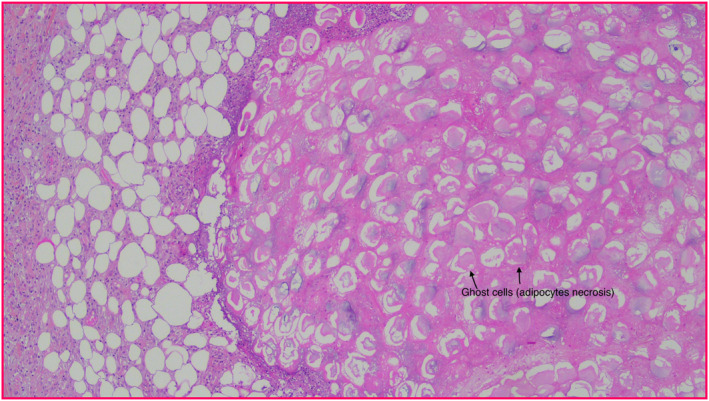
Pancreatic Panniculitis Without Pancreatopathy: A Rare Complication of Splenic Vein Stenting for Portal Hypertension in Myeloproliferative Syndrome.

IF 6.7 2区 医学 Q1 GASTROENTEROLOGY & HEPATOLOGY
United European Gastroenterology Journal Pub Date : 2025-07-01 Epub Date: 2025-05-12 DOI:10.1002/ueg2.70046
Eliza Butnaru, Solène Tran Van, Franck Brazier, Clara Yzet
{"title":"Pancreatic Panniculitis Without Pancreatopathy: A Rare Complication of Splenic Vein Stenting for Portal Hypertension in Myeloproliferative Syndrome.","authors":"Eliza Butnaru, Solène Tran Van, Franck Brazier, Clara Yzet","doi":"10.1002/ueg2.70046","DOIUrl":null,"url":null,"abstract":"","PeriodicalId":23444,"journal":{"name":"United European Gastroenterology Journal","volume":" ","pages":"1031-1032"},"PeriodicalIF":6.7000,"publicationDate":"2025-07-01","publicationTypes":"Journal Article","fieldsOfStudy":null,"isOpenAccess":false,"openAccessPdf":"https://www.ncbi.nlm.nih.gov/pmc/articles/PMC12269732/pdf/","citationCount":"0","resultStr":null,"platform":"Semanticscholar","paperid":null,"PeriodicalName":"United European Gastroenterology Journal","FirstCategoryId":"3","ListUrlMain":"https://doi.org/10.1002/ueg2.70046","RegionNum":2,"RegionCategory":"医学","ArticlePicture":[],"TitleCN":null,"AbstractTextCN":null,"PMCID":null,"EPubDate":"2025/5/12 0:00:00","PubModel":"Epub","JCR":"Q1","JCRName":"GASTROENTEROLOGY & HEPATOLOGY","Score":null,"Total":0}
引用次数: 0

Abstract Image

Abstract Image

Abstract Image

无胰腺病变的胰膜炎:骨髓增生综合征门静脉高压脾静脉支架置入术中一种罕见的并发症。
本文章由计算机程序翻译,如有差异,请以英文原文为准。
求助全文
约1分钟内获得全文 求助全文
来源期刊
United European Gastroenterology Journal
United European Gastroenterology Journal GASTROENTEROLOGY & HEPATOLOGY-
CiteScore
10.50
自引率
13.30%
发文量
147
期刊介绍: United European Gastroenterology Journal (UEG Journal) is the official Journal of the United European Gastroenterology (UEG), a professional non-profit organisation combining all the leading European societies concerned with digestive disease. UEG’s member societies represent over 22,000 specialists working across medicine, surgery, paediatrics, GI oncology and endoscopy, which makes UEG a unique platform for collaboration and the exchange of knowledge.
×
引用
GB/T 7714-2015
复制
MLA
复制
APA
复制
导出至
BibTeX EndNote RefMan NoteFirst NoteExpress
×
提示
您的信息不完整,为了账户安全,请先补充。
现在去补充
×
提示
您因"违规操作"
具体请查看互助需知
我知道了
×
提示
确定
请完成安全验证×
copy
已复制链接
快去分享给好友吧!
我知道了
右上角分享
点击右上角分享
0
联系我们:info@booksci.cn Book学术提供免费学术资源搜索服务,方便国内外学者检索中英文文献。致力于提供最便捷和优质的服务体验。 Copyright © 2023 布克学术 All rights reserved.
京ICP备2023020795号-1
ghs 京公网安备 11010802042870号
Book学术文献互助
Book学术文献互助群
群 号:604180095
Book学术官方微信