Lipoblastoma-like tumor of the inguinal region: a close mimicker of myxoid liposarcoma.

IF 2.9 Q1 PATHOLOGY
PATHOLOGICA Pub Date : 2025-02-01 DOI:10.32074/1591-951X-964
Manuel Mazzucchelli, Giuseppe Angelico, Lucia Salvatorelli, Giada Maria Vecchio, Chiara Romano, Paolo Vigneri, Maria Paola Mariani, Gerardo Ferrara, Gaetano Giuseppe Magro
{"title":"Lipoblastoma-like tumor of the inguinal region: a close mimicker of myxoid liposarcoma.","authors":"Manuel Mazzucchelli, Giuseppe Angelico, Lucia Salvatorelli, Giada Maria Vecchio, Chiara Romano, Paolo Vigneri, Maria Paola Mariani, Gerardo Ferrara, Gaetano Giuseppe Magro","doi":"10.32074/1591-951X-964","DOIUrl":null,"url":null,"abstract":"<p><p>Lipoblastoma-like tumor is a rare mesenchymal neoplasm, typically arising in the vulvar region of young women. Although it is considered a benign tumor, rare local recurrences and exceptionally distant metastases have been reported. Histological examination reveals a well-circumscribed tumor with lobulated pattern, composed of a mixture of mature adipocytes, spindle cells and lipoblasts set in abundant myxoid stroma with numerous thin-walled capillary-like vessels. Due to the rarity of this neoplasm and its morphological resemblance with other benign and malignant lipomatous tumors, the diagnosis of <i>lipoblastoma-like tumor</i> is often challenging. Herein, we present a case occurring in the inguinal region of a 28-year-old woman. Histological examination showed a mixture of mature adipocytes, bland-looking spindle cells with fibrillary cytoplasm, and numerous univacuolated lipoblasts set in a prominent myxoid matrix containing numerous thin-walled branching vessels. Immunohistochemically, neoplastic cells showed diffuse immunostaining for CD34 and negativity for α-smooth muscle actin, desmin, Rb1, MDM2 and STAT6. The main differential diagnoses included myxoid liposarcoma, spindle cell lipoma and cellular angiofibroma. FISH was negative for <i>DDIT3</i>; moreover, no evidence of regional gain or loss of <i>RB1</i> was identified by FISH. Based on morphological, immunohistochemical and cytogenetic/molecular findings, a final diagnosis of \"<i>lipoblastoma-like tumor\"</i> of the inguinal region was rendered.</p>","PeriodicalId":45893,"journal":{"name":"PATHOLOGICA","volume":"117 1","pages":"39-44"},"PeriodicalIF":2.9000,"publicationDate":"2025-02-01","publicationTypes":"Journal Article","fieldsOfStudy":null,"isOpenAccess":false,"openAccessPdf":"https://www.ncbi.nlm.nih.gov/pmc/articles/PMC11983084/pdf/","citationCount":"0","resultStr":null,"platform":"Semanticscholar","paperid":null,"PeriodicalName":"PATHOLOGICA","FirstCategoryId":"1085","ListUrlMain":"https://doi.org/10.32074/1591-951X-964","RegionNum":0,"RegionCategory":null,"ArticlePicture":[],"TitleCN":null,"AbstractTextCN":null,"PMCID":null,"EPubDate":"","PubModel":"","JCR":"Q1","JCRName":"PATHOLOGY","Score":null,"Total":0}
引用次数: 0

Abstract

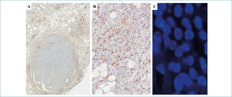
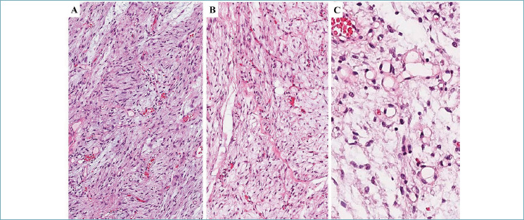
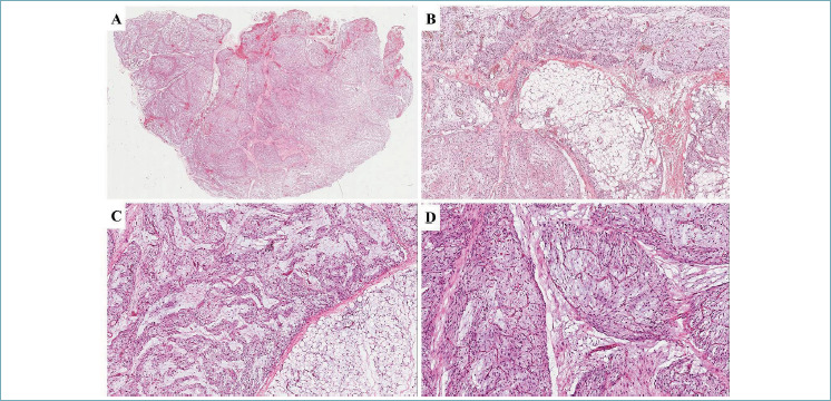
Lipoblastoma-like tumor is a rare mesenchymal neoplasm, typically arising in the vulvar region of young women. Although it is considered a benign tumor, rare local recurrences and exceptionally distant metastases have been reported. Histological examination reveals a well-circumscribed tumor with lobulated pattern, composed of a mixture of mature adipocytes, spindle cells and lipoblasts set in abundant myxoid stroma with numerous thin-walled capillary-like vessels. Due to the rarity of this neoplasm and its morphological resemblance with other benign and malignant lipomatous tumors, the diagnosis of lipoblastoma-like tumor is often challenging. Herein, we present a case occurring in the inguinal region of a 28-year-old woman. Histological examination showed a mixture of mature adipocytes, bland-looking spindle cells with fibrillary cytoplasm, and numerous univacuolated lipoblasts set in a prominent myxoid matrix containing numerous thin-walled branching vessels. Immunohistochemically, neoplastic cells showed diffuse immunostaining for CD34 and negativity for α-smooth muscle actin, desmin, Rb1, MDM2 and STAT6. The main differential diagnoses included myxoid liposarcoma, spindle cell lipoma and cellular angiofibroma. FISH was negative for DDIT3; moreover, no evidence of regional gain or loss of RB1 was identified by FISH. Based on morphological, immunohistochemical and cytogenetic/molecular findings, a final diagnosis of "lipoblastoma-like tumor" of the inguinal region was rendered.

Abstract Image

Abstract Image

Abstract Image

腹股沟区脂肪母细胞瘤样肿瘤:黏液样脂肪肉瘤的近似模拟物。
脂肪母细胞瘤样肿瘤是一种罕见的间质肿瘤,通常发生在年轻女性的外阴区域。虽然它被认为是一种良性肿瘤,但罕见的局部复发和异常远处转移已被报道。组织学检查显示一个边界清晰的分叶型肿瘤,由成熟脂肪细胞、梭形细胞和脂肪母细胞组成,分布在丰富的粘液样基质中,有许多薄壁毛细血管样血管。由于这种肿瘤的罕见性和其形态与其他良恶性脂肪瘤肿瘤相似,脂肪母细胞瘤样肿瘤的诊断往往具有挑战性。在此,我们提出一个病例发生在腹股沟区域的一个28岁的妇女。组织学检查显示成熟脂肪细胞、无色梭形细胞和纤维细胞质的混合物,以及大量单液泡形成的脂肪母细胞,这些脂肪母细胞位于含有大量薄壁分支血管的突出粘液样基质中。免疫组化结果显示,肿瘤细胞CD34呈弥漫性免疫染色,α-平滑肌肌动蛋白、desmin、Rb1、MDM2、STAT6呈阴性。主要鉴别诊断为黏液样脂肪肉瘤、梭形细胞脂肪瘤和细胞血管纤维瘤。FISH检测DDIT3为阴性;此外,FISH没有发现区域RB1增加或减少的证据。基于形态学,免疫组织化学和细胞遗传学/分子检查结果,最终诊断为腹股沟区域的“脂肪母细胞瘤样肿瘤”。
本文章由计算机程序翻译,如有差异,请以英文原文为准。
求助全文
约1分钟内获得全文 求助全文
来源期刊
PATHOLOGICA
PATHOLOGICA PATHOLOGY-
CiteScore
5.90
自引率
5.70%
发文量
108
×
引用
GB/T 7714-2015
复制
MLA
复制
APA
复制
导出至
BibTeX EndNote RefMan NoteFirst NoteExpress
×
提示
您的信息不完整,为了账户安全,请先补充。
现在去补充
×
提示
您因"违规操作"
具体请查看互助需知
我知道了
×
提示
确定
请完成安全验证×
copy
已复制链接
快去分享给好友吧!
我知道了
右上角分享
点击右上角分享
0
联系我们:info@booksci.cn Book学术提供免费学术资源搜索服务,方便国内外学者检索中英文文献。致力于提供最便捷和优质的服务体验。 Copyright © 2023 布克学术 All rights reserved.
京ICP备2023020795号-1
ghs 京公网安备 11010802042870号
Book学术文献互助
Book学术文献互助群
群 号:604180095
Book学术官方微信