Microvascular and Ultrastructural Changes of the Retina and Choroid in Patients with Sickle Cell Anemia.

Q3 Medicine
Oğuzhan Oruz, Süheyl Asma, Aysel Pelit, Çiğdem Gereklioğlu, Selçuk Sızmaz, Astan İbayev, Handan Canan, Osman Şahin, Mutlu Kasar, Can Boğa, Caner İncekaş
{"title":"Microvascular and Ultrastructural Changes of the Retina and Choroid in Patients with Sickle Cell Anemia.","authors":"Oğuzhan Oruz, Süheyl Asma, Aysel Pelit, Çiğdem Gereklioğlu, Selçuk Sızmaz, Astan İbayev, Handan Canan, Osman Şahin, Mutlu Kasar, Can Boğa, Caner İncekaş","doi":"10.4274/tjo.galenos.2025.97792","DOIUrl":null,"url":null,"abstract":"<p><strong>Objectives: </strong>To determine the microvascular changes of the retina and choroid in sickle cell anemia (SCA) patients and to investigate the relationship between the severity of sickle cell retinopathy and sickle cell maculopathy (SCM).</p><p><strong>Materials and methods: </strong>In this cross-sectional study, 78 eyes of 39 patients with SCA were included in the patient group and 68 eyes of 34 healthy participants were included in the control group. Differences in foveal avascular zone (FAZ), retinal and subfoveal choroidal thickness (SFCT), and choroidal vascularity index (CVI) between the patient group and the control group were evaluated by swept source optical coherence tomography (OCT) and OCT angiography (OCTA) imaging. In addition, systemic and biological parameters were compared in patients with and without SCM.</p><p><strong>Results: </strong>SCM was detected in 16 eyes of 8 patients. Proliferative sickle cell retinopathy (PSCR) was present in 10 patients. In logistic regression analysis, PSCR was found to be a risk factor for the development of SCM (p=0.015, odds ratio: 17.25, 95% confidence interval: 1.73-172.02). The temporal inner retinal layers were significantly thinner in the patient group compared to the control group. The patient group also exhibited significantly greater FAZ enlargement in both the superficial and deep capillary plexus when compared with the control group (p<0.001 for both). CVI was higher in the control group than in the patient group (p<0.001). SFCT was significantly thinner in the patient group (p=0.013). There was no significant difference between patients with and without SCM in terms of FAZ enlargement, CVI values, or systemic and biological factors.</p><p><strong>Conclusion: </strong>In our study, PSCR was found to be a risk factor for the development of SCM. OCT and OCTA provide valuable information about microvascular changes in the retina and choroid in patients with SCM. Structural changes demonstrated by OCTA before the development of SCM are very important for follow-up and treatment in terms of visual prognosis of patients.</p>","PeriodicalId":23373,"journal":{"name":"Turkish Journal of Ophthalmology","volume":"55 2","pages":"74-81"},"PeriodicalIF":0.0000,"publicationDate":"2025-04-24","publicationTypes":"Journal Article","fieldsOfStudy":null,"isOpenAccess":false,"openAccessPdf":"https://www.ncbi.nlm.nih.gov/pmc/articles/PMC12035012/pdf/","citationCount":"0","resultStr":null,"platform":"Semanticscholar","paperid":null,"PeriodicalName":"Turkish Journal of Ophthalmology","FirstCategoryId":"1085","ListUrlMain":"https://doi.org/10.4274/tjo.galenos.2025.97792","RegionNum":0,"RegionCategory":null,"ArticlePicture":[],"TitleCN":null,"AbstractTextCN":null,"PMCID":null,"EPubDate":"","PubModel":"","JCR":"Q3","JCRName":"Medicine","Score":null,"Total":0}
引用次数: 0

Abstract

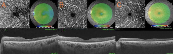
Objectives: To determine the microvascular changes of the retina and choroid in sickle cell anemia (SCA) patients and to investigate the relationship between the severity of sickle cell retinopathy and sickle cell maculopathy (SCM).

Materials and methods: In this cross-sectional study, 78 eyes of 39 patients with SCA were included in the patient group and 68 eyes of 34 healthy participants were included in the control group. Differences in foveal avascular zone (FAZ), retinal and subfoveal choroidal thickness (SFCT), and choroidal vascularity index (CVI) between the patient group and the control group were evaluated by swept source optical coherence tomography (OCT) and OCT angiography (OCTA) imaging. In addition, systemic and biological parameters were compared in patients with and without SCM.

Results: SCM was detected in 16 eyes of 8 patients. Proliferative sickle cell retinopathy (PSCR) was present in 10 patients. In logistic regression analysis, PSCR was found to be a risk factor for the development of SCM (p=0.015, odds ratio: 17.25, 95% confidence interval: 1.73-172.02). The temporal inner retinal layers were significantly thinner in the patient group compared to the control group. The patient group also exhibited significantly greater FAZ enlargement in both the superficial and deep capillary plexus when compared with the control group (p<0.001 for both). CVI was higher in the control group than in the patient group (p<0.001). SFCT was significantly thinner in the patient group (p=0.013). There was no significant difference between patients with and without SCM in terms of FAZ enlargement, CVI values, or systemic and biological factors.

Conclusion: In our study, PSCR was found to be a risk factor for the development of SCM. OCT and OCTA provide valuable information about microvascular changes in the retina and choroid in patients with SCM. Structural changes demonstrated by OCTA before the development of SCM are very important for follow-up and treatment in terms of visual prognosis of patients.

Abstract Image

Abstract Image

Abstract Image

镰状细胞性贫血患者视网膜和脉络膜微血管和超微结构的改变。
目的:观察镰状细胞性贫血(SCA)患者视网膜和脉络膜的微血管变化,探讨镰状细胞性视网膜病变严重程度与镰状细胞性黄斑病变(SCM)的关系。材料与方法:本横断面研究将39例SCA患者的78只眼作为患者组,将34例健康受试者的68只眼作为对照组。通过扫描源光学相干断层扫描(OCT)和OCT血管造影(OCTA)成像评估患者组与对照组在中央凹无血管带(FAZ)、视网膜及中央凹下脉络膜厚度(SFCT)、脉络膜血管指数(CVI)方面的差异。此外,比较了SCM患者和非SCM患者的系统和生物学参数。结果:8例患者16只眼检出SCM。10例患者出现增生性镰状细胞性视网膜病变(PSCR)。logistic回归分析发现PSCR是SCM发生的危险因素(p=0.015,优势比:17.25,95%置信区间:1.73 ~ 172.02)。与对照组相比,患者组的颞内视网膜层明显变薄。与对照组相比,患者组在浅、深毛细血管丛中均表现出更大的FAZ扩张(结论:本研究发现PSCR是SCM发生的危险因素之一。OCT和OCTA为SCM患者视网膜和脉络膜的微血管变化提供了有价值的信息。在SCM发展之前,OCTA显示的结构改变对患者的视力预后的随访和治疗非常重要。
本文章由计算机程序翻译,如有差异,请以英文原文为准。
求助全文
约1分钟内获得全文 求助全文
来源期刊
Turkish Journal of Ophthalmology
Turkish Journal of Ophthalmology Medicine-Ophthalmology
CiteScore
2.20
自引率
0.00%
发文量
0
期刊介绍: The Turkish Journal of Ophthalmology (TJO) is the only scientific periodical publication of the Turkish Ophthalmological Association and has been published since January 1929. In its early years, the journal was published in Turkish and French. Although there were temporary interruptions in the publication of the journal due to various challenges, the Turkish Journal of Ophthalmology has been published continually from 1971 to the present. The target audience includes specialists and physicians in training in ophthalmology in all relevant disciplines.
×
引用
GB/T 7714-2015
复制
MLA
复制
APA
复制
导出至
BibTeX EndNote RefMan NoteFirst NoteExpress
×
提示
您的信息不完整,为了账户安全,请先补充。
现在去补充
×
提示
您因"违规操作"
具体请查看互助需知
我知道了
×
提示
确定
请完成安全验证×
copy
已复制链接
快去分享给好友吧!
我知道了
右上角分享
点击右上角分享
0
联系我们:info@booksci.cn Book学术提供免费学术资源搜索服务,方便国内外学者检索中英文文献。致力于提供最便捷和优质的服务体验。 Copyright © 2023 布克学术 All rights reserved.
京ICP备2023020795号-1
ghs 京公网安备 11010802042870号
Book学术文献互助
Book学术文献互助群
群 号:604180095
Book学术官方微信