Adrenocortical carcinoma classified as benign: the limitations of washout values.

IF 0.7 Q4 ENDOCRINOLOGY & METABOLISM
P S Yap, S Philip, A J Graveling, D McAteer, S Aspinall, P Abraham
{"title":"Adrenocortical carcinoma classified as benign: the limitations of washout values.","authors":"P S Yap, S Philip, A J Graveling, D McAteer, S Aspinall, P Abraham","doi":"10.1530/EDM-24-0022","DOIUrl":null,"url":null,"abstract":"<p><strong>Summary: </strong>The new European Society of Endocrinology guidelines on the management of adrenal incidentalomas suggest discussion in a multidisciplinary meeting and consideration of additional imaging for homogenous lesions with a density >20 Hounsfield units (HU) and size <4 cm. We report a case of a 29-year-old woman who presented with benign-looking lesion on CT adrenals based on washout values, which was diagnosed as malignant on subsequent imaging. Initial hormonal work-up was normal. Two years later, the lesion had grown to 17 × 11 cm. Repeat hormonal work-up showed a raised urinary steroid profile and androstenedione along with an abnormal overnight dexamethasone suppression test. Our case report highlights a lesion being classified as benign based on washout recommendations subsequently diagnosed as adrenocortical carcinoma. We have reviewed our current clinical cohort and literature to assess the impact of the updated European guidelines on our practice, with particular reference to the use of HU.</p><p><strong>Learning points: </strong>For the assessment of adrenal incidentalomas, CT washout values have limitations and should be interpreted with caution. Additional imaging may be required for lesions above 10 HU and this can vary according to centre expertise and availability. An adrenal lesion with a high HU value warrants follow-up imaging even if post-contrast washout values favour an adenoma. Adrenal incidentaloma are less common in younger patients, but are more likely to be clinically significant and/or malignant, so clinicians should have a lower threshold for surgery or interval imaging in indeterminate cases.</p>","PeriodicalId":37467,"journal":{"name":"Endocrinology, Diabetes and Metabolism Case Reports","volume":"2025 2","pages":""},"PeriodicalIF":0.7000,"publicationDate":"2025-04-24","publicationTypes":"Journal Article","fieldsOfStudy":null,"isOpenAccess":false,"openAccessPdf":"https://www.ncbi.nlm.nih.gov/pmc/articles/PMC12056488/pdf/","citationCount":"0","resultStr":null,"platform":"Semanticscholar","paperid":null,"PeriodicalName":"Endocrinology, Diabetes and Metabolism Case Reports","FirstCategoryId":"1085","ListUrlMain":"https://doi.org/10.1530/EDM-24-0022","RegionNum":0,"RegionCategory":null,"ArticlePicture":[],"TitleCN":null,"AbstractTextCN":null,"PMCID":null,"EPubDate":"2025/4/1 0:00:00","PubModel":"Print","JCR":"Q4","JCRName":"ENDOCRINOLOGY & METABOLISM","Score":null,"Total":0}
引用次数: 0

Abstract

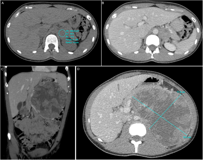
Summary: The new European Society of Endocrinology guidelines on the management of adrenal incidentalomas suggest discussion in a multidisciplinary meeting and consideration of additional imaging for homogenous lesions with a density >20 Hounsfield units (HU) and size <4 cm. We report a case of a 29-year-old woman who presented with benign-looking lesion on CT adrenals based on washout values, which was diagnosed as malignant on subsequent imaging. Initial hormonal work-up was normal. Two years later, the lesion had grown to 17 × 11 cm. Repeat hormonal work-up showed a raised urinary steroid profile and androstenedione along with an abnormal overnight dexamethasone suppression test. Our case report highlights a lesion being classified as benign based on washout recommendations subsequently diagnosed as adrenocortical carcinoma. We have reviewed our current clinical cohort and literature to assess the impact of the updated European guidelines on our practice, with particular reference to the use of HU.

Learning points: For the assessment of adrenal incidentalomas, CT washout values have limitations and should be interpreted with caution. Additional imaging may be required for lesions above 10 HU and this can vary according to centre expertise and availability. An adrenal lesion with a high HU value warrants follow-up imaging even if post-contrast washout values favour an adenoma. Adrenal incidentaloma are less common in younger patients, but are more likely to be clinically significant and/or malignant, so clinicians should have a lower threshold for surgery or interval imaging in indeterminate cases.

Abstract Image

Abstract Image

肾上腺皮质癌分类为良性:洗脱值的局限性。
摘要:新的欧洲内分泌学会关于肾上腺偶发瘤处理的指南建议在多学科会议上讨论,并考虑对密度为20 Hounsfield单位(HU)和大小的均质病变进行额外的影像学检查。学习要点:对于肾上腺偶发瘤的评估,CT洗净值有局限性,应谨慎解释。高于10hu的病变可能需要额外的成像,这可能根据中心的专业知识和可用性而有所不同。高HU值的肾上腺病变需要随访成像,即使对比后冲洗值倾向于腺瘤。肾上腺偶发瘤在年轻患者中较少见,但更有可能具有临床意义和/或恶性,因此临床医生在不确定病例中应降低手术或间隔成像的阈值。
本文章由计算机程序翻译,如有差异,请以英文原文为准。
求助全文
约1分钟内获得全文 求助全文
来源期刊
CiteScore
1.50
自引率
0.00%
发文量
142
审稿时长
9 weeks
期刊介绍: Endocrinology, Diabetes & Metabolism Case Reports publishes case reports on common and rare conditions in all areas of clinical endocrinology, diabetes and metabolism. Articles should include clear learning points which readers can use to inform medical education or clinical practice. The types of cases of interest to Endocrinology, Diabetes & Metabolism Case Reports include: -Insight into disease pathogenesis or mechanism of therapy - Novel diagnostic procedure - Novel treatment - Unique/unexpected symptoms or presentations of a disease - New disease or syndrome: presentations/diagnosis/management - Unusual effects of medical treatment - Error in diagnosis/pitfalls and caveats
×
引用
GB/T 7714-2015
复制
MLA
复制
APA
复制
导出至
BibTeX EndNote RefMan NoteFirst NoteExpress
×
提示
您的信息不完整,为了账户安全,请先补充。
现在去补充
×
提示
您因"违规操作"
具体请查看互助需知
我知道了
×
提示
确定
请完成安全验证×
copy
已复制链接
快去分享给好友吧!
我知道了
右上角分享
点击右上角分享
0
联系我们:info@booksci.cn Book学术提供免费学术资源搜索服务,方便国内外学者检索中英文文献。致力于提供最便捷和优质的服务体验。 Copyright © 2023 布克学术 All rights reserved.
京ICP备2023020795号-1
ghs 京公网安备 11010802042870号
Book学术文献互助
Book学术文献互助群
群 号:604180095
Book学术官方微信