Is it resistant? A case report of splenic endometriosis and review of the literature.

IF 0.9
Northern clinics of Istanbul Pub Date : 2025-04-25 eCollection Date: 2025-01-01 DOI:10.14744/nci.2024.86244
Ismail Ahmet Bilgin, Mustafa Bas, Nuray Bassullu, Ozgur Ozkayar, Nur Ramoglu, Ismail Hamzaoglu
{"title":"Is it resistant? A case report of splenic endometriosis and review of the literature.","authors":"Ismail Ahmet Bilgin, Mustafa Bas, Nuray Bassullu, Ozgur Ozkayar, Nur Ramoglu, Ismail Hamzaoglu","doi":"10.14744/nci.2024.86244","DOIUrl":null,"url":null,"abstract":"<p><p>Endometriosis is an estrogen-dependent benign disease that generally affects women at childbearing age. Despite its high incidence, pathogenesis of endometriosis is poorly clarified. There are several theories explaining the mechanism of disease such as retrograde menstruation, coelomic metaplasia, vascular and lymphatic metastasis. While endometriosis has been described in many intra- and extra-abdominal organs including the ovaries, omentum, colon, liver, lungs and brain, parenchymal splenic endometriosis is a rare situation. In recent years, with reported cases, this rare condition came onto the scene. We also wanted to present our case and question the idea of splenic immunity against endometriosis according to current literature. From now on, splenic endometriosis can be thought of as a differential diagnosis for unidentified lesions of spleen.</p>","PeriodicalId":94347,"journal":{"name":"Northern clinics of Istanbul","volume":"12 2","pages":"253-257"},"PeriodicalIF":0.9000,"publicationDate":"2025-04-25","publicationTypes":"Journal Article","fieldsOfStudy":null,"isOpenAccess":false,"openAccessPdf":"https://www.ncbi.nlm.nih.gov/pmc/articles/PMC12051008/pdf/","citationCount":"0","resultStr":null,"platform":"Semanticscholar","paperid":null,"PeriodicalName":"Northern clinics of Istanbul","FirstCategoryId":"1085","ListUrlMain":"https://doi.org/10.14744/nci.2024.86244","RegionNum":0,"RegionCategory":null,"ArticlePicture":[],"TitleCN":null,"AbstractTextCN":null,"PMCID":null,"EPubDate":"2025/1/1 0:00:00","PubModel":"eCollection","JCR":"","JCRName":"","Score":null,"Total":0}
引用次数: 0

Abstract

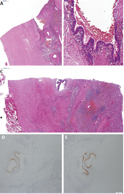
Endometriosis is an estrogen-dependent benign disease that generally affects women at childbearing age. Despite its high incidence, pathogenesis of endometriosis is poorly clarified. There are several theories explaining the mechanism of disease such as retrograde menstruation, coelomic metaplasia, vascular and lymphatic metastasis. While endometriosis has been described in many intra- and extra-abdominal organs including the ovaries, omentum, colon, liver, lungs and brain, parenchymal splenic endometriosis is a rare situation. In recent years, with reported cases, this rare condition came onto the scene. We also wanted to present our case and question the idea of splenic immunity against endometriosis according to current literature. From now on, splenic endometriosis can be thought of as a differential diagnosis for unidentified lesions of spleen.

Abstract Image

Abstract Image

它有抵抗力吗?脾子宫内膜异位症1例并文献复习。
子宫内膜异位症是一种依赖雌激素的良性疾病,通常影响育龄妇女。尽管发病率高,但子宫内膜异位症的发病机制尚不清楚。有几种理论解释疾病的机制,如月经逆行,体腔化生,血管和淋巴转移。虽然子宫内膜异位症已被描述在许多腹内和腹外器官,包括卵巢,网膜,结肠,肝脏,肺和脑,脾实质子宫内膜异位症是一种罕见的情况。近年来,随着报道的病例,这种罕见的情况出现了。我们也想提出我们的案例,并根据目前的文献质疑脾免疫对抗子宫内膜异位症的观点。从现在开始,脾脏子宫内膜异位症可以被认为是一种鉴别诊断的脾不明病变。
本文章由计算机程序翻译,如有差异,请以英文原文为准。
求助全文
约1分钟内获得全文 求助全文
来源期刊
自引率
0.00%
发文量
0
×
引用
GB/T 7714-2015
复制
MLA
复制
APA
复制
导出至
BibTeX EndNote RefMan NoteFirst NoteExpress
×
提示
您的信息不完整,为了账户安全,请先补充。
现在去补充
×
提示
您因"违规操作"
具体请查看互助需知
我知道了
×
提示
确定
请完成安全验证×
copy
已复制链接
快去分享给好友吧!
我知道了
右上角分享
点击右上角分享
0
联系我们:info@booksci.cn Book学术提供免费学术资源搜索服务,方便国内外学者检索中英文文献。致力于提供最便捷和优质的服务体验。 Copyright © 2023 布克学术 All rights reserved.
京ICP备2023020795号-1
ghs 京公网安备 11010802042870号
Book学术文献互助
Book学术文献互助群
群 号:604180095
Book学术官方微信