Suprasellar Ectopic Pituitary Neuroendocrine Tumor Misdiagnosed as Pineal Parenchymal Tumor: A Case Report.

Seung-Bin Woo, Chang-Young Lee, Chang-Hyun Kim, Min-Yong Kwon, Jae Hyun Kim, Sang Pyo Kim, Sae Min Kwon
{"title":"Suprasellar Ectopic Pituitary Neuroendocrine Tumor Misdiagnosed as Pineal Parenchymal Tumor: A Case Report.","authors":"Seung-Bin Woo, Chang-Young Lee, Chang-Hyun Kim, Min-Yong Kwon, Jae Hyun Kim, Sang Pyo Kim, Sae Min Kwon","doi":"10.14791/btrt.2024.0044","DOIUrl":null,"url":null,"abstract":"<p><p>We report a rare and diagnostically challenging case of a 39-year-old male patient who presented with symptoms of dizziness and headaches, without any focal neurological symptoms. Initial imaging studies suggested a germ cell tumor, and an endoscopic biopsy led to a preliminary diagnosis of a pineal parenchymal tumor of intermediate differentiation. However, histological evaluation following surgical resection revealed the final diagnosis to be an ectopic pituitary neuroendocrine tumor (PitNET), a condition that is exceedingly rare. Ectopic PitNETs are uncommon tumors that develop outside the normal anatomical location of the pituitary gland. Their atypical presentation often leads to misdiagnosis as other intracranial neoplasms. This case highlights the diagnostic challenges posed by ectopic PitNETs and contributes to the limited literature on this rare condition. It underscores the importance of maintaining a broad differential diagnosis in patients presenting with atypical intracranial neoplasms.</p>","PeriodicalId":72453,"journal":{"name":"Brain tumor research and treatment","volume":"13 2","pages":"53-57"},"PeriodicalIF":0.0000,"publicationDate":"2025-04-01","publicationTypes":"Journal Article","fieldsOfStudy":null,"isOpenAccess":false,"openAccessPdf":"https://www.ncbi.nlm.nih.gov/pmc/articles/PMC12070077/pdf/","citationCount":"0","resultStr":null,"platform":"Semanticscholar","paperid":null,"PeriodicalName":"Brain tumor research and treatment","FirstCategoryId":"1085","ListUrlMain":"https://doi.org/10.14791/btrt.2024.0044","RegionNum":0,"RegionCategory":null,"ArticlePicture":[],"TitleCN":null,"AbstractTextCN":null,"PMCID":null,"EPubDate":"","PubModel":"","JCR":"","JCRName":"","Score":null,"Total":0}
引用次数: 0

Abstract

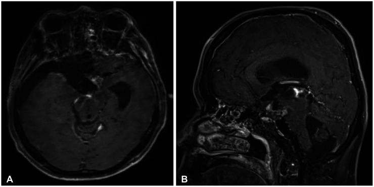
We report a rare and diagnostically challenging case of a 39-year-old male patient who presented with symptoms of dizziness and headaches, without any focal neurological symptoms. Initial imaging studies suggested a germ cell tumor, and an endoscopic biopsy led to a preliminary diagnosis of a pineal parenchymal tumor of intermediate differentiation. However, histological evaluation following surgical resection revealed the final diagnosis to be an ectopic pituitary neuroendocrine tumor (PitNET), a condition that is exceedingly rare. Ectopic PitNETs are uncommon tumors that develop outside the normal anatomical location of the pituitary gland. Their atypical presentation often leads to misdiagnosis as other intracranial neoplasms. This case highlights the diagnostic challenges posed by ectopic PitNETs and contributes to the limited literature on this rare condition. It underscores the importance of maintaining a broad differential diagnosis in patients presenting with atypical intracranial neoplasms.

Abstract Image

Abstract Image

Abstract Image

鞍上异位垂体神经内分泌肿瘤误诊为松果体实质肿瘤1例。
我们报告一个罕见的和诊断具有挑战性的病例,39岁的男性患者谁提出头晕和头痛的症状,没有任何局灶性神经症状。初步影像学检查提示为生殖细胞肿瘤,内镜活检初步诊断为中度分化的松果体实质肿瘤。然而,手术切除后的组织学评估显示最终诊断为异位垂体神经内分泌肿瘤(PitNET),这是一种非常罕见的疾病。异位PitNETs是一种少见的肿瘤,发生在垂体正常解剖位置之外。其不典型的表现常导致误诊为其他颅内肿瘤。本病例突出了异位PitNETs所带来的诊断挑战,并对这种罕见疾病的有限文献做出了贡献。它强调了在不典型颅内肿瘤患者中维持广泛鉴别诊断的重要性。
本文章由计算机程序翻译,如有差异,请以英文原文为准。
求助全文
约1分钟内获得全文 求助全文
来源期刊
自引率
0.00%
发文量
0
×
引用
GB/T 7714-2015
复制
MLA
复制
APA
复制
导出至
BibTeX EndNote RefMan NoteFirst NoteExpress
×
提示
您的信息不完整,为了账户安全,请先补充。
现在去补充
×
提示
您因"违规操作"
具体请查看互助需知
我知道了
×
提示
确定
请完成安全验证×
copy
已复制链接
快去分享给好友吧!
我知道了
右上角分享
点击右上角分享
0
联系我们:info@booksci.cn Book学术提供免费学术资源搜索服务,方便国内外学者检索中英文文献。致力于提供最便捷和优质的服务体验。 Copyright © 2023 布克学术 All rights reserved.
京ICP备2023020795号-1
ghs 京公网安备 11010802042870号
Book学术文献互助
Book学术文献互助群
群 号:604180095
Book学术官方微信