Significance of GSTM1 and GSTT1 Gene Deletions in Glioma Patients in Polish Population: Pilot Study.

IF 1.9 4区 医学 Q3 ONCOLOGY
Clinical Medicine Insights-Oncology Pub Date : 2025-04-21 eCollection Date: 2025-01-01 DOI:10.1177/11795549251330712
Jovana Todosijević Jovanović, Vladimir Gašić, Ivana Grubiša, Branka Zukić, Ludmila Grzybowska-Szatkowska, Sonja Pavlović, Vladimir Jurisic
{"title":"Significance of <i>GSTM1</i> and <i>GSTT1</i> Gene Deletions in Glioma Patients in Polish Population: Pilot Study.","authors":"Jovana Todosijević Jovanović, Vladimir Gašić, Ivana Grubiša, Branka Zukić, Ludmila Grzybowska-Szatkowska, Sonja Pavlović, Vladimir Jurisic","doi":"10.1177/11795549251330712","DOIUrl":null,"url":null,"abstract":"<p><strong>Background: </strong>Detoxification enzymes of the glutathione S-transferase (GST) family are cytosolic phase II detoxification enzymes and play an important role in the normal functioning of the human antioxidant system. When the normal function of GST is disturbed or absent, there can be disturbances in cell metabolism, proliferation, and apoptosis. Deletions in the <i>GSTM1</i> and <i>GSTT1</i> genes have been observed in several different diseases as well as in the development of cancer. There is a need to analyze the relationship between glioma and <i>GSTM1</i> and <i>GSTT1</i> gene deletion to better understand the relationship between brain tumors and <i>GST</i> polymorphisms, which is crucial for adopting a multidisciplinary approach to prognosis and treatment of brain tumors.</p><p><strong>Methods: </strong>In a cross-sectional clinical-laboratory study, gene deletions were examined in 34 patients with brain tumors originating from glial cells-gliomas and 88 healthy individuals. All participants were of Polish nationality and were not related.</p><p><strong>Results: </strong>An increase in <i>GSTM1</i> and <i>GSTT1</i> gene deletions was observed in glioma patients compared with the control group. The greatest increase showing a marked rise of 10 times (11.8% vs 1.14%, <i>P</i> < .05) is in the null genotype of both genes (<i>GSTM1-/GSTT1)</i> [odds ratio [OR] = 0.86; 95% confidence interval [CI] = 0.09-0.802] but less in the genotype with deletion of 1 <i>GST</i> gene (<i>GSTM1-/GSTT1+</i> and <i>GSTM1+/GSTT1-</i>). In addition, the findings indicated a decrease in the non-deletion genotype of both genes (GSTM1+/GSTT1+) in healthy individuals. This study showed a higher frequency of <i>GST</i> gene deletion in glioma patients in the studied population.</p><p><strong>Conclusions: </strong>Based on the obtained findings, it can be said that the examination of the selected detoxification enzymes can be a useful marker in the diagnosis of glioblastoma.</p>","PeriodicalId":48591,"journal":{"name":"Clinical Medicine Insights-Oncology","volume":"19 ","pages":"11795549251330712"},"PeriodicalIF":1.9000,"publicationDate":"2025-04-21","publicationTypes":"Journal Article","fieldsOfStudy":null,"isOpenAccess":false,"openAccessPdf":"https://www.ncbi.nlm.nih.gov/pmc/articles/PMC12033545/pdf/","citationCount":"0","resultStr":null,"platform":"Semanticscholar","paperid":null,"PeriodicalName":"Clinical Medicine Insights-Oncology","FirstCategoryId":"3","ListUrlMain":"https://doi.org/10.1177/11795549251330712","RegionNum":4,"RegionCategory":"医学","ArticlePicture":[],"TitleCN":null,"AbstractTextCN":null,"PMCID":null,"EPubDate":"2025/1/1 0:00:00","PubModel":"eCollection","JCR":"Q3","JCRName":"ONCOLOGY","Score":null,"Total":0}
引用次数: 0

Abstract

Background: Detoxification enzymes of the glutathione S-transferase (GST) family are cytosolic phase II detoxification enzymes and play an important role in the normal functioning of the human antioxidant system. When the normal function of GST is disturbed or absent, there can be disturbances in cell metabolism, proliferation, and apoptosis. Deletions in the GSTM1 and GSTT1 genes have been observed in several different diseases as well as in the development of cancer. There is a need to analyze the relationship between glioma and GSTM1 and GSTT1 gene deletion to better understand the relationship between brain tumors and GST polymorphisms, which is crucial for adopting a multidisciplinary approach to prognosis and treatment of brain tumors.

Methods: In a cross-sectional clinical-laboratory study, gene deletions were examined in 34 patients with brain tumors originating from glial cells-gliomas and 88 healthy individuals. All participants were of Polish nationality and were not related.

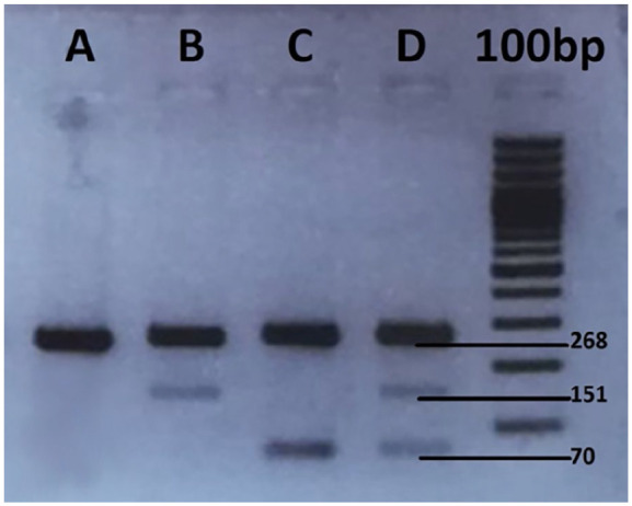
Results: An increase in GSTM1 and GSTT1 gene deletions was observed in glioma patients compared with the control group. The greatest increase showing a marked rise of 10 times (11.8% vs 1.14%, P < .05) is in the null genotype of both genes (GSTM1-/GSTT1) [odds ratio [OR] = 0.86; 95% confidence interval [CI] = 0.09-0.802] but less in the genotype with deletion of 1 GST gene (GSTM1-/GSTT1+ and GSTM1+/GSTT1-). In addition, the findings indicated a decrease in the non-deletion genotype of both genes (GSTM1+/GSTT1+) in healthy individuals. This study showed a higher frequency of GST gene deletion in glioma patients in the studied population.

Conclusions: Based on the obtained findings, it can be said that the examination of the selected detoxification enzymes can be a useful marker in the diagnosis of glioblastoma.

Abstract Image

Abstract Image

Abstract Image

GSTM1和GSTT1基因缺失在波兰人群神经胶质瘤患者中的意义:初步研究
背景:谷胱甘肽s -转移酶(GST)家族解毒酶是细胞质II期解毒酶,在人体抗氧化系统的正常功能中起重要作用。当GST的正常功能受到干扰或缺失时,细胞的代谢、增殖和凋亡都会受到干扰。GSTM1和GSTT1基因的缺失已经在几种不同的疾病以及癌症的发展中被观察到。需要分析胶质瘤与GSTM1和GSTT1基因缺失的关系,以更好地了解脑肿瘤与GST多态性的关系,这对于采用多学科方法进行脑肿瘤的预后和治疗至关重要。方法:在一项横断面临床-实验室研究中,对34例源自神经胶质瘤的脑肿瘤患者和88名健康人进行了基因缺失检查。所有参与者均为波兰国籍,没有亲属关系。结果:与对照组相比,胶质瘤患者GSTM1和GSTT1基因缺失增加。最大增幅为10倍(11.8% vs 1.14%, P GSTM1-/GSTT1)[比值比[OR] = 0.86;95%可信区间[CI] = 0.09-0.802],但缺失1个GST基因型(GSTM1-/GSTT1+和GSTM1+/GSTT1-)的发生率较低。此外,研究结果表明,在健康个体中,两种基因(GSTM1+/GSTT1+)的非缺失基因型都有所减少。这项研究表明,在研究人群中,胶质瘤患者中GST基因缺失的频率更高。结论:根据所获得的结果,可以说选择的解毒酶的检查可以作为诊断胶质母细胞瘤的有用标志。
本文章由计算机程序翻译,如有差异,请以英文原文为准。
求助全文
约1分钟内获得全文 求助全文
来源期刊
CiteScore
2.40
自引率
4.50%
发文量
57
审稿时长
8 weeks
期刊介绍: Clinical Medicine Insights: Oncology is an international, peer-reviewed, open access journal that focuses on all aspects of cancer research and treatment, in addition to related genetic, pathophysiological and epidemiological topics. Of particular but not exclusive importance are molecular biology, clinical interventions, controlled trials, therapeutics, pharmacology and drug delivery, and techniques of cancer surgery. The journal welcomes unsolicited article proposals.
×
引用
GB/T 7714-2015
复制
MLA
复制
APA
复制
导出至
BibTeX EndNote RefMan NoteFirst NoteExpress
×
提示
您的信息不完整,为了账户安全,请先补充。
现在去补充
×
提示
您因"违规操作"
具体请查看互助需知
我知道了
×
提示
确定
请完成安全验证×
copy
已复制链接
快去分享给好友吧!
我知道了
右上角分享
点击右上角分享
0
联系我们:info@booksci.cn Book学术提供免费学术资源搜索服务,方便国内外学者检索中英文文献。致力于提供最便捷和优质的服务体验。 Copyright © 2023 布克学术 All rights reserved.
京ICP备2023020795号-1
ghs 京公网安备 11010802042870号
Book学术文献互助
Book学术文献互助群
群 号:604180095
Book学术官方微信