Delayed Hemorrhage Following Needle Aspiration for a Mediastinal Cyst: The Significance of Confronting Upside-Down Video-Assisted Thoracic Surgery Under Two-Lung Ventilation.

IF 0.7 Q4 SURGERY
Surgical Case Reports Pub Date : 2025-01-01 Epub Date: 2025-04-29 DOI:10.70352/scrj.cr.25-0134
Eri Ueda, Tomonari Oki, Shuhei Iizuka, Yoshifumi Kunii, Yoshiro Otsuki, Toru Nakamura
{"title":"Delayed Hemorrhage Following Needle Aspiration for a Mediastinal Cyst: The Significance of Confronting Upside-Down Video-Assisted Thoracic Surgery Under Two-Lung Ventilation.","authors":"Eri Ueda, Tomonari Oki, Shuhei Iizuka, Yoshifumi Kunii, Yoshiro Otsuki, Toru Nakamura","doi":"10.70352/scrj.cr.25-0134","DOIUrl":null,"url":null,"abstract":"<p><strong>Introduction: </strong>Surgical resection remains the gold standard for managing mediastinal cysts, including bronchogenic cysts, whereas needle aspiration serves as an alternative option that can facilitate preoperative volume reduction or, in certain selected cases, serve as a definitive treatment. However, it may lead to rare but potentially life-threatening complications such as mediastinitis; therefore, its indication should be carefully considered. This report details a case of a delayed intracystic hemorrhage 3 days after an endoscopic ultrasound-guided fine-needle aspiration (EUS-FNA), requiring emergency surgery with venoarterial extracorporeal membrane oxygenation (V-A ECMO) on standby, which was successfully managed using a confronting upside-down video-assisted thoracoscopic surgery (VATS) approach.</p><p><strong>Case presentation: </strong>A 64-year-old woman with exertional dyspnea was diagnosed with a superior mediastinal cyst compressing the trachea and esophagus. Preoperative EUS-FNA was performed to reduce the cyst volume and any mitigate potential complications during anesthesia induction. Three days later, she developed dyspnea due to a delayed intracystic hemorrhage, necessitating emergency surgery. VATS with a confronting upside-down monitor setup was performed under standby V-A ECMO. Despite a limited surgical field under 2-lung ventilation, a confronting upside-down VATS approach allowed sufficient visualization and maneuverability. The patient had an uneventful recovery, with no recurrence at 3 months.</p><p><strong>Conclusions: </strong>A delayed intracystic hemorrhage is a potential risk following an EUS-FNA for mediastinal cysts. A confronting upside-down VATS approach provides sufficient maneuverability even for superior mediastinal tumors, despite a limited surgical field due to inadequate 1-lung ventilation. Placement of the camera port in the higher intercostal space was deemed particularly crucial.</p>","PeriodicalId":22096,"journal":{"name":"Surgical Case Reports","volume":"11 1","pages":""},"PeriodicalIF":0.7000,"publicationDate":"2025-01-01","publicationTypes":"Journal Article","fieldsOfStudy":null,"isOpenAccess":false,"openAccessPdf":"https://www.ncbi.nlm.nih.gov/pmc/articles/PMC12056370/pdf/","citationCount":"0","resultStr":null,"platform":"Semanticscholar","paperid":null,"PeriodicalName":"Surgical Case Reports","FirstCategoryId":"1085","ListUrlMain":"https://doi.org/10.70352/scrj.cr.25-0134","RegionNum":0,"RegionCategory":null,"ArticlePicture":[],"TitleCN":null,"AbstractTextCN":null,"PMCID":null,"EPubDate":"2025/4/29 0:00:00","PubModel":"Epub","JCR":"Q4","JCRName":"SURGERY","Score":null,"Total":0}
引用次数: 0

Abstract

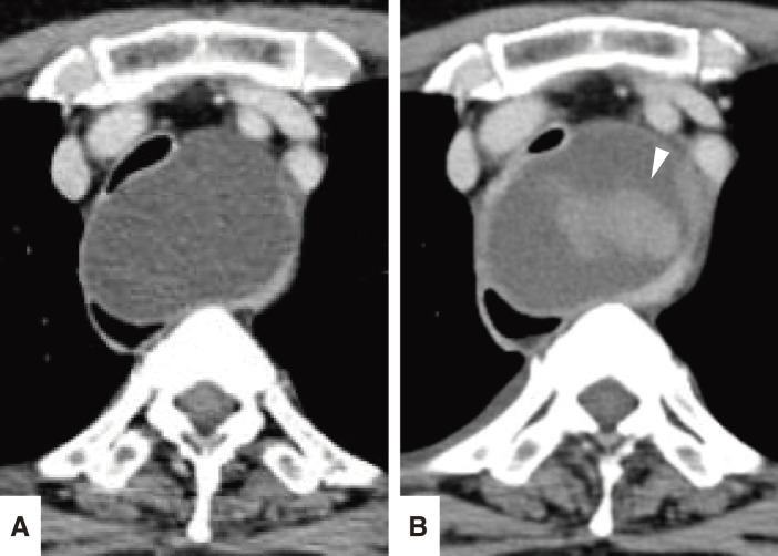
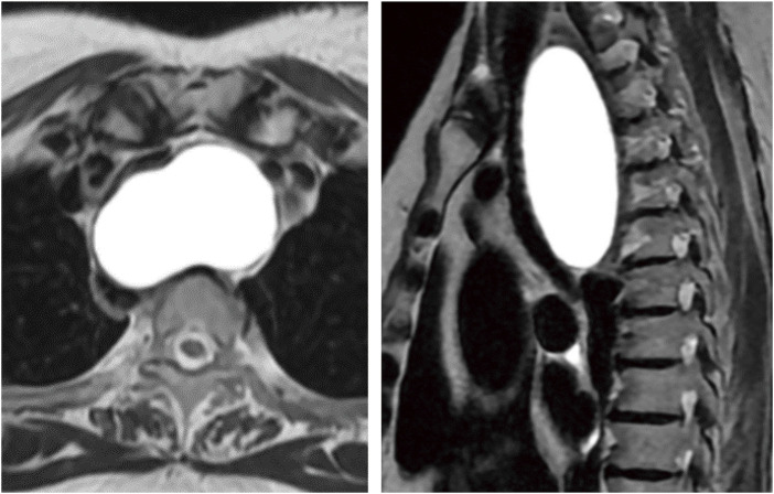
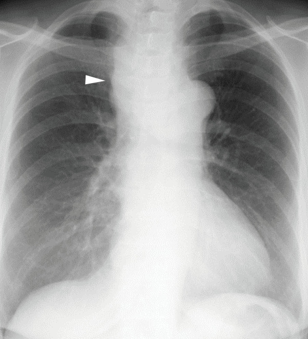
Introduction: Surgical resection remains the gold standard for managing mediastinal cysts, including bronchogenic cysts, whereas needle aspiration serves as an alternative option that can facilitate preoperative volume reduction or, in certain selected cases, serve as a definitive treatment. However, it may lead to rare but potentially life-threatening complications such as mediastinitis; therefore, its indication should be carefully considered. This report details a case of a delayed intracystic hemorrhage 3 days after an endoscopic ultrasound-guided fine-needle aspiration (EUS-FNA), requiring emergency surgery with venoarterial extracorporeal membrane oxygenation (V-A ECMO) on standby, which was successfully managed using a confronting upside-down video-assisted thoracoscopic surgery (VATS) approach.

Case presentation: A 64-year-old woman with exertional dyspnea was diagnosed with a superior mediastinal cyst compressing the trachea and esophagus. Preoperative EUS-FNA was performed to reduce the cyst volume and any mitigate potential complications during anesthesia induction. Three days later, she developed dyspnea due to a delayed intracystic hemorrhage, necessitating emergency surgery. VATS with a confronting upside-down monitor setup was performed under standby V-A ECMO. Despite a limited surgical field under 2-lung ventilation, a confronting upside-down VATS approach allowed sufficient visualization and maneuverability. The patient had an uneventful recovery, with no recurrence at 3 months.

Conclusions: A delayed intracystic hemorrhage is a potential risk following an EUS-FNA for mediastinal cysts. A confronting upside-down VATS approach provides sufficient maneuverability even for superior mediastinal tumors, despite a limited surgical field due to inadequate 1-lung ventilation. Placement of the camera port in the higher intercostal space was deemed particularly crucial.

Abstract Image

Abstract Image

Abstract Image

纵隔囊肿针吸后迟发性出血:面对双肺通气下倒立式电视辅助胸外科手术的意义。
导言:手术切除仍然是治疗纵隔囊肿的金标准,包括支气管源性囊肿,而针吸作为一种替代选择,可以促进术前体积缩小,或者在某些选定的病例中,作为一种确定的治疗方法。然而,它可能导致罕见但可能危及生命的并发症,如纵隔炎;因此,其适应症应慎重考虑。本报告详细介绍了一例超声内镜引导下细针穿刺(EUS-FNA)术后3天出现迟发性囊内出血的病例,需要紧急手术,静脉动脉体外膜氧合(V-A ECMO)处于待命状态,并通过对位倒置电视辅助胸腔镜手术(VATS)成功处理。病例介绍:一名64岁女性,因劳累性呼吸困难被诊断为上纵隔囊肿压迫气管和食道。术前行EUS-FNA以减少囊肿体积,减轻麻醉诱导过程中潜在的并发症。三天后,她因迟发性囊内出血而出现呼吸困难,需要紧急手术。在备用V-A ECMO下进行VATS,并设置正面倒置监视器。尽管在双肺通气下手术视野有限,但正面倒置VATS入路具有足够的可视性和可操作性。患者恢复顺利,3个月无复发。结论:纵隔囊肿EUS-FNA术后迟发性囊内出血是潜在风险。迎面倒置VATS入路即使对于上纵隔肿瘤也提供了足够的可操作性,尽管由于单肺通气不足,手术范围有限。在较高的肋间空间放置相机端口被认为是特别重要的。
本文章由计算机程序翻译,如有差异,请以英文原文为准。
求助全文
约1分钟内获得全文 求助全文
来源期刊
自引率
0.00%
发文量
218
审稿时长
13 weeks
×
引用
GB/T 7714-2015
复制
MLA
复制
APA
复制
导出至
BibTeX EndNote RefMan NoteFirst NoteExpress
×
提示
您的信息不完整,为了账户安全,请先补充。
现在去补充
×
提示
您因"违规操作"
具体请查看互助需知
我知道了
×
提示
确定
请完成安全验证×
copy
已复制链接
快去分享给好友吧!
我知道了
右上角分享
点击右上角分享
0
联系我们:info@booksci.cn Book学术提供免费学术资源搜索服务,方便国内外学者检索中英文文献。致力于提供最便捷和优质的服务体验。 Copyright © 2023 布克学术 All rights reserved.
京ICP备2023020795号-1
ghs 京公网安备 11010802042870号
Book学术文献互助
Book学术文献互助群
群 号:604180095
Book学术官方微信