Cocaine and ketamine-induced paraspinal muscle compartment syndrome.

IF 2.3 Q3 EMERGENCY MEDICINE
Thomas Saliba, Simone Giglioli, Sanjiva Pather, Daniel DeBacker
{"title":"Cocaine and ketamine-induced paraspinal muscle compartment syndrome.","authors":"Thomas Saliba, Simone Giglioli, Sanjiva Pather, Daniel DeBacker","doi":"10.4103/tjem.tjem_224_24","DOIUrl":null,"url":null,"abstract":"<p><p>Lumbar paraspinal compartment syndrome is a rare pathology, with only 40 reported cases resulting from an increase in pressure within the muscle compartment. Symptoms typically involve pain and sometimes muscular deficits. The typical patient is a man who has undergone strenuous exercise, with few cases linked to the use of recreational drugs, such as cocaine or ketamine. We report the case of a 25-year-old man presenting to the emergency room with severe diffuse back pain who had recently consumed large amounts of cocaine, ketamine, and alcohol. The patient had diffuse muscular pain, increased serum creatine kinase (CK) levels, and a negative noncontrast abdominal computed tomography (CT), leading to the suspicion of crush syndrome. Over the following days, the patient's pain became more localized to the right paraspinal region, prompting a contrast-enhanced CT. This revealed signs of muscle swelling and edema of the paraspinal muscle, leading to a suspicion of compartment syndrome, which was confirmed by an intramuscular pressure measurement. The patient underwent a surgical fasciotomy. The patient went on to have an unremarkable recovery. Lumbar paraspinal compartment syndrome is exceedingly rare. Cocaine is known to cause rhabdomyolysis both indirectly, due to behavioral disturbances, and directly due to muscle toxicity. Similarly, ketamine use has also been associated with rhabdomyolysis. The rhabdomyolysis results in greatly increased CK levels, sometimes rising up to 100 00 U/L, which should normalize over the following days. A few cases of compartment syndrome, often localized in extremities, have been reported in patients presenting cocaine or ketamine-induced rhabdomyolysis. In this patient, the muscle swelling of the paraspinal muscle resulted in compartment syndrome. Patients who experience cocaine-related rhabdomyolysis have a tendency for nonspecific symptoms, which would match our patient's initial presentation. Although radiology's contribution to the diagnosis is limited, patients suffering from back pain or nonresolving rhabdomyolysis should be submitted to imaging, which may show signs of muscle swelling and edema on CT and magnetic resonance imaging. Diagnosis of compartment syndrome should be confirmed by measurement of muscle pressure, and if elevated, the patient should be proposed for fasciotomy.</p>","PeriodicalId":46536,"journal":{"name":"Turkish Journal of Emergency Medicine","volume":"25 2","pages":"147-151"},"PeriodicalIF":2.3000,"publicationDate":"2025-04-01","publicationTypes":"Journal Article","fieldsOfStudy":null,"isOpenAccess":false,"openAccessPdf":"https://www.ncbi.nlm.nih.gov/pmc/articles/PMC12002143/pdf/","citationCount":"0","resultStr":null,"platform":"Semanticscholar","paperid":null,"PeriodicalName":"Turkish Journal of Emergency Medicine","FirstCategoryId":"1085","ListUrlMain":"https://doi.org/10.4103/tjem.tjem_224_24","RegionNum":0,"RegionCategory":null,"ArticlePicture":[],"TitleCN":null,"AbstractTextCN":null,"PMCID":null,"EPubDate":"","PubModel":"","JCR":"Q3","JCRName":"EMERGENCY MEDICINE","Score":null,"Total":0}
引用次数: 0

Abstract

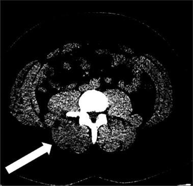
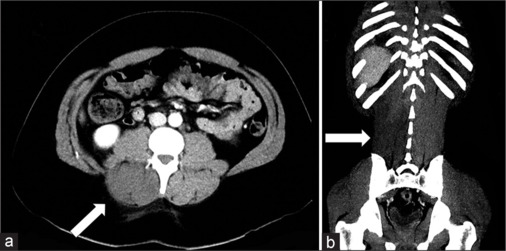
Lumbar paraspinal compartment syndrome is a rare pathology, with only 40 reported cases resulting from an increase in pressure within the muscle compartment. Symptoms typically involve pain and sometimes muscular deficits. The typical patient is a man who has undergone strenuous exercise, with few cases linked to the use of recreational drugs, such as cocaine or ketamine. We report the case of a 25-year-old man presenting to the emergency room with severe diffuse back pain who had recently consumed large amounts of cocaine, ketamine, and alcohol. The patient had diffuse muscular pain, increased serum creatine kinase (CK) levels, and a negative noncontrast abdominal computed tomography (CT), leading to the suspicion of crush syndrome. Over the following days, the patient's pain became more localized to the right paraspinal region, prompting a contrast-enhanced CT. This revealed signs of muscle swelling and edema of the paraspinal muscle, leading to a suspicion of compartment syndrome, which was confirmed by an intramuscular pressure measurement. The patient underwent a surgical fasciotomy. The patient went on to have an unremarkable recovery. Lumbar paraspinal compartment syndrome is exceedingly rare. Cocaine is known to cause rhabdomyolysis both indirectly, due to behavioral disturbances, and directly due to muscle toxicity. Similarly, ketamine use has also been associated with rhabdomyolysis. The rhabdomyolysis results in greatly increased CK levels, sometimes rising up to 100 00 U/L, which should normalize over the following days. A few cases of compartment syndrome, often localized in extremities, have been reported in patients presenting cocaine or ketamine-induced rhabdomyolysis. In this patient, the muscle swelling of the paraspinal muscle resulted in compartment syndrome. Patients who experience cocaine-related rhabdomyolysis have a tendency for nonspecific symptoms, which would match our patient's initial presentation. Although radiology's contribution to the diagnosis is limited, patients suffering from back pain or nonresolving rhabdomyolysis should be submitted to imaging, which may show signs of muscle swelling and edema on CT and magnetic resonance imaging. Diagnosis of compartment syndrome should be confirmed by measurement of muscle pressure, and if elevated, the patient should be proposed for fasciotomy.

Abstract Image

Abstract Image

Abstract Image

可卡因和氯胺酮引起的椎旁肌室综合征。
腰椎椎旁隔室综合征是一种罕见的病理,仅报道了40例由肌肉隔室内压力增加引起的病例。典型症状包括疼痛,有时肌肉萎缩。典型的患者是经历过剧烈运动的男性,很少有病例与使用可卡因或氯胺酮等娱乐性药物有关。我们报告一个25岁的男性,因严重的弥漫性背痛而被送往急诊室,他最近服用了大量的可卡因、氯胺酮和酒精。患者有弥漫性肌肉疼痛,血清肌酸激酶(CK)水平升高,腹部计算机断层扫描(CT)阴性,导致怀疑挤压综合征。在接下来的几天里,患者的疼痛变得更加局限于右侧棘旁区,促使进行了对比增强CT检查。这显示了肌肉肿胀和棘旁肌水肿的迹象,导致怀疑筋膜室综合征,这是由肌内压力测量证实。病人接受了外科筋膜切开术。病人后来恢复得平平无奇。腰椎椎旁腔室综合征极为罕见。已知可卡因可间接引起横纹肌溶解(由于行为障碍)和直接引起肌肉毒性。同样,氯胺酮的使用也与横纹肌溶解有关。横纹肌溶解导致CK水平大幅升高,有时升高至100,000 U/L,在接下来的几天内应该会恢复正常。一些病例室综合征,往往局限于四肢,已报道的患者呈现可卡因或氯胺酮诱导横纹肌溶解。在这个病人中,脊柱旁肌的肌肉肿胀导致筋膜室综合征。经历可卡因相关横纹肌溶解的患者有非特异性症状的倾向,这与我们患者最初的表现相符。尽管放射学对诊断的贡献有限,但患有背痛或无法解决的横纹肌溶解的患者应进行影像学检查,CT和磁共振成像可能显示肌肉肿胀和水肿的迹象。筋膜室综合征的诊断应通过测量肌肉压力来确认,如果升高,应建议患者进行筋膜切开术。
本文章由计算机程序翻译,如有差异,请以英文原文为准。
求助全文
约1分钟内获得全文 求助全文
来源期刊
CiteScore
1.70
自引率
0.00%
发文量
30
审稿时长
22 weeks
期刊介绍: The Turkish Journal of Emergency Medicine (Turk J Emerg Med) is an International, peer-reviewed, open-access journal that publishes clinical and experimental trials, case reports, invited reviews, case images, letters to the Editor, and interesting research conducted in all fields of Emergency Medicine. The Journal is the official scientific publication of the Emergency Medicine Association of Turkey (EMAT) and is printed four times a year, in January, April, July and October. The language of the journal is English. The Journal is based on independent and unbiased double-blinded peer-reviewed principles. Only unpublished papers that are not under review for publication elsewhere can be submitted. The authors are responsible for the scientific content of the material to be published. The Turkish Journal of Emergency Medicine reserves the right to request any research materials on which the paper is based. The Editorial Board of the Turkish Journal of Emergency Medicine and the Publisher adheres to the principles of the International Council of Medical Journal Editors, the World Association of Medical Editors, the Council of Science Editors, the Committee on Publication Ethics, the US National Library of Medicine, the US Office of Research Integrity, the European Association of Science Editors, and the International Society of Managing and Technical Editors.
×
引用
GB/T 7714-2015
复制
MLA
复制
APA
复制
导出至
BibTeX EndNote RefMan NoteFirst NoteExpress
×
提示
您的信息不完整,为了账户安全,请先补充。
现在去补充
×
提示
您因"违规操作"
具体请查看互助需知
我知道了
×
提示
确定
请完成安全验证×
copy
已复制链接
快去分享给好友吧!
我知道了
右上角分享
点击右上角分享
0
联系我们:info@booksci.cn Book学术提供免费学术资源搜索服务,方便国内外学者检索中英文文献。致力于提供最便捷和优质的服务体验。 Copyright © 2023 布克学术 All rights reserved.
京ICP备2023020795号-1
ghs 京公网安备 11010802042870号
Book学术文献互助
Book学术文献互助群
群 号:604180095
Book学术官方微信