Imaging of Peripheral Arthritis: Special Focus on Differences in Inflammatory Lesions Between Rheumatoid Arthritis and Psoriatic Arthritis.

IF 5.3 2区 医学 Q1 RADIOLOGY, NUCLEAR MEDICINE & MEDICAL IMAGING
Korean Journal of Radiology Pub Date : 2025-06-01 Epub Date: 2025-04-29 DOI:10.3348/kjr.2025.0036
Takeshi Fukuda, Akira Ogihara, Shunsuke Kisaki, Mami Momose, Yoshinori Umezawa, Akihiko Asahina, Hiroya Ojiri
{"title":"Imaging of Peripheral Arthritis: Special Focus on Differences in Inflammatory Lesions Between Rheumatoid Arthritis and Psoriatic Arthritis.","authors":"Takeshi Fukuda, Akira Ogihara, Shunsuke Kisaki, Mami Momose, Yoshinori Umezawa, Akihiko Asahina, Hiroya Ojiri","doi":"10.3348/kjr.2025.0036","DOIUrl":null,"url":null,"abstract":"<p><p>Differentiating rheumatoid arthritis (RA) and psoriatic arthritis (PsA) remains challenging, particularly when clinical and serological markers are inconclusive. Imaging provides critical insights, with MRI and dual-energy CT iodine maps highlighting key distinctions. Both conditions share inflammatory features such as capsular synovitis, tenosynovitis, and bone marrow edema. However, periarticular inflammation is often a strong indicator of PsA. This reflects their differing inflammatory targets: RA primarily involves the synovium, whereas PsA targets the enthesis. This distinction contributes to the broader bone marrow edema seen in PsA and explains inflammatory changes at the distal interphalangeal joint and dactylitis, which are characteristic of PsA but not RA. Recognizing these inflammatory patterns and distributions is essential for accurate diagnosis and treatment guidance.</p>","PeriodicalId":17881,"journal":{"name":"Korean Journal of Radiology","volume":" ","pages":"569-580"},"PeriodicalIF":5.3000,"publicationDate":"2025-06-01","publicationTypes":"Journal Article","fieldsOfStudy":null,"isOpenAccess":false,"openAccessPdf":"https://www.ncbi.nlm.nih.gov/pmc/articles/PMC12123072/pdf/","citationCount":"0","resultStr":null,"platform":"Semanticscholar","paperid":null,"PeriodicalName":"Korean Journal of Radiology","FirstCategoryId":"3","ListUrlMain":"https://doi.org/10.3348/kjr.2025.0036","RegionNum":2,"RegionCategory":"医学","ArticlePicture":[],"TitleCN":null,"AbstractTextCN":null,"PMCID":null,"EPubDate":"2025/4/29 0:00:00","PubModel":"Epub","JCR":"Q1","JCRName":"RADIOLOGY, NUCLEAR MEDICINE & MEDICAL IMAGING","Score":null,"Total":0}
引用次数: 0

Abstract

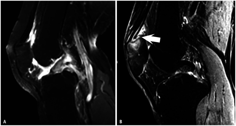
Differentiating rheumatoid arthritis (RA) and psoriatic arthritis (PsA) remains challenging, particularly when clinical and serological markers are inconclusive. Imaging provides critical insights, with MRI and dual-energy CT iodine maps highlighting key distinctions. Both conditions share inflammatory features such as capsular synovitis, tenosynovitis, and bone marrow edema. However, periarticular inflammation is often a strong indicator of PsA. This reflects their differing inflammatory targets: RA primarily involves the synovium, whereas PsA targets the enthesis. This distinction contributes to the broader bone marrow edema seen in PsA and explains inflammatory changes at the distal interphalangeal joint and dactylitis, which are characteristic of PsA but not RA. Recognizing these inflammatory patterns and distributions is essential for accurate diagnosis and treatment guidance.

Abstract Image

Abstract Image

Abstract Image

外周关节炎的影像学:特别关注类风湿关节炎和银屑病关节炎炎症病变的差异。
鉴别类风湿关节炎(RA)和银屑病关节炎(PsA)仍然具有挑战性,特别是当临床和血清学标志物不确定时。成像提供了关键的见解,MRI和双能CT碘图突出了关键的区别。这两种疾病都有炎症特征,如囊性滑膜炎、腱鞘炎和骨髓水肿。然而,关节周围的炎症往往是PsA的一个强有力的指标。这反映了它们不同的炎症靶点:RA主要累及滑膜,而PsA主要累及椎体。这一区别有助于PsA更广泛的骨髓水肿,并解释了远端指间关节和指趾炎的炎症变化,这是PsA的特征,而不是RA的特征。识别这些炎症模式和分布对于准确的诊断和治疗指导至关重要。
本文章由计算机程序翻译,如有差异,请以英文原文为准。
求助全文
约1分钟内获得全文 求助全文
来源期刊
Korean Journal of Radiology
Korean Journal of Radiology 医学-核医学
CiteScore
10.60
自引率
12.50%
发文量
141
审稿时长
1.3 months
期刊介绍: The inaugural issue of the Korean J Radiol came out in March 2000. Our journal aims to produce and propagate knowledge on radiologic imaging and related sciences. A unique feature of the articles published in the Journal will be their reflection of global trends in radiology combined with an East-Asian perspective. Geographic differences in disease prevalence will be reflected in the contents of papers, and this will serve to enrich our body of knowledge. World''s outstanding radiologists from many countries are serving as editorial board of our journal.
×
引用
GB/T 7714-2015
复制
MLA
复制
APA
复制
导出至
BibTeX EndNote RefMan NoteFirst NoteExpress
×
提示
您的信息不完整,为了账户安全,请先补充。
现在去补充
×
提示
您因"违规操作"
具体请查看互助需知
我知道了
×
提示
确定
请完成安全验证×
copy
已复制链接
快去分享给好友吧!
我知道了
右上角分享
点击右上角分享
0
联系我们:info@booksci.cn Book学术提供免费学术资源搜索服务,方便国内外学者检索中英文文献。致力于提供最便捷和优质的服务体验。 Copyright © 2023 布克学术 All rights reserved.
京ICP备2023020795号-1
ghs 京公网安备 11010802042870号
Book学术文献互助
Book学术文献互助群
群 号:604180095
Book学术官方微信