Unveiling the Link Between Breast Cancer and Liver Abscess: A Case Report and Review of Literature.

IF 0.8 Q3 MEDICINE, GENERAL & INTERNAL
Jayalekshmi Jayakumar, Manasa Ginjupalli, Giovannie Isaac Coss, Fiqe Khan, Daniel Stein, Davin Turku, Khalimullah Quadri
{"title":"Unveiling the Link Between Breast Cancer and Liver Abscess: A Case Report and Review of Literature.","authors":"Jayalekshmi Jayakumar, Manasa Ginjupalli, Giovannie Isaac Coss, Fiqe Khan, Daniel Stein, Davin Turku, Khalimullah Quadri","doi":"10.1177/23247096251334232","DOIUrl":null,"url":null,"abstract":"<p><p>The introduction of screening mammograms has revolutionized the early detection of breast cancer. However, it remains the most common cancer in women in the United States, excluding skin cancer. As the incidence rates continue to rise, unusual presentations have become more frequent. Additionally, healthcare barriers can lead to delayed detection of breast cancer, resulting in unexpected complications. The occurrence of pyogenic liver abscess (PLA) in diabetic cancer patients, due to the synergistic effect of insulin-like growth factor-1 in tumorigenesis and abscess formation, is well documented. PLA is also prevalent in hepatocellular, colorectal, and pancreato-biliary tumors. However, the occurrence of PLA as an initial presentation of isolated advanced breast cancer without these comorbidities is understudied. This may be due to direct spread of infection from affected skin or spread via lymphatics or vasculature in the setting of immunosuppression from cancer. We present an exceedingly rare case of PLA, complicated by pulmonary embolism, in an elderly female with newly diagnosed stage IIIB breast carcinoma.</p>","PeriodicalId":16198,"journal":{"name":"Journal of investigative medicine high impact case reports","volume":"13 ","pages":"23247096251334232"},"PeriodicalIF":0.8000,"publicationDate":"2025-01-01","publicationTypes":"Journal Article","fieldsOfStudy":null,"isOpenAccess":false,"openAccessPdf":"https://www.ncbi.nlm.nih.gov/pmc/articles/PMC12033507/pdf/","citationCount":"0","resultStr":null,"platform":"Semanticscholar","paperid":null,"PeriodicalName":"Journal of investigative medicine high impact case reports","FirstCategoryId":"1085","ListUrlMain":"https://doi.org/10.1177/23247096251334232","RegionNum":0,"RegionCategory":null,"ArticlePicture":[],"TitleCN":null,"AbstractTextCN":null,"PMCID":null,"EPubDate":"2025/4/12 0:00:00","PubModel":"Epub","JCR":"Q3","JCRName":"MEDICINE, GENERAL & INTERNAL","Score":null,"Total":0}
引用次数: 0

Abstract

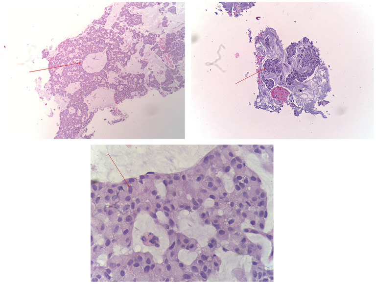
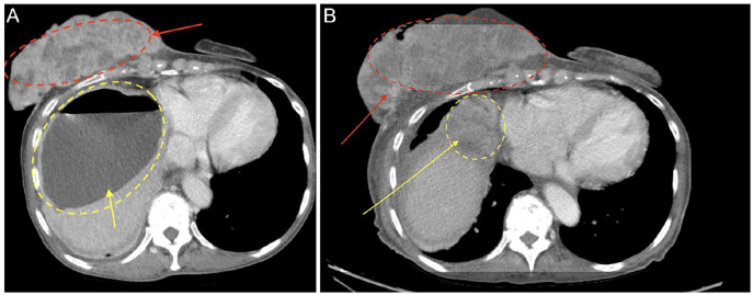
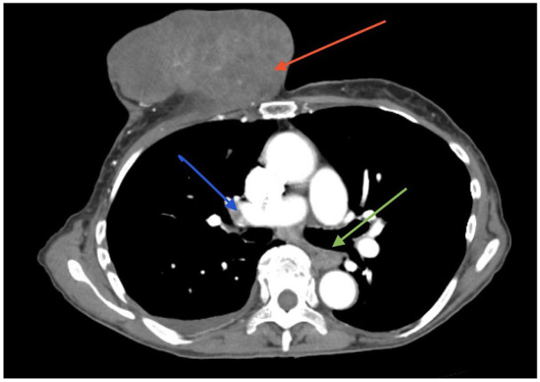
The introduction of screening mammograms has revolutionized the early detection of breast cancer. However, it remains the most common cancer in women in the United States, excluding skin cancer. As the incidence rates continue to rise, unusual presentations have become more frequent. Additionally, healthcare barriers can lead to delayed detection of breast cancer, resulting in unexpected complications. The occurrence of pyogenic liver abscess (PLA) in diabetic cancer patients, due to the synergistic effect of insulin-like growth factor-1 in tumorigenesis and abscess formation, is well documented. PLA is also prevalent in hepatocellular, colorectal, and pancreato-biliary tumors. However, the occurrence of PLA as an initial presentation of isolated advanced breast cancer without these comorbidities is understudied. This may be due to direct spread of infection from affected skin or spread via lymphatics or vasculature in the setting of immunosuppression from cancer. We present an exceedingly rare case of PLA, complicated by pulmonary embolism, in an elderly female with newly diagnosed stage IIIB breast carcinoma.

Abstract Image

Abstract Image

Abstract Image

揭示乳腺癌与肝脓肿的关系:1例报告及文献复习。
乳房x光检查的引入彻底改变了乳腺癌的早期发现。然而,它仍然是美国女性中最常见的癌症,不包括皮肤癌。随着发病率的持续上升,不寻常的表现变得更加频繁。此外,医疗障碍可能导致乳腺癌的检测延迟,从而导致意想不到的并发症。糖尿病癌症患者发生化脓性肝脓肿(PLA)是由于胰岛素样生长因子-1在肿瘤发生和脓肿形成中的协同作用,这是有充分文献记载的。PLA也常见于肝细胞、结直肠和胰胆道肿瘤。然而,PLA作为无这些合并症的孤立晚期乳腺癌的初始表现尚未得到充分研究。这可能是由于感染从受影响的皮肤直接传播,或在癌症免疫抑制的情况下通过淋巴管或血管传播。我们报告一例极为罕见的PLA合并肺栓塞的病例,患者为新诊断为IIIB期乳腺癌的老年女性。
本文章由计算机程序翻译,如有差异,请以英文原文为准。
求助全文
约1分钟内获得全文 求助全文
来源期刊
CiteScore
1.90
自引率
0.00%
发文量
165
审稿时长
12 weeks
期刊介绍: The AFMR is committed to enhancing the training and career development of our members and to furthering its mission to facilitate the conduct of research to improve medical care. Case reports represent an important avenue for trainees (interns, residents, and fellows) and early-stage faculty to demonstrate productive, scholarly activity.
×
引用
GB/T 7714-2015
复制
MLA
复制
APA
复制
导出至
BibTeX EndNote RefMan NoteFirst NoteExpress
×
提示
您的信息不完整,为了账户安全,请先补充。
现在去补充
×
提示
您因"违规操作"
具体请查看互助需知
我知道了
×
提示
确定
请完成安全验证×
copy
已复制链接
快去分享给好友吧!
我知道了
右上角分享
点击右上角分享
0
联系我们:info@booksci.cn Book学术提供免费学术资源搜索服务,方便国内外学者检索中英文文献。致力于提供最便捷和优质的服务体验。 Copyright © 2023 布克学术 All rights reserved.
京ICP备2023020795号-1
ghs 京公网安备 11010802042870号
Book学术文献互助
Book学术文献互助群
群 号:604180095
Book学术官方微信