Cryptococcus neoformans Meningoencephalitis in a Young Immunocompetent Patient.

IF 0.8 Q3 MEDICINE, GENERAL & INTERNAL
Michael Ke, Neeki Ettefagh, Ahmet Semih Topbas, Mehdi Kazemi
{"title":"<i>Cryptococcus neoformans</i> Meningoencephalitis in a Young Immunocompetent Patient.","authors":"Michael Ke, Neeki Ettefagh, Ahmet Semih Topbas, Mehdi Kazemi","doi":"10.1177/23247096251334235","DOIUrl":null,"url":null,"abstract":"<p><p>Cryptococcal meningitis is mainly seen in immunocompromised patients, but in recent years, there has been an increase in cases involving patients with no known immunodeficiencies. These patients have symptomatic presentations that range from indolent and mild to typical and severe. We present a case of cryptococcal meningitis in an immunocompetent young patient with a chronic headache. The patient underwent imaging which showed diffuse leptomeningeal enhancement and a lumbar puncture which confirmed <i>Cryptococcus neoformans</i>. She underwent guideline-based treatment for cryptococcal meningitis and improved clinically. Cryptococcal meningitis should be considered in immunocompetent patients who present with typical signs of symptoms of meningitis, particularly chronic headaches and altered mental status.</p>","PeriodicalId":16198,"journal":{"name":"Journal of investigative medicine high impact case reports","volume":"13 ","pages":"23247096251334235"},"PeriodicalIF":0.8000,"publicationDate":"2025-01-01","publicationTypes":"Journal Article","fieldsOfStudy":null,"isOpenAccess":false,"openAccessPdf":"https://www.ncbi.nlm.nih.gov/pmc/articles/PMC12035003/pdf/","citationCount":"0","resultStr":null,"platform":"Semanticscholar","paperid":null,"PeriodicalName":"Journal of investigative medicine high impact case reports","FirstCategoryId":"1085","ListUrlMain":"https://doi.org/10.1177/23247096251334235","RegionNum":0,"RegionCategory":null,"ArticlePicture":[],"TitleCN":null,"AbstractTextCN":null,"PMCID":null,"EPubDate":"2025/4/25 0:00:00","PubModel":"Epub","JCR":"Q3","JCRName":"MEDICINE, GENERAL & INTERNAL","Score":null,"Total":0}
引用次数: 0

Abstract

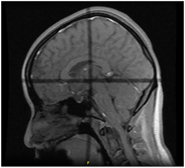
Cryptococcal meningitis is mainly seen in immunocompromised patients, but in recent years, there has been an increase in cases involving patients with no known immunodeficiencies. These patients have symptomatic presentations that range from indolent and mild to typical and severe. We present a case of cryptococcal meningitis in an immunocompetent young patient with a chronic headache. The patient underwent imaging which showed diffuse leptomeningeal enhancement and a lumbar puncture which confirmed Cryptococcus neoformans. She underwent guideline-based treatment for cryptococcal meningitis and improved clinically. Cryptococcal meningitis should be considered in immunocompetent patients who present with typical signs of symptoms of meningitis, particularly chronic headaches and altered mental status.

Abstract Image

Abstract Image

年轻免疫能力患者的新型隐球菌性脑膜脑炎。
隐球菌性脑膜炎主要见于免疫功能低下的患者,但近年来,涉及无已知免疫缺陷患者的病例有所增加。这些患者的症状表现从懒散和轻度到典型和严重。我们提出一个隐球菌脑膜炎的情况下,免疫能力的年轻患者慢性头痛。患者接受影像学检查显示弥漫性脑脊膜轻脑膜增强,腰椎穿刺证实为新型隐球菌。她接受了基于指南的隐球菌脑膜炎治疗,临床情况有所改善。出现典型脑膜炎症状体征(特别是慢性头痛和精神状态改变)的免疫功能正常患者应考虑隐球菌性脑膜炎。
本文章由计算机程序翻译,如有差异,请以英文原文为准。
求助全文
约1分钟内获得全文 求助全文
来源期刊
CiteScore
1.90
自引率
0.00%
发文量
165
审稿时长
12 weeks
期刊介绍: The AFMR is committed to enhancing the training and career development of our members and to furthering its mission to facilitate the conduct of research to improve medical care. Case reports represent an important avenue for trainees (interns, residents, and fellows) and early-stage faculty to demonstrate productive, scholarly activity.
×
引用
GB/T 7714-2015
复制
MLA
复制
APA
复制
导出至
BibTeX EndNote RefMan NoteFirst NoteExpress
×
提示
您的信息不完整,为了账户安全,请先补充。
现在去补充
×
提示
您因"违规操作"
具体请查看互助需知
我知道了
×
提示
确定
请完成安全验证×
copy
已复制链接
快去分享给好友吧!
我知道了
右上角分享
点击右上角分享
0
联系我们:info@booksci.cn Book学术提供免费学术资源搜索服务,方便国内外学者检索中英文文献。致力于提供最便捷和优质的服务体验。 Copyright © 2023 布克学术 All rights reserved.
京ICP备2023020795号-1
ghs 京公网安备 11010802042870号
Book学术文献互助
Book学术文献互助群
群 号:604180095
Book学术官方微信