Ovarian Leydig cells and neural crests.

IF 3.1 3区 生物学 Q3 CELL BIOLOGY
José-Luis Carrasco-Juan, Olga Tapia, Miriam González-Gómez, Abian Vega-Falcón, Sonia García-Hernández, Alexis Rufino-Gómez, Rafael Méndez-Medina, Hugo Álvarez-Arguelles Cabrera
{"title":"Ovarian Leydig cells and neural crests.","authors":"José-Luis Carrasco-Juan, Olga Tapia, Miriam González-Gómez, Abian Vega-Falcón, Sonia García-Hernández, Alexis Rufino-Gómez, Rafael Méndez-Medina, Hugo Álvarez-Arguelles Cabrera","doi":"10.1007/s13577-025-01210-1","DOIUrl":null,"url":null,"abstract":"<p><p>In our search for markers to identify and study ovarian Leydig cells, we utilized immunohistochemical techniques and visualized the results using conventional and confocal microscopy. We successfully employed steroidogenic factor- 1 (SF1), androgen receptor (AR), and class III β-tubulin as markers. SF1 and AR specifically highlighted the intraneural cell precursors of Leydig cells, which were previously identified in a published case of mature cystic teratoma of the ovary, and the adult ovarian Leydig cells. Furthermore, the transient expression of class III β-tubulin could be associated with the intraneural displacement of these precursors, cooperating in their migration to colonize the ovaries of adult women.</p>","PeriodicalId":49194,"journal":{"name":"Human Cell","volume":"38 3","pages":"85"},"PeriodicalIF":3.1000,"publicationDate":"2025-04-12","publicationTypes":"Journal Article","fieldsOfStudy":null,"isOpenAccess":false,"openAccessPdf":"https://www.ncbi.nlm.nih.gov/pmc/articles/PMC11993499/pdf/","citationCount":"0","resultStr":null,"platform":"Semanticscholar","paperid":null,"PeriodicalName":"Human Cell","FirstCategoryId":"99","ListUrlMain":"https://doi.org/10.1007/s13577-025-01210-1","RegionNum":3,"RegionCategory":"生物学","ArticlePicture":[],"TitleCN":null,"AbstractTextCN":null,"PMCID":null,"EPubDate":"","PubModel":"","JCR":"Q3","JCRName":"CELL BIOLOGY","Score":null,"Total":0}
引用次数: 0

Abstract

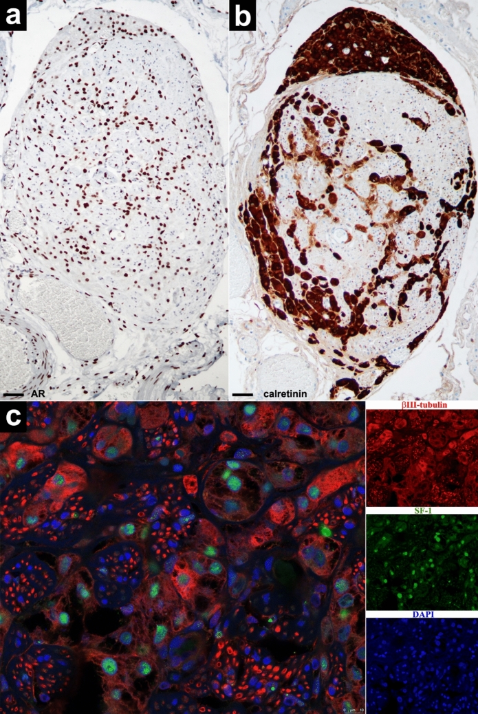
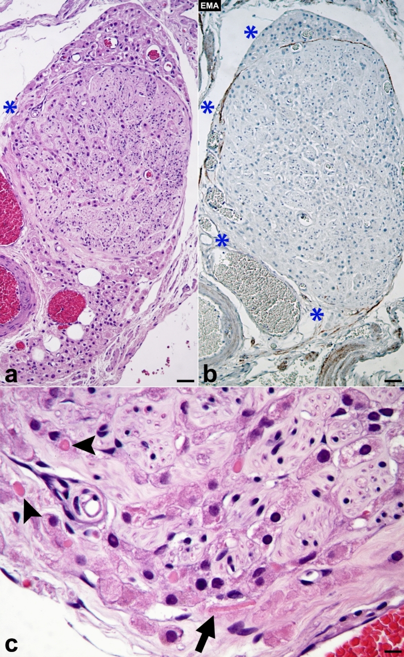
In our search for markers to identify and study ovarian Leydig cells, we utilized immunohistochemical techniques and visualized the results using conventional and confocal microscopy. We successfully employed steroidogenic factor- 1 (SF1), androgen receptor (AR), and class III β-tubulin as markers. SF1 and AR specifically highlighted the intraneural cell precursors of Leydig cells, which were previously identified in a published case of mature cystic teratoma of the ovary, and the adult ovarian Leydig cells. Furthermore, the transient expression of class III β-tubulin could be associated with the intraneural displacement of these precursors, cooperating in their migration to colonize the ovaries of adult women.

Abstract Image

Abstract Image

Abstract Image

卵巢间质细胞和神经嵴。
在我们寻找标记物来识别和研究卵巢间质细胞的过程中,我们利用免疫组织化学技术,并使用常规和共聚焦显微镜将结果可视化。我们成功地使用甾体生成因子- 1 (SF1)、雄激素受体(AR)和III类β-微管蛋白作为标记。SF1和AR特别强调了间质细胞的神经内细胞前体,这是之前在一个已发表的卵巢成熟囊性畸胎瘤病例和成年卵巢间质细胞中发现的。此外,III类β-微管蛋白的短暂表达可能与这些前体的神经内移位有关,并协同它们迁移到成年女性的卵巢。
本文章由计算机程序翻译,如有差异,请以英文原文为准。
求助全文
约1分钟内获得全文 求助全文
来源期刊
Human Cell
Human Cell CELL BIOLOGY-
CiteScore
5.90
自引率
2.30%
发文量
176
审稿时长
4.5 months
期刊介绍: Human Cell is the official English-language journal of the Japan Human Cell Society. The journal serves as a forum for international research on all aspects of the human cell, encompassing not only cell biology but also pathology, cytology, and oncology, including clinical oncology. Embryonic stem cells derived from animals, regenerative medicine using animal cells, and experimental animal models with implications for human diseases are covered as well. Submissions in any of the following categories will be considered: Research Articles, Cell Lines, Rapid Communications, Reviews, and Letters to the Editor. A brief clinical case report focusing on cellular responses to pathological insults in human studies may also be submitted as a Letter to the Editor in a concise and short format. Not only basic scientists but also gynecologists, oncologists, and other clinical scientists are welcome to submit work expressing new ideas or research using human cells.
×
引用
GB/T 7714-2015
复制
MLA
复制
APA
复制
导出至
BibTeX EndNote RefMan NoteFirst NoteExpress
×
提示
您的信息不完整,为了账户安全,请先补充。
现在去补充
×
提示
您因"违规操作"
具体请查看互助需知
我知道了
×
提示
确定
请完成安全验证×
copy
已复制链接
快去分享给好友吧!
我知道了
右上角分享
点击右上角分享
0
联系我们:info@booksci.cn Book学术提供免费学术资源搜索服务,方便国内外学者检索中英文文献。致力于提供最便捷和优质的服务体验。 Copyright © 2023 布克学术 All rights reserved.
京ICP备2023020795号-1
ghs 京公网安备 11010802042870号
Book学术文献互助
Book学术文献互助群
群 号:604180095
Book学术官方微信