Comparison of four MRI diffusion models to differentiate benign from metastatic retropharyngeal lymph nodes.

IF 3.6 Q1 RADIOLOGY, NUCLEAR MEDICINE & MEDICAL IMAGING
Jun Liu, Li Hua, Fei Wang, Ming Chen, Yinan Sun, Zhi Hu, Luqing Shu, Andong He, Mengxiao Liu, Qing Yang, Juan Zhu, Yinfeng Qian
{"title":"Comparison of four MRI diffusion models to differentiate benign from metastatic retropharyngeal lymph nodes.","authors":"Jun Liu, Li Hua, Fei Wang, Ming Chen, Yinan Sun, Zhi Hu, Luqing Shu, Andong He, Mengxiao Liu, Qing Yang, Juan Zhu, Yinfeng Qian","doi":"10.1186/s41747-025-00590-1","DOIUrl":null,"url":null,"abstract":"<p><strong>Background: </strong>Conventional magnetic resonance diffusion-weighted imaging (DWI) and morphological features have limitations in distinguishing benign from metastatic retropharyngeal lymph nodes (RLNs). We aimed to compare the value of continuous-time random walk (CTRW), fractional-order calculus (FROC), stretched-exponential model (SEM), and conventional DWI, in combination with morphological features, for differentiating between the two groups.</p><p><strong>Methods: </strong>Fifty-nine patients with 68 RLNs (23 benign and 45 metastatic) were enrolled. All patients underwent DWI with 12 b-values. Diffusion data were reconstructed using conventional DWI, SEM, FROC, and CTRW models, yielding nine parameters: apparent diffusion coefficient (ADC), distributed diffusion coefficient (DDC)<sub>SEM</sub>, α<sub>SEM</sub>, D<sub>FROC</sub>, β<sub>FROC</sub>, μ<sub>FROC</sub>, D<sub>CTRW</sub>, α<sub>CTRW</sub>, and β<sub>CTRW</sub>. Diffusion parameters and morphological features were compared using Mann-Whitney U, independent sample t, or χ<sup>2</sup> tests. Logistic regression analysis was performed to identify the best diffusion indicator for classification and to develop a multiparameter model combining morphological features. Area under the receiver operating curve (AUC) and DeLong tests were used.</p><p><strong>Results: </strong>Significant differences in diffusion parameters were found between benign and metastatic RLNs, except for α<sub>CTRW</sub> (p ≤ 0.022). Benign RLNs exhibited higher ADC, DDC<sub>SEM</sub>, D<sub>FROC</sub>, and D<sub>CTRW</sub>, while metastatic RLNs had higher α<sub>SEM</sub>, β<sub>FROC</sub>, μ<sub>FROC</sub>, and β<sub>CTRW</sub>. Multivariate logistic regression analysis identified β<sub>CTRW</sub> as the optimal single diffusion indicator (AUC = 0.913). The combined model of β<sub>CTRW</sub> with morphological features further improved diagnostic performance and yielded an AUC of 0.948.</p><p><strong>Conclusion: </strong>β<sub>CTRW</sub> is an effective noninvasive biomarker for distinguishing between benign and metastatic RLNs. Thus, combining β<sub>CTRW</sub> with morphological features enhances diagnostic efficiency.</p><p><strong>Relevance statement: </strong>This study demonstrates that β<sub>CTRW</sub>, derived from the continuous-time random walk diffusion model, when integrated with morphological features, offers a reliable, noninvasive diagnostic approach for differentiating between benign and metastatic retropharyngeal lymph nodes.</p><p><strong>Key points: </strong>Non-Gaussian diffusion metrics outperformed conventional DWI. β<sub>CTRW</sub> was the best indicator for distinguishing benign from metastatic lymph nodes. Combining β<sub>CTRW</sub> with minimal axial diameter further improved diagnostic efficiency.</p>","PeriodicalId":36926,"journal":{"name":"European Radiology Experimental","volume":"9 1","pages":"50"},"PeriodicalIF":3.6000,"publicationDate":"2025-05-13","publicationTypes":"Journal Article","fieldsOfStudy":null,"isOpenAccess":false,"openAccessPdf":"https://www.ncbi.nlm.nih.gov/pmc/articles/PMC12075726/pdf/","citationCount":"0","resultStr":null,"platform":"Semanticscholar","paperid":null,"PeriodicalName":"European Radiology Experimental","FirstCategoryId":"1085","ListUrlMain":"https://doi.org/10.1186/s41747-025-00590-1","RegionNum":0,"RegionCategory":null,"ArticlePicture":[],"TitleCN":null,"AbstractTextCN":null,"PMCID":null,"EPubDate":"","PubModel":"","JCR":"Q1","JCRName":"RADIOLOGY, NUCLEAR MEDICINE & MEDICAL IMAGING","Score":null,"Total":0}
引用次数: 0

Abstract

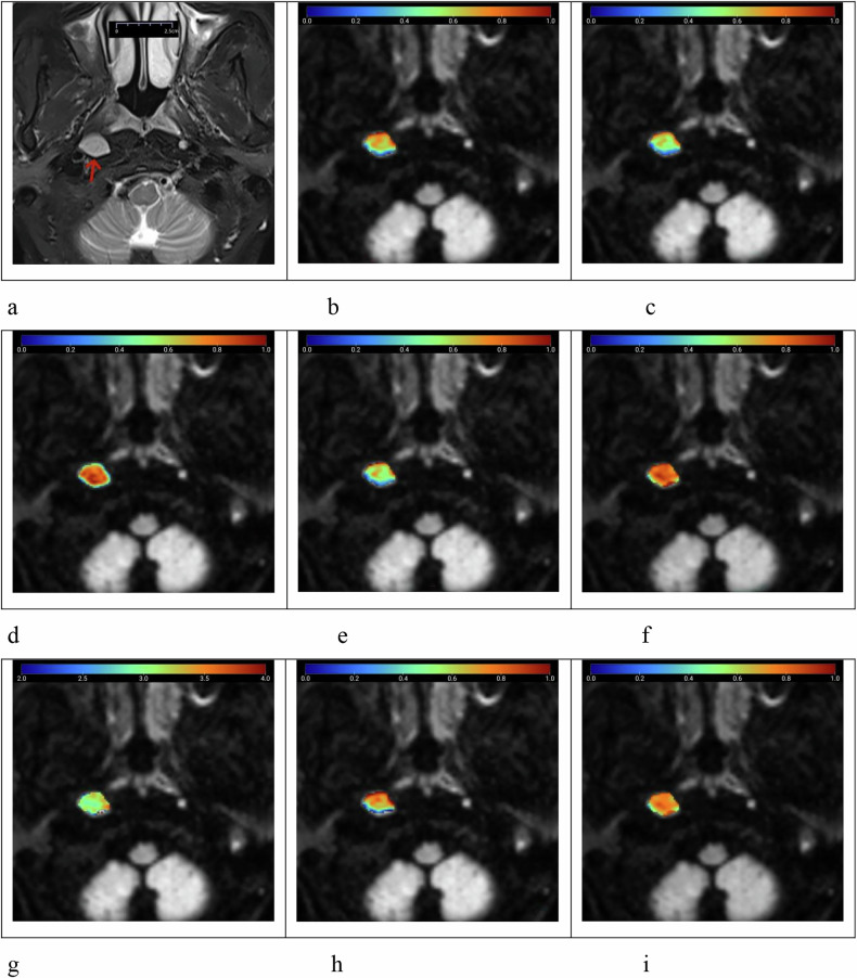
Background: Conventional magnetic resonance diffusion-weighted imaging (DWI) and morphological features have limitations in distinguishing benign from metastatic retropharyngeal lymph nodes (RLNs). We aimed to compare the value of continuous-time random walk (CTRW), fractional-order calculus (FROC), stretched-exponential model (SEM), and conventional DWI, in combination with morphological features, for differentiating between the two groups.

Methods: Fifty-nine patients with 68 RLNs (23 benign and 45 metastatic) were enrolled. All patients underwent DWI with 12 b-values. Diffusion data were reconstructed using conventional DWI, SEM, FROC, and CTRW models, yielding nine parameters: apparent diffusion coefficient (ADC), distributed diffusion coefficient (DDC)SEM, αSEM, DFROC, βFROC, μFROC, DCTRW, αCTRW, and βCTRW. Diffusion parameters and morphological features were compared using Mann-Whitney U, independent sample t, or χ2 tests. Logistic regression analysis was performed to identify the best diffusion indicator for classification and to develop a multiparameter model combining morphological features. Area under the receiver operating curve (AUC) and DeLong tests were used.

Results: Significant differences in diffusion parameters were found between benign and metastatic RLNs, except for αCTRW (p ≤ 0.022). Benign RLNs exhibited higher ADC, DDCSEM, DFROC, and DCTRW, while metastatic RLNs had higher αSEM, βFROC, μFROC, and βCTRW. Multivariate logistic regression analysis identified βCTRW as the optimal single diffusion indicator (AUC = 0.913). The combined model of βCTRW with morphological features further improved diagnostic performance and yielded an AUC of 0.948.

Conclusion: βCTRW is an effective noninvasive biomarker for distinguishing between benign and metastatic RLNs. Thus, combining βCTRW with morphological features enhances diagnostic efficiency.

Relevance statement: This study demonstrates that βCTRW, derived from the continuous-time random walk diffusion model, when integrated with morphological features, offers a reliable, noninvasive diagnostic approach for differentiating between benign and metastatic retropharyngeal lymph nodes.

Key points: Non-Gaussian diffusion metrics outperformed conventional DWI. βCTRW was the best indicator for distinguishing benign from metastatic lymph nodes. Combining βCTRW with minimal axial diameter further improved diagnostic efficiency.

Abstract Image

Abstract Image

Abstract Image

四种MRI扩散模型鉴别咽后淋巴结良性与转移的比较。
背景:传统的磁共振扩散加权成像(DWI)和形态学特征在区分咽后淋巴结(RLNs)的良性和转移性方面存在局限性。我们的目的是比较连续时间随机漫步(CTRW)、分数阶微积分(FROC)、拉伸指数模型(SEM)和传统DWI的价值,并结合形态学特征来区分两组。方法:纳入59例68例RLNs(23例为良性,45例为转移性)。所有患者均行DWI 12b值检查。采用常规DWI、SEM、FROC和CTRW模型重构扩散数据,得到表观扩散系数(ADC)、分布扩散系数(DDC)SEM、αSEM、DFROC、βFROC、μFROC、DCTRW、αCTRW和βCTRW 9个参数。扩散参数和形态特征的比较采用Mann-Whitney U、独立样本t或χ2检验。通过Logistic回归分析确定最佳的扩散指标,并结合形态学特征建立多参数模型。采用受试者工作曲线下面积(AUC)和DeLong试验。结果:除αCTRW外,良性RLNs与转移性RLNs的扩散参数差异有统计学意义(p≤0.022)。良性RLNs具有较高的ADC、DDCSEM、DFROC和DCTRW,而转移性RLNs具有较高的αSEM、βFROC、μFROC和βCTRW。多因素logistic回归分析发现,βCTRW为最优的单一扩散指标(AUC = 0.913)。βCTRW与形态学特征的联合模型进一步提高了诊断效能,AUC为0.948。结论:βCTRW是鉴别良性和转移性RLNs的有效无创生物标志物。因此,将βCTRW与形态学特征结合可以提高诊断效率。相关声明:本研究表明,来自连续时间随机游走扩散模型的βCTRW与形态学特征相结合,为区分良性和转移性咽后淋巴结提供了一种可靠、无创的诊断方法。重点:非高斯扩散指标优于传统DWI。βCTRW是区分良性和转移性淋巴结的最佳指标。结合βCTRW与最小轴径进一步提高了诊断效率。
本文章由计算机程序翻译,如有差异,请以英文原文为准。
求助全文
约1分钟内获得全文 求助全文
来源期刊
European Radiology Experimental
European Radiology Experimental Medicine-Radiology, Nuclear Medicine and Imaging
CiteScore
6.70
自引率
2.60%
发文量
56
审稿时长
18 weeks
×
引用
GB/T 7714-2015
复制
MLA
复制
APA
复制
导出至
BibTeX EndNote RefMan NoteFirst NoteExpress
×
提示
您的信息不完整,为了账户安全,请先补充。
现在去补充
×
提示
您因"违规操作"
具体请查看互助需知
我知道了
×
提示
确定
请完成安全验证×
copy
已复制链接
快去分享给好友吧!
我知道了
右上角分享
点击右上角分享
0
联系我们:info@booksci.cn Book学术提供免费学术资源搜索服务,方便国内外学者检索中英文文献。致力于提供最便捷和优质的服务体验。 Copyright © 2023 布克学术 All rights reserved.
京ICP备2023020795号-1
ghs 京公网安备 11010802042870号
Book学术文献互助
Book学术文献互助群
群 号:604180095
Book学术官方微信