Retro-orbital Metastasis in Chromophobe Renal Cell Carcinoma: A Case Report and Review.

IF 1 4区 医学 Q3 MEDICINE, GENERAL & INTERNAL
Tanju Kapagan, Nilufer Bulut, Mehmet Halıcı, Gokmen Umut Erdem
{"title":"Retro-orbital Metastasis in Chromophobe Renal Cell Carcinoma: A Case Report and Review.","authors":"Tanju Kapagan, Nilufer Bulut, Mehmet Halıcı, Gokmen Umut Erdem","doi":"10.34172/aim.31231","DOIUrl":null,"url":null,"abstract":"<p><p>Chromophobe renal cell carcinoma (ChRCC) is a rare subtype of renal cell carcinoma (RCC). We present a case of a 61-year-old male with ChRCC who exhibited unusual metastasis to the retro-orbital area, a site rarely affected by RCC. The patient experienced diplopia and proptosis, prompting treatment with sunitinib and palliative radiotherapy. Remarkably, rapid improvement in ocular symptoms was observed following radiotherapy. Despite this localized response, the patient's overall condition deteriorated, highlighting the aggressive nature of ChRCC. This case underscores the importance of considering ChRCC in metastatic presentations and the potential efficacy of local palliative interventions.</p>","PeriodicalId":55469,"journal":{"name":"Archives of Iranian Medicine","volume":"28 3","pages":"171-173"},"PeriodicalIF":1.0000,"publicationDate":"2025-03-01","publicationTypes":"Journal Article","fieldsOfStudy":null,"isOpenAccess":false,"openAccessPdf":"https://www.ncbi.nlm.nih.gov/pmc/articles/PMC12038802/pdf/","citationCount":"0","resultStr":null,"platform":"Semanticscholar","paperid":null,"PeriodicalName":"Archives of Iranian Medicine","FirstCategoryId":"3","ListUrlMain":"https://doi.org/10.34172/aim.31231","RegionNum":4,"RegionCategory":"医学","ArticlePicture":[],"TitleCN":null,"AbstractTextCN":null,"PMCID":null,"EPubDate":"","PubModel":"","JCR":"Q3","JCRName":"MEDICINE, GENERAL & INTERNAL","Score":null,"Total":0}
引用次数: 0

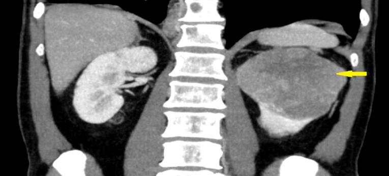
Abstract

Chromophobe renal cell carcinoma (ChRCC) is a rare subtype of renal cell carcinoma (RCC). We present a case of a 61-year-old male with ChRCC who exhibited unusual metastasis to the retro-orbital area, a site rarely affected by RCC. The patient experienced diplopia and proptosis, prompting treatment with sunitinib and palliative radiotherapy. Remarkably, rapid improvement in ocular symptoms was observed following radiotherapy. Despite this localized response, the patient's overall condition deteriorated, highlighting the aggressive nature of ChRCC. This case underscores the importance of considering ChRCC in metastatic presentations and the potential efficacy of local palliative interventions.

Abstract Image

Abstract Image

Abstract Image

嫌色性肾细胞癌眼眶后转移1例报告及回顾。
嫌色肾细胞癌(ChRCC)是一种罕见的肾细胞癌(RCC)亚型。我们报告了一例61岁男性ChRCC患者,他表现出不寻常的转移到眼眶后区,这是一个很少受RCC影响的部位。患者出现复视和突出,促使治疗舒尼替尼和姑息性放疗。值得注意的是,放疗后眼部症状迅速改善。尽管有这种局部反应,但患者的整体病情恶化,突出了ChRCC的侵袭性。该病例强调了在转移性表现中考虑ChRCC的重要性以及局部姑息性干预的潜在疗效。
本文章由计算机程序翻译,如有差异,请以英文原文为准。
求助全文
约1分钟内获得全文 求助全文
来源期刊
Archives of Iranian Medicine
Archives of Iranian Medicine 医学-医学:内科
CiteScore
4.20
自引率
0.00%
发文量
67
审稿时长
3-8 weeks
期刊介绍: Aim and Scope: The Archives of Iranian Medicine (AIM) is a monthly peer-reviewed multidisciplinary medical publication. The journal welcomes contributions particularly relevant to the Middle-East region and publishes biomedical experiences and clinical investigations on prevalent diseases in the region as well as analyses of factors that may modulate the incidence, course, and management of diseases and pertinent medical problems. Manuscripts with didactic orientation and subjects exclusively of local interest will not be considered for publication.The 2016 Impact Factor of "Archives of Iranian Medicine" is 1.20.
×
引用
GB/T 7714-2015
复制
MLA
复制
APA
复制
导出至
BibTeX EndNote RefMan NoteFirst NoteExpress
×
提示
您的信息不完整,为了账户安全,请先补充。
现在去补充
×
提示
您因"违规操作"
具体请查看互助需知
我知道了
×
提示
确定
请完成安全验证×
copy
已复制链接
快去分享给好友吧!
我知道了
右上角分享
点击右上角分享
0
联系我们:info@booksci.cn Book学术提供免费学术资源搜索服务,方便国内外学者检索中英文文献。致力于提供最便捷和优质的服务体验。 Copyright © 2023 布克学术 All rights reserved.
京ICP备2023020795号-1
ghs 京公网安备 11010802042870号
Book学术文献互助
Book学术文献互助群
群 号:604180095
Book学术官方微信