SSTR Expressing Mediastinal Ectopic Thyroid: A Rarity Unveiled.

IF 0.5 Q4 RADIOLOGY, NUCLEAR MEDICINE & MEDICAL IMAGING
Indian Journal of Nuclear Medicine Pub Date : 2024-11-01 Epub Date: 2025-03-20 DOI:10.4103/ijnm.ijnm_88_24
Yogita Khandelwal, Nishikant Avinash Damle, Mohit Kumar Joshi, Aruna Nambiranjan, Surabhi Jain, Rajinder Parshad
{"title":"SSTR Expressing Mediastinal Ectopic Thyroid: A Rarity Unveiled.","authors":"Yogita Khandelwal, Nishikant Avinash Damle, Mohit Kumar Joshi, Aruna Nambiranjan, Surabhi Jain, Rajinder Parshad","doi":"10.4103/ijnm.ijnm_88_24","DOIUrl":null,"url":null,"abstract":"<p><p>Rarely, ectopic thyroid tissue can coexist with an eutopic thyroid. Technetium pertechnetate scan is peculiar for thyroid tissue uptake. However, DOTANOC uptake in mediastinal ectopic thyroid has been rarely reported. We present a unique case of an ectopic mediastinal thyroid mass that did not show any uptake on a pertechnetate scan and showed significantly increased uptake on <sup>68</sup>Ga-DOTANOC positron emission tomography-computed tomography with an eutopic cervical thyroid with normal pertechnetate and physiological mild DOTANOC uptake.</p>","PeriodicalId":45830,"journal":{"name":"Indian Journal of Nuclear Medicine","volume":"39 6","pages":"469-471"},"PeriodicalIF":0.5000,"publicationDate":"2024-11-01","publicationTypes":"Journal Article","fieldsOfStudy":null,"isOpenAccess":false,"openAccessPdf":"https://www.ncbi.nlm.nih.gov/pmc/articles/PMC12020970/pdf/","citationCount":"0","resultStr":null,"platform":"Semanticscholar","paperid":null,"PeriodicalName":"Indian Journal of Nuclear Medicine","FirstCategoryId":"1085","ListUrlMain":"https://doi.org/10.4103/ijnm.ijnm_88_24","RegionNum":0,"RegionCategory":null,"ArticlePicture":[],"TitleCN":null,"AbstractTextCN":null,"PMCID":null,"EPubDate":"2025/3/20 0:00:00","PubModel":"Epub","JCR":"Q4","JCRName":"RADIOLOGY, NUCLEAR MEDICINE & MEDICAL IMAGING","Score":null,"Total":0}
引用次数: 0

Abstract

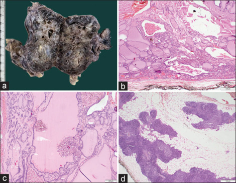
Rarely, ectopic thyroid tissue can coexist with an eutopic thyroid. Technetium pertechnetate scan is peculiar for thyroid tissue uptake. However, DOTANOC uptake in mediastinal ectopic thyroid has been rarely reported. We present a unique case of an ectopic mediastinal thyroid mass that did not show any uptake on a pertechnetate scan and showed significantly increased uptake on 68Ga-DOTANOC positron emission tomography-computed tomography with an eutopic cervical thyroid with normal pertechnetate and physiological mild DOTANOC uptake.

Abstract Image

Abstract Image

表达纵隔异位甲状腺的SSTR:一个罕见的发现。
异位甲状腺组织很少与异位甲状腺共存。高锝扫描是甲状腺组织摄取所特有的。然而,在纵隔异位甲状腺中,DOTANOC摄取很少被报道。我们报告了一个异位纵隔甲状腺肿块的独特病例,高锝扫描未显示任何摄取,68Ga-DOTANOC正电子发射断层扫描显示明显增加摄取,高锝和生理轻度DOTANOC摄取的异位颈部甲状腺。
本文章由计算机程序翻译,如有差异,请以英文原文为准。
求助全文
约1分钟内获得全文 求助全文
来源期刊
Indian Journal of Nuclear Medicine
Indian Journal of Nuclear Medicine RADIOLOGY, NUCLEAR MEDICINE & MEDICAL IMAGING-
CiteScore
0.70
自引率
0.00%
发文量
46
×
引用
GB/T 7714-2015
复制
MLA
复制
APA
复制
导出至
BibTeX EndNote RefMan NoteFirst NoteExpress
×
提示
您的信息不完整,为了账户安全,请先补充。
现在去补充
×
提示
您因"违规操作"
具体请查看互助需知
我知道了
×
提示
确定
请完成安全验证×
copy
已复制链接
快去分享给好友吧!
我知道了
右上角分享
点击右上角分享
0
联系我们:info@booksci.cn Book学术提供免费学术资源搜索服务,方便国内外学者检索中英文文献。致力于提供最便捷和优质的服务体验。 Copyright © 2023 布克学术 All rights reserved.
京ICP备2023020795号-1
ghs 京公网安备 11010802042870号
Book学术文献互助
Book学术文献互助群
群 号:604180095
Book学术官方微信