Heterotopic Pancreas Masquerading as Omental Nodule on FAPI PET/CT.

IF 0.5 Q4 RADIOLOGY, NUCLEAR MEDICINE & MEDICAL IMAGING
Indian Journal of Nuclear Medicine Pub Date : 2024-11-01 Epub Date: 2025-03-20 DOI:10.4103/ijnm.ijnm_140_23
Shrikant Vasantrao Solav, Shailendra Vasant Savale, Hemant Bhagwan Raundale, Vijaykumar Revansidha Keskar
{"title":"Heterotopic Pancreas Masquerading as Omental Nodule on FAPI PET/CT.","authors":"Shrikant Vasantrao Solav, Shailendra Vasant Savale, Hemant Bhagwan Raundale, Vijaykumar Revansidha Keskar","doi":"10.4103/ijnm.ijnm_140_23","DOIUrl":null,"url":null,"abstract":"<p><p>Chylous ascites, attributed to various etiologies including malignancy, tuberculosis, ruptured lymphatics, and congenital lymphatic disorders, manifests as abdominal distension. Our patient presented with this condition, and an elevated CA 125 prompted further investigation. Flourine-18 fluorodeoxyglucose positron emission tomography/computed tomography (PET-CT) revealed a metabolically inactive omental nodule, while gallium 68 fibroblast activation protein inhibitor (Ga-68-FAPI) PET-CT demonstrated uptake in the same nodule and low-grade uptake in bilateral adnexae. Colloid liver scan ruled out chronic liver disease. Surprisingly, lymphoscintigraphy showed no lymphatic leak. Histological examination of the omental nodule confirmed heterotopic pancreas (HP) in the small bowel mesentery, with normal adnexae. This case report illuminates the diagnostic challenges entailed in HP and signifies a pioneering instance in the literature where evidence of HP was identified for the first time on Ga-68-FAPI PET-CT during the investigative process.</p>","PeriodicalId":45830,"journal":{"name":"Indian Journal of Nuclear Medicine","volume":"39 6","pages":"441-444"},"PeriodicalIF":0.5000,"publicationDate":"2024-11-01","publicationTypes":"Journal Article","fieldsOfStudy":null,"isOpenAccess":false,"openAccessPdf":"https://www.ncbi.nlm.nih.gov/pmc/articles/PMC12020968/pdf/","citationCount":"0","resultStr":null,"platform":"Semanticscholar","paperid":null,"PeriodicalName":"Indian Journal of Nuclear Medicine","FirstCategoryId":"1085","ListUrlMain":"https://doi.org/10.4103/ijnm.ijnm_140_23","RegionNum":0,"RegionCategory":null,"ArticlePicture":[],"TitleCN":null,"AbstractTextCN":null,"PMCID":null,"EPubDate":"2025/3/20 0:00:00","PubModel":"Epub","JCR":"Q4","JCRName":"RADIOLOGY, NUCLEAR MEDICINE & MEDICAL IMAGING","Score":null,"Total":0}
引用次数: 0

Abstract

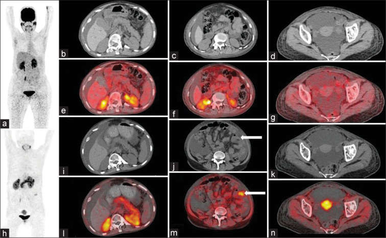
Chylous ascites, attributed to various etiologies including malignancy, tuberculosis, ruptured lymphatics, and congenital lymphatic disorders, manifests as abdominal distension. Our patient presented with this condition, and an elevated CA 125 prompted further investigation. Flourine-18 fluorodeoxyglucose positron emission tomography/computed tomography (PET-CT) revealed a metabolically inactive omental nodule, while gallium 68 fibroblast activation protein inhibitor (Ga-68-FAPI) PET-CT demonstrated uptake in the same nodule and low-grade uptake in bilateral adnexae. Colloid liver scan ruled out chronic liver disease. Surprisingly, lymphoscintigraphy showed no lymphatic leak. Histological examination of the omental nodule confirmed heterotopic pancreas (HP) in the small bowel mesentery, with normal adnexae. This case report illuminates the diagnostic challenges entailed in HP and signifies a pioneering instance in the literature where evidence of HP was identified for the first time on Ga-68-FAPI PET-CT during the investigative process.

Abstract Image

Abstract Image

异位胰腺在FAPI PET/CT上伪装成大网膜结节。
乳糜腹水的病因多种多样,包括恶性肿瘤、肺结核、淋巴管破裂和先天性淋巴管疾病,表现为腹胀。我们的患者出现了这种情况,ca125升高促使进一步的调查。氟-18氟脱氧葡萄糖正电子发射断层扫描/计算机断层扫描(PET-CT)显示代谢不活跃的网膜结节,而镓68成纤维细胞激活蛋白抑制剂(Ga-68-FAPI) PET-CT显示同一结节摄取,双侧附件低级别摄取。胶体肝扫描排除了慢性肝病。令人惊讶的是,淋巴显像显示没有淋巴渗漏。网膜结节的组织学检查证实小肠肠系膜异位胰腺(HP),附件正常。本病例报告阐明了HP所涉及的诊断挑战,并标志着文献中的开创性实例,在调查过程中首次在Ga-68-FAPI PET-CT上发现了HP的证据。
本文章由计算机程序翻译,如有差异,请以英文原文为准。
求助全文
约1分钟内获得全文 求助全文
来源期刊
Indian Journal of Nuclear Medicine
Indian Journal of Nuclear Medicine RADIOLOGY, NUCLEAR MEDICINE & MEDICAL IMAGING-
CiteScore
0.70
自引率
0.00%
发文量
46
×
引用
GB/T 7714-2015
复制
MLA
复制
APA
复制
导出至
BibTeX EndNote RefMan NoteFirst NoteExpress
×
提示
您的信息不完整,为了账户安全,请先补充。
现在去补充
×
提示
您因"违规操作"
具体请查看互助需知
我知道了
×
提示
确定
请完成安全验证×
copy
已复制链接
快去分享给好友吧!
我知道了
右上角分享
点击右上角分享
0
联系我们:info@booksci.cn Book学术提供免费学术资源搜索服务,方便国内外学者检索中英文文献。致力于提供最便捷和优质的服务体验。 Copyright © 2023 布克学术 All rights reserved.
京ICP备2023020795号-1
ghs 京公网安备 11010802042870号
Book学术文献互助
Book学术文献互助群
群 号:604180095
Book学术官方微信