A rare clinic in hepatocellular cancer: Metastasis of the nasopharynx.

IF 2.1 Q4 GASTROENTEROLOGY & HEPATOLOGY
Hepatology Forum Pub Date : 2025-02-18 eCollection Date: 2025-01-01 DOI:10.14744/hf.2024.2024.0023
Fatih Emin Ozturk, Coskun Ozer Demirtas, Fuat Jafarov, Beyza Keskin Ozturk, Feyza Dilber
{"title":"A rare clinic in hepatocellular cancer: Metastasis of the nasopharynx.","authors":"Fatih Emin Ozturk, Coskun Ozer Demirtas, Fuat Jafarov, Beyza Keskin Ozturk, Feyza Dilber","doi":"10.14744/hf.2024.2024.0023","DOIUrl":null,"url":null,"abstract":"<p><p>Hepatocellular cancer (HCC) is the most common primary malignant tumor of the liver. The organs that HCC most commonly metastasizes to are the lungs, intra-abdominal lymph nodes, bones, and adrenal glands. Brain metastases have been reported rarely. Herein, we report a 54-year-old female patient who was diagnosed with cryptogenic cirrhosis by liver biopsy in 2010. Solid lesions were detected on radiological examination during follow-up in 2019. The patient's complaints of severe headache, nausea, and vomiting continued during the follow-up, and imaging was performed. A contrast-enhancing lesion, 2 cm in size, was reported in the left half of the clivus on T1 examination after intravenous contrast administration. A biopsy was performed on the mass extending from the clivus to the nasopharynx. The biopsy concluded that it was an HCC metastasis. Intracranial metastases of HCC have been reported very rarely compared to other extrahepatic sites. HCC cases with intracranial metastases have a poor prognosis. Intracranial metastases should be considered in the differential diagnosis in patients presenting with central nervous system findings.</p>","PeriodicalId":29722,"journal":{"name":"Hepatology Forum","volume":"6 2","pages":"62-64"},"PeriodicalIF":2.1000,"publicationDate":"2025-02-18","publicationTypes":"Journal Article","fieldsOfStudy":null,"isOpenAccess":false,"openAccessPdf":"https://www.ncbi.nlm.nih.gov/pmc/articles/PMC11999899/pdf/","citationCount":"0","resultStr":null,"platform":"Semanticscholar","paperid":null,"PeriodicalName":"Hepatology Forum","FirstCategoryId":"1085","ListUrlMain":"https://doi.org/10.14744/hf.2024.2024.0023","RegionNum":0,"RegionCategory":null,"ArticlePicture":[],"TitleCN":null,"AbstractTextCN":null,"PMCID":null,"EPubDate":"2025/1/1 0:00:00","PubModel":"eCollection","JCR":"Q4","JCRName":"GASTROENTEROLOGY & HEPATOLOGY","Score":null,"Total":0}
引用次数: 0

Abstract

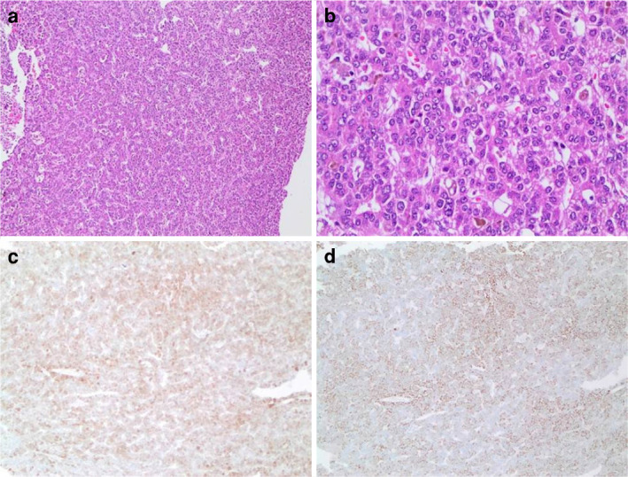
Hepatocellular cancer (HCC) is the most common primary malignant tumor of the liver. The organs that HCC most commonly metastasizes to are the lungs, intra-abdominal lymph nodes, bones, and adrenal glands. Brain metastases have been reported rarely. Herein, we report a 54-year-old female patient who was diagnosed with cryptogenic cirrhosis by liver biopsy in 2010. Solid lesions were detected on radiological examination during follow-up in 2019. The patient's complaints of severe headache, nausea, and vomiting continued during the follow-up, and imaging was performed. A contrast-enhancing lesion, 2 cm in size, was reported in the left half of the clivus on T1 examination after intravenous contrast administration. A biopsy was performed on the mass extending from the clivus to the nasopharynx. The biopsy concluded that it was an HCC metastasis. Intracranial metastases of HCC have been reported very rarely compared to other extrahepatic sites. HCC cases with intracranial metastases have a poor prognosis. Intracranial metastases should be considered in the differential diagnosis in patients presenting with central nervous system findings.

Abstract Image

Abstract Image

罕见的肝细胞癌临床:鼻咽部转移。
肝细胞癌(HCC)是肝脏最常见的原发性恶性肿瘤。肝细胞癌最常转移的器官是肺、腹内淋巴结、骨骼和肾上腺。脑转移很少有报道。在此,我们报告一位54岁的女性患者,于2010年通过肝活检诊断为隐源性肝硬化。2019年随访期间,影像学检查发现实性病变。患者在随访期间持续出现严重头痛、恶心和呕吐的主诉,并进行了影像学检查。静脉注射造影剂后,T1检查发现斜坡左半边有一个2厘米大小的增强病灶。对从斜坡延伸到鼻咽部的肿块进行了活检。活检结论为肝细胞癌转移。与其他肝外部位相比,颅内转移的HCC报道非常少。肝细胞癌伴颅内转移预后较差。当患者出现中枢神经系统症状时,在鉴别诊断时应考虑颅内转移。
本文章由计算机程序翻译,如有差异,请以英文原文为准。
求助全文
约1分钟内获得全文 求助全文
来源期刊
CiteScore
1.90
自引率
12.50%
发文量
0
×
引用
GB/T 7714-2015
复制
MLA
复制
APA
复制
导出至
BibTeX EndNote RefMan NoteFirst NoteExpress
×
提示
您的信息不完整,为了账户安全,请先补充。
现在去补充
×
提示
您因"违规操作"
具体请查看互助需知
我知道了
×
提示
确定
请完成安全验证×
copy
已复制链接
快去分享给好友吧!
我知道了
右上角分享
点击右上角分享
0
联系我们:info@booksci.cn Book学术提供免费学术资源搜索服务,方便国内外学者检索中英文文献。致力于提供最便捷和优质的服务体验。 Copyright © 2023 布克学术 All rights reserved.
京ICP备2023020795号-1
ghs 京公网安备 11010802042870号
Book学术文献互助
Book学术文献互助群
群 号:604180095
Book学术官方微信