":[],"TitleCN":null,"AbstractTextCN":null,"PMCID":null,"EPubDate":"2024/10/1 0:00:00","PubModel":"eCollection","JCR":"Q3","JCRName":"MEDICINE, GENERAL & INTERNAL","Score":null,"Total":0}
引用次数: 0

Abstract

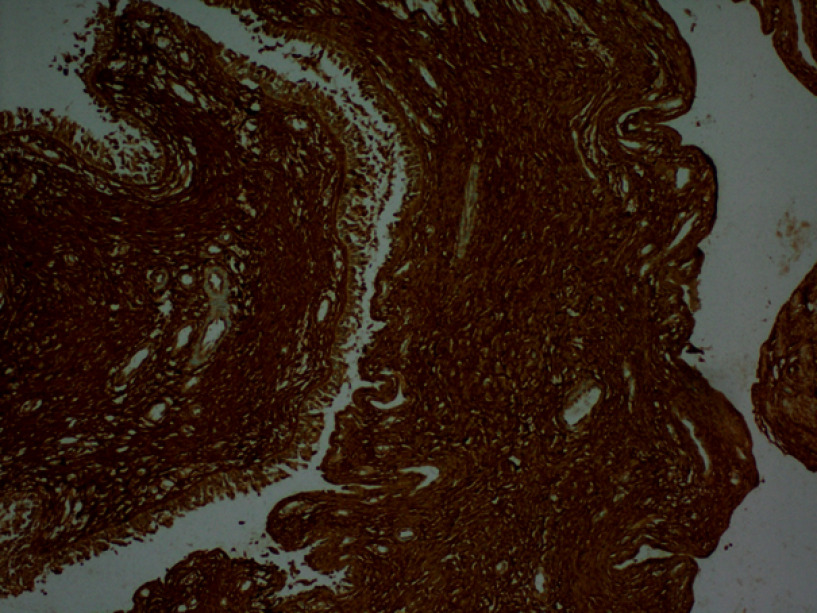
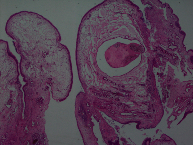
Background: Sinonasal lesions are common benign masses with overlapping clinical and histopathological features. Extracellular matrix proteins such as periostin, fibronectin, and tenascin-C play key roles in tissue remodeling and inflammation, yet their distinct expression profiles in these lesions remain poorly defined.

Aim: This study aimed to compare the immunohistochemical staining patterns of periostin, fibronectin, and tenascin-C in sinonasal lesions to elucidate their roles in pathogenesis and enhance differential diagnosis.

Methods: In this retrospective study, pathological specimens from 70 patients who underwent surgery for sinonasal polyps were analyzed. Immunohistochemical expression of periostin, fibronectin, and tenascin-C was assessed separately in epithelial and stromal compartments using a semi-quantitative scoring system. Associations between staining patterns and lesion types were evaluated using multinomial logistic regression.

Results: The cohort had a male-to-female ratio of 5:2 with a mean age of approximately 40 years. Nasal polyps demonstrated significantly higher stromal periostin staining compared to both antrochoanal polyps and inverted papillomas. Conversely, antrochoanal polyps exhibited significantly elevated epithelial periostin expression relative to inverted papillomas. Fibronectin expression was markedly increased in nasal polyps, especially in the stroma, supporting its role in inflammatory tissue remodeling. Tenascin-C expression did not differ significantly among the lesion types.

Conclusion: Differential expression of periostin and fibronectin suggests distinct pathogenic mechanisms in sinonasal lesions. The compartment-specific staining patterns of periostin, along with the prominent fibronectin expression in nasal polyps, suggest these biomarkers could serve as valuable diagnostic tools and potential therapeutic targets. Further research is needed to explore these pathways in sinonasal disease management.

Abstract Image

Abstract Image

Abstract Image

背景:鼻窦病变是常见的良性肿块,具有重叠的临床和组织病理特征。细胞外基质蛋白如骨膜蛋白、纤维连接蛋白和腱蛋白c在组织重塑和炎症中发挥关键作用,但它们在这些病变中的独特表达谱仍不清楚。目的:本研究旨在比较鼻窦病变中骨膜蛋白、纤维连接蛋白和腱连接蛋白c的免疫组化染色模式,以阐明其在发病机制中的作用并加强鉴别诊断。方法:回顾性分析70例鼻窦息肉手术患者的病理标本。使用半定量评分系统分别评估上皮和间质室中骨膜蛋白、纤维连接蛋白和腱连接蛋白c的免疫组织化学表达。使用多项逻辑回归评估染色模式和病变类型之间的关联。结果:该队列的男女比例为5:2,平均年龄约为40岁。鼻息肉的间质骨膜蛋白染色明显高于鼻后鼻息肉和内翻性乳头状瘤。相反,相对于内翻性乳头状瘤,鼻后鼻息肉表现出明显升高的上皮骨膜蛋白表达。纤维连接蛋白的表达在鼻息肉中显著增加,特别是在基质中,支持其在炎症组织重塑中的作用。Tenascin-C表达在不同病变类型间无显著差异。结论:骨膜蛋白和纤维连接蛋白的差异表达提示鼻窦病变的不同致病机制。鼻息肉中骨膜蛋白的区室特异性染色模式以及纤维连接蛋白的显著表达表明,这些生物标志物可以作为有价值的诊断工具和潜在的治疗靶点。需要进一步的研究来探索这些途径在鼻窦疾病管理中的作用。
本文章由计算机程序翻译,如有差异,请以英文原文为准。
求助全文
约1分钟内获得全文 求助全文
来源期刊
Colombia Medica
Colombia Medica MEDICINE, GENERAL & INTERNAL-
CiteScore
2.00
自引率
0.00%
发文量
11
审稿时长
>12 weeks
期刊介绍: Colombia Médica is an international peer-reviewed medical journal that will consider any original contribution that advances or illuminates medical science or practice, or that educates to the journal''s’ readers.The journal is owned by a non-profit organization, Universidad del Valle, and serves the scientific community strictly following the International Committee of Medical Journal Editors (ICMJE) and the World Association of Medical Editors (WAME) recommendations of policies on publication ethics policies for medical journals. Colombia Médica publishes original research articles, viewpoints and reviews in all areas of medical science and clinical practice. However, Colombia Médica gives the highest priority to papers on general and internal medicine, public health and primary health care.
×
引用
GB/T 7714-2015
复制
MLA
复制
APA
复制
导出至
BibTeX EndNote RefMan NoteFirst NoteExpress
×
提示
您的信息不完整,为了账户安全,请先补充。
现在去补充
×
提示
您因"违规操作"
具体请查看互助需知
我知道了
×
提示
确定
请完成安全验证×
copy
已复制链接
快去分享给好友吧!
我知道了
右上角分享
点击右上角分享
0
联系我们:info@booksci.cn Book学术提供免费学术资源搜索服务,方便国内外学者检索中英文文献。致力于提供最便捷和优质的服务体验。 Copyright © 2023 布克学术 All rights reserved.
京ICP备2023020795号-1
ghs 京公网安备 11010802042870号
Book学术文献互助
Book学术文献互助群
群 号:604180095
Book学术官方微信