Clinical Management of Peri-Aortitis Following Endovascular Aortic Repair for Abdominal Aortic Aneurysm.

IF 0.6 Q4 PERIPHERAL VASCULAR DISEASE
Annals of vascular diseases Pub Date : 2025-01-01 Epub Date: 2025-05-13 DOI:10.3400/avd.oa.24-00143
Yuriko Takeuchi, Noriyasu Morikage, Ryunosuke Sakamoto, Takahiro Mizoguchi, Makoto Samura, Takasuke Harada, Hiroshi Kurazumi, Ryo Suzuki, Kotaro Suehiro, Kimikazu Hamano
{"title":"Clinical Management of Peri-Aortitis Following Endovascular Aortic Repair for Abdominal Aortic Aneurysm.","authors":"Yuriko Takeuchi, Noriyasu Morikage, Ryunosuke Sakamoto, Takahiro Mizoguchi, Makoto Samura, Takasuke Harada, Hiroshi Kurazumi, Ryo Suzuki, Kotaro Suehiro, Kimikazu Hamano","doi":"10.3400/avd.oa.24-00143","DOIUrl":null,"url":null,"abstract":"<p><p><b>Objectives:</b> Peri-aortitis following endovascular aneurysm repair (EVAR) is a rare phenomenon with unclear pathogenesis. In this study, we investigated its clinical features and sac prognosis. <b>Methods:</b> A retrospective analysis was conducted on 1369 EVAR. Peri-aortitis was defined using post-EVAR computed tomography. Clinical and imaging data were assessed. <b>Results:</b> Peri-aortitis following EVAR was identified in 12 patients (0.89%) with a mean age of 74 ± 8.9 years; 83.3% were male, and 41.7% had allergic or autoimmune histories. There were eight symptomatic cases (66.7%), including seven with fever, three with back or abdominal pain, and one with hydronephrosis. Precautionary antibiotic treatment was administered in five febrile cases. Although persistent and recurrent inflammation was observed in two cases (16.7%) each, inflammation resolved spontaneously in seven patients (58.3%). One (8.3%) needed steroid therapy for severe back pain. Aneurysm shrinkage was observed in seven cases (58.3%), while enlargement was noted in one case (8.3%) with type II endoleak. No correlation was found between aneurysm growth and peri-aortitis development. <b>Conclusions:</b> Peri-aortitis following EVAR may present significant challenges, including differentiation from infection, management of symptomatic cases requiring medical therapy, and addressing recurrences. Accurate diagnosis, individualized treatment, and meticulous follow-up are essential for favorable outcomes.</p>","PeriodicalId":7995,"journal":{"name":"Annals of vascular diseases","volume":"18 1","pages":""},"PeriodicalIF":0.6000,"publicationDate":"2025-01-01","publicationTypes":"Journal Article","fieldsOfStudy":null,"isOpenAccess":false,"openAccessPdf":"https://www.ncbi.nlm.nih.gov/pmc/articles/PMC12078785/pdf/","citationCount":"0","resultStr":null,"platform":"Semanticscholar","paperid":null,"PeriodicalName":"Annals of vascular diseases","FirstCategoryId":"1085","ListUrlMain":"https://doi.org/10.3400/avd.oa.24-00143","RegionNum":0,"RegionCategory":null,"ArticlePicture":[],"TitleCN":null,"AbstractTextCN":null,"PMCID":null,"EPubDate":"2025/5/13 0:00:00","PubModel":"Epub","JCR":"Q4","JCRName":"PERIPHERAL VASCULAR DISEASE","Score":null,"Total":0}
引用次数: 0

Abstract

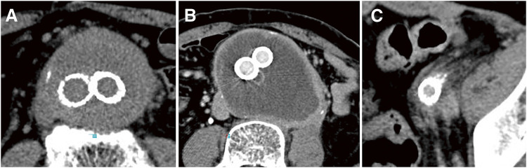
Objectives: Peri-aortitis following endovascular aneurysm repair (EVAR) is a rare phenomenon with unclear pathogenesis. In this study, we investigated its clinical features and sac prognosis. Methods: A retrospective analysis was conducted on 1369 EVAR. Peri-aortitis was defined using post-EVAR computed tomography. Clinical and imaging data were assessed. Results: Peri-aortitis following EVAR was identified in 12 patients (0.89%) with a mean age of 74 ± 8.9 years; 83.3% were male, and 41.7% had allergic or autoimmune histories. There were eight symptomatic cases (66.7%), including seven with fever, three with back or abdominal pain, and one with hydronephrosis. Precautionary antibiotic treatment was administered in five febrile cases. Although persistent and recurrent inflammation was observed in two cases (16.7%) each, inflammation resolved spontaneously in seven patients (58.3%). One (8.3%) needed steroid therapy for severe back pain. Aneurysm shrinkage was observed in seven cases (58.3%), while enlargement was noted in one case (8.3%) with type II endoleak. No correlation was found between aneurysm growth and peri-aortitis development. Conclusions: Peri-aortitis following EVAR may present significant challenges, including differentiation from infection, management of symptomatic cases requiring medical therapy, and addressing recurrences. Accurate diagnosis, individualized treatment, and meticulous follow-up are essential for favorable outcomes.

Abstract Image

Abstract Image

腹主动脉瘤血管内修复术后主动脉周围炎的临床处理。
目的:血管内动脉瘤修复后的主动脉周围炎是一种罕见的现象,其发病机制尚不清楚。在本研究中,我们探讨了其临床特征和囊腔预后。方法:对1369例EVAR进行回顾性分析。采用evar后计算机断层扫描确定主动脉周围炎。评估临床和影像学资料。结果:12例(0.89%)患者出现EVAR后动脉周围炎,平均年龄74±8.9岁;83.3%为男性,41.7%有过敏或自身免疫性病史。有症状者8例(66.7%),其中发热7例,腰、腹痛3例,肾积水1例。对5例发热病例给予预防性抗生素治疗。虽然在2例(16.7%)患者中观察到持续和复发性炎症,但在7例(58.3%)患者中炎症自行消退。1例(8.3%)因严重背痛需要类固醇治疗。动脉瘤缩小7例(58.3%),增大1例(8.3%)伴II型内漏。动脉瘤生长与动脉周围炎发展无相关性。结论:EVAR后的主动脉周围炎可能会带来重大挑战,包括与感染的区分,需要药物治疗的症状病例的管理以及复发的处理。准确的诊断、个体化治疗和细致的随访是获得良好结果的必要条件。
本文章由计算机程序翻译,如有差异,请以英文原文为准。
求助全文
约1分钟内获得全文 求助全文
来源期刊
Annals of vascular diseases
Annals of vascular diseases PERIPHERAL VASCULAR DISEASE-
自引率
0.00%
发文量
41
×
引用
GB/T 7714-2015
复制
MLA
复制
APA
复制
导出至
BibTeX EndNote RefMan NoteFirst NoteExpress
×
提示
您的信息不完整,为了账户安全,请先补充。
现在去补充
×
提示
您因"违规操作"
具体请查看互助需知
我知道了
×
提示
确定
请完成安全验证×
copy
已复制链接
快去分享给好友吧!
我知道了
右上角分享
点击右上角分享
0
联系我们:info@booksci.cn Book学术提供免费学术资源搜索服务,方便国内外学者检索中英文文献。致力于提供最便捷和优质的服务体验。 Copyright © 2023 布克学术 All rights reserved.
京ICP备2023020795号-1
ghs 京公网安备 11010802042870号
Book学术文献互助
Book学术文献互助群
群 号:604180095
Book学术官方微信