A novel approach to partial reduction of high-grade spondylolisthesis with offset rods - A report of two cases.

IF 1.3 Q2 OTORHINOLARYNGOLOGY
Saurabh Rawall, Zuhair Mohammed, Sean Taylor, Jacob Lepard, Sakthivel Rajaram Manoharan
{"title":"A novel approach to partial reduction of high-grade spondylolisthesis with offset rods - A report of two cases.","authors":"Saurabh Rawall, Zuhair Mohammed, Sean Taylor, Jacob Lepard, Sakthivel Rajaram Manoharan","doi":"10.4103/jcvjs.jcvjs_166_24","DOIUrl":null,"url":null,"abstract":"<p><p>High-grade spondylolisthesis (HGS) remains a difficult entity to treat, given the high rate of complications following surgical correction of such a spinal deformity. Reduction of spondylolisthesis may be associated with traction injury to the L5 nerve root due to stretching. We report on two cases of HGS where a novel surgical technique of offset rods was used for partial reduction of spondylolisthesis thereby reducing L5 nerve root traction. Both cases had more than 50% correction of translation with good correction of slip angle and satisfactory clinical outcomes were achieved at the final follow-up. In this study, we report on two cases of HGS treated with offset rod constructs. These rod constructs provide partial reduction, improving slip angle at the listhesis while reducing nerve root stress caused by full reduction and fixation. In comparison to previously described constructs, offset rods provide greater construct modularity and freedom to create constructs better suited to each patient's pathology.</p>","PeriodicalId":51721,"journal":{"name":"Journal of Craniovertebral Junction and Spine","volume":"16 1","pages":"118-122"},"PeriodicalIF":1.3000,"publicationDate":"2025-01-01","publicationTypes":"Journal Article","fieldsOfStudy":null,"isOpenAccess":false,"openAccessPdf":"https://www.ncbi.nlm.nih.gov/pmc/articles/PMC12029393/pdf/","citationCount":"0","resultStr":null,"platform":"Semanticscholar","paperid":null,"PeriodicalName":"Journal of Craniovertebral Junction and Spine","FirstCategoryId":"1085","ListUrlMain":"https://doi.org/10.4103/jcvjs.jcvjs_166_24","RegionNum":0,"RegionCategory":null,"ArticlePicture":[],"TitleCN":null,"AbstractTextCN":null,"PMCID":null,"EPubDate":"2025/4/1 0:00:00","PubModel":"Epub","JCR":"Q2","JCRName":"OTORHINOLARYNGOLOGY","Score":null,"Total":0}
引用次数: 0

Abstract

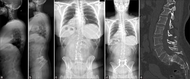
High-grade spondylolisthesis (HGS) remains a difficult entity to treat, given the high rate of complications following surgical correction of such a spinal deformity. Reduction of spondylolisthesis may be associated with traction injury to the L5 nerve root due to stretching. We report on two cases of HGS where a novel surgical technique of offset rods was used for partial reduction of spondylolisthesis thereby reducing L5 nerve root traction. Both cases had more than 50% correction of translation with good correction of slip angle and satisfactory clinical outcomes were achieved at the final follow-up. In this study, we report on two cases of HGS treated with offset rod constructs. These rod constructs provide partial reduction, improving slip angle at the listhesis while reducing nerve root stress caused by full reduction and fixation. In comparison to previously described constructs, offset rods provide greater construct modularity and freedom to create constructs better suited to each patient's pathology.

Abstract Image

Abstract Image

Abstract Image

一种用偏置棒部分复位高度椎体滑脱的新方法——附两例报告。
高度脊柱滑脱(HGS)仍然是一个难以治疗的实体,由于手术矫正这种脊柱畸形后的并发症发生率很高。腰椎滑脱的复位可能与L5神经根牵拉损伤有关。我们报告了两例HGS,其中一种新的手术技术偏移棒被用于部分复位椎体滑脱,从而减少L5神经根牵引。两例患者在最后随访时均取得了满意的临床效果,平移矫正率均在50%以上,滑移角矫正良好。在这项研究中,我们报告了两例HGS与偏置棒结构治疗。这些棒结构提供部分复位,改善滑脱时的滑移角,同时减少完全复位和固定引起的神经根应力。与先前描述的结构相比,偏移棒提供了更大的结构模块化和自由度,以创建更适合每个患者病理的结构。
本文章由计算机程序翻译,如有差异,请以英文原文为准。
求助全文
约1分钟内获得全文 求助全文
来源期刊
CiteScore
1.90
自引率
9.10%
发文量
57
审稿时长
12 weeks
×
引用
GB/T 7714-2015
复制
MLA
复制
APA
复制
导出至
BibTeX EndNote RefMan NoteFirst NoteExpress
×
提示
您的信息不完整,为了账户安全,请先补充。
现在去补充
×
提示
您因"违规操作"
具体请查看互助需知
我知道了
×
提示
确定
请完成安全验证×
copy
已复制链接
快去分享给好友吧!
我知道了
右上角分享
点击右上角分享
0
联系我们:info@booksci.cn Book学术提供免费学术资源搜索服务,方便国内外学者检索中英文文献。致力于提供最便捷和优质的服务体验。 Copyright © 2023 布克学术 All rights reserved.
京ICP备2023020795号-1
ghs 京公网安备 11010802042870号
Book学术文献互助
Book学术文献互助群
群 号:604180095
Book学术官方微信