Revisiting Virchow`s Node: Exploring the Diagnostic Spectrum of the Supraclavicular Lymph Node Through Fine-Needle Aspiration Cytology in a Tertiary Care Hospital.

IF 2.1 Q4 PATHOLOGY
Sumaira Qayoom, Nida Shabbir, Mala Sagar, Riddhi Jaiswal, Naseem Akhtar, Madhu Kumar
{"title":"Revisiting Virchow`s Node: Exploring the Diagnostic Spectrum of the Supraclavicular Lymph Node Through Fine-Needle Aspiration Cytology in a Tertiary Care Hospital.","authors":"Sumaira Qayoom, Nida Shabbir, Mala Sagar, Riddhi Jaiswal, Naseem Akhtar, Madhu Kumar","doi":"10.5146/tjpath.2025.13817","DOIUrl":null,"url":null,"abstract":"<p><strong>Objective: </strong>Virchow`s node, described in 1848, represents a metastasis to the left supraclavicular lymph node, commonly arising from gastric cancer. However, in regions with lower gastric cancer incidence, the relevance of Virchow`s node and the spectrum of diagnosis associated with supraclavicular lymphadenopathy (SCLAP) needs reevaluation. This study aimed to analyze the spectrum of fine-needle aspiration cytology (FNAC) at a tertiary care institute.</p><p><strong>Material and methods: </strong>We retrospectively reviewed all supraclavicular lymph node aspirations performed between March 2019 and August 2022. Data were collected from the Department of Pathology`s electronic records and descriptive analyses were performed.</p><p><strong>Results: </strong>Out of 270 FNAC procedures for SCLAP, 50 were non-diagnostic. Of the 220 patients, cytological diagnosis was categorized as metastatic malignancy in 120 (54.5%) patients, granulomatous lymphadenitis in 57 (25.9%), reactive lymphadenitis in 11 (5.0%), acute suppurative lymphadenitis in 21 (9.5%), and lymphoproliferative disorder in 10 (4.54%) patients. Among the 120 metastatic cases, the most common type was adenocarcinoma (58.3%). The most common primary site was the lung (22.5%), oral cavity (19.2%), breast (12.5%), and gallbladder (10%). Primary gut carcinomas constitute only 9% of supraclavicular lymph node metastases.</p><p><strong>Conclusion: </strong>The findings suggest a need to reconsider the clinical significance of Virchow`s node, especially in regions with different cancer epidemiology. FNAC remains a critical diagnostic tool in evaluating SCLAP.</p>","PeriodicalId":45415,"journal":{"name":"Turkish Journal of Pathology","volume":"1 1","pages":"59-64"},"PeriodicalIF":2.1000,"publicationDate":"2025-01-01","publicationTypes":"Journal Article","fieldsOfStudy":null,"isOpenAccess":false,"openAccessPdf":"https://www.ncbi.nlm.nih.gov/pmc/articles/PMC12206398/pdf/","citationCount":"0","resultStr":null,"platform":"Semanticscholar","paperid":null,"PeriodicalName":"Turkish Journal of Pathology","FirstCategoryId":"1085","ListUrlMain":"https://doi.org/10.5146/tjpath.2025.13817","RegionNum":0,"RegionCategory":null,"ArticlePicture":[],"TitleCN":null,"AbstractTextCN":null,"PMCID":null,"EPubDate":"","PubModel":"","JCR":"Q4","JCRName":"PATHOLOGY","Score":null,"Total":0}
引用次数: 0

Abstract

Objective: Virchow`s node, described in 1848, represents a metastasis to the left supraclavicular lymph node, commonly arising from gastric cancer. However, in regions with lower gastric cancer incidence, the relevance of Virchow`s node and the spectrum of diagnosis associated with supraclavicular lymphadenopathy (SCLAP) needs reevaluation. This study aimed to analyze the spectrum of fine-needle aspiration cytology (FNAC) at a tertiary care institute.

Material and methods: We retrospectively reviewed all supraclavicular lymph node aspirations performed between March 2019 and August 2022. Data were collected from the Department of Pathology`s electronic records and descriptive analyses were performed.

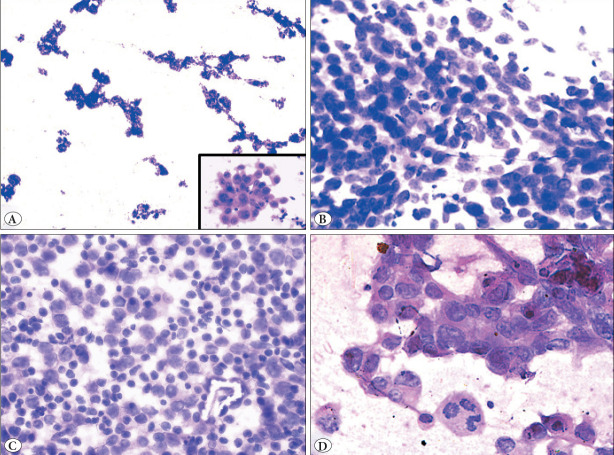
Results: Out of 270 FNAC procedures for SCLAP, 50 were non-diagnostic. Of the 220 patients, cytological diagnosis was categorized as metastatic malignancy in 120 (54.5%) patients, granulomatous lymphadenitis in 57 (25.9%), reactive lymphadenitis in 11 (5.0%), acute suppurative lymphadenitis in 21 (9.5%), and lymphoproliferative disorder in 10 (4.54%) patients. Among the 120 metastatic cases, the most common type was adenocarcinoma (58.3%). The most common primary site was the lung (22.5%), oral cavity (19.2%), breast (12.5%), and gallbladder (10%). Primary gut carcinomas constitute only 9% of supraclavicular lymph node metastases.

Conclusion: The findings suggest a need to reconsider the clinical significance of Virchow`s node, especially in regions with different cancer epidemiology. FNAC remains a critical diagnostic tool in evaluating SCLAP.

Abstract Image

重访Virchow淋巴结:探讨三级医院锁骨上淋巴结的细针吸细胞学诊断谱。
目的:Virchow淋巴结于1848年被描述为左锁骨上淋巴结的转移,通常起源于胃癌。然而,在胃癌发病率较低的地区,与锁骨上淋巴结病(SCLAP)相关的Virchow 's结和诊断谱的相关性需要重新评估。本研究的目的是分析细针吸细胞学谱(FNAC)在三级保健机构。材料和方法:我们回顾性分析了2019年3月至2022年8月期间进行的所有锁骨上淋巴结清扫手术。数据收集自病理科的电子记录,并进行描述性分析。结果:在270例srap的FNAC手术中,有50例是非诊断性的。在220例患者中,细胞学诊断为转移性恶性肿瘤120例(54.5%),肉芽肿性淋巴结炎57例(25.9%),反应性淋巴结炎11例(5.0%),急性化脓性淋巴结炎21例(9.5%),淋巴细胞增生性疾病10例(4.54%)。在120例转移病例中,最常见的转移类型是腺癌(58.3%)。最常见的原发部位是肺(22.5%)、口腔(19.2%)、乳房(12.5%)和胆囊(10%)。原发性肠道癌仅占锁骨上淋巴结转移的9%。结论:研究结果提示需要重新考虑Virchow淋巴结的临床意义,特别是在不同癌症流行病学的地区。FNAC仍然是评估srap的关键诊断工具。
本文章由计算机程序翻译,如有差异,请以英文原文为准。
求助全文
约1分钟内获得全文 求助全文
来源期刊
CiteScore
1.90
自引率
10.00%
发文量
23
审稿时长
14 weeks
×
引用
GB/T 7714-2015
复制
MLA
复制
APA
复制
导出至
BibTeX EndNote RefMan NoteFirst NoteExpress
×
提示
您的信息不完整,为了账户安全,请先补充。
现在去补充
×
提示
您因"违规操作"
具体请查看互助需知
我知道了
×
提示
确定
请完成安全验证×
copy
已复制链接
快去分享给好友吧!
我知道了
右上角分享
点击右上角分享
0
联系我们:info@booksci.cn Book学术提供免费学术资源搜索服务,方便国内外学者检索中英文文献。致力于提供最便捷和优质的服务体验。 Copyright © 2023 布克学术 All rights reserved.
京ICP备2023020795号-1
ghs 京公网安备 11010802042870号
Book学术文献互助
Book学术文献互助群
群 号:604180095
Book学术官方微信