Intraoperative Assessment of Nerve Traction Injury in Obstetric Brachial Plexus Palsy.

IF 1 Q4 CLINICAL NEUROLOGY
Journal of Brachial Plexus and Peripheral Nerve Injury Pub Date : 2025-05-02 eCollection Date: 2025-01-01 DOI:10.1055/a-2572-2601
J Bahm, B Schäfer, K Nolte, J Weis, J P Beier
{"title":"Intraoperative Assessment of Nerve Traction Injury in Obstetric Brachial Plexus Palsy.","authors":"J Bahm, B Schäfer, K Nolte, J Weis, J P Beier","doi":"10.1055/a-2572-2601","DOIUrl":null,"url":null,"abstract":"<p><p>We present an easy classification for nerve lesions observed in reconstructive surgery for obstetric brachial plexus palsy, performed through a supraclavicular approach and systematic exposure of nerve roots and trunks. A description of signs related to nerve traction injury (scarring, fascicular rupture, and dislocated ganglions) is combined with a grading system of microscopic tissue changes occurring in slices from traumatized nerve endings (fascicular structure, changes in perineurium and endoneurium). Both tools are proposed for any surgical brachial plexus exploration and later interaction with other professionals (pediatricians, physiotherapists, or obstetricians).</p>","PeriodicalId":15280,"journal":{"name":"Journal of Brachial Plexus and Peripheral Nerve Injury","volume":"20 1","pages":"e27-e30"},"PeriodicalIF":1.0000,"publicationDate":"2025-05-02","publicationTypes":"Journal Article","fieldsOfStudy":null,"isOpenAccess":false,"openAccessPdf":"https://www.ncbi.nlm.nih.gov/pmc/articles/PMC12048180/pdf/","citationCount":"0","resultStr":null,"platform":"Semanticscholar","paperid":null,"PeriodicalName":"Journal of Brachial Plexus and Peripheral Nerve Injury","FirstCategoryId":"1085","ListUrlMain":"https://doi.org/10.1055/a-2572-2601","RegionNum":0,"RegionCategory":null,"ArticlePicture":[],"TitleCN":null,"AbstractTextCN":null,"PMCID":null,"EPubDate":"2025/1/1 0:00:00","PubModel":"eCollection","JCR":"Q4","JCRName":"CLINICAL NEUROLOGY","Score":null,"Total":0}
引用次数: 0

Abstract

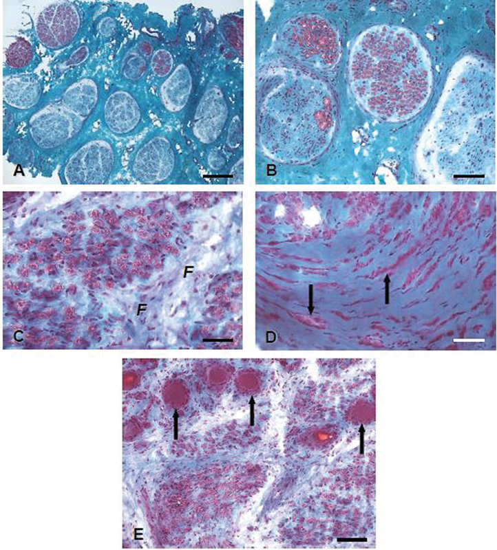
We present an easy classification for nerve lesions observed in reconstructive surgery for obstetric brachial plexus palsy, performed through a supraclavicular approach and systematic exposure of nerve roots and trunks. A description of signs related to nerve traction injury (scarring, fascicular rupture, and dislocated ganglions) is combined with a grading system of microscopic tissue changes occurring in slices from traumatized nerve endings (fascicular structure, changes in perineurium and endoneurium). Both tools are proposed for any surgical brachial plexus exploration and later interaction with other professionals (pediatricians, physiotherapists, or obstetricians).

Abstract Image

Abstract Image

产科臂丛神经麻痹术中神经牵引损伤的评价。
我们通过锁骨上入路和系统暴露神经根和干,对产科臂丛神经麻痹重建手术中观察到的神经病变进行简单分类。对神经牵引损伤相关体征(瘢痕、束状断裂和神经节脱位)的描述,结合损伤神经末梢切片显微组织变化的分级系统(束状结构、神经周围膜和神经内膜改变)。这两种工具都被推荐用于任何外科臂丛探查以及随后与其他专业人员(儿科医生、物理治疗师或产科医生)的互动。
本文章由计算机程序翻译,如有差异,请以英文原文为准。
求助全文
约1分钟内获得全文 求助全文
来源期刊
CiteScore
1.70
自引率
14.30%
发文量
6
审稿时长
12 weeks
期刊介绍: JBPPNI is an open access, peer-reviewed online journal that will encompass all aspects of basic and clinical research findings, in the area of brachial plexus and peripheral nerve injury. Injury in this context refers to congenital, inflammatory, traumatic, degenerative and neoplastic processes, including neurofibromatosis. Papers on diagnostic and imaging aspects of the peripheral nervous system are welcomed as well. The peripheral nervous system is unique in its complexity and scope of influence. There are areas of interest in the anatomy, physiology, metabolism, phylogeny, and limb growth tropism of peripheral nerves.
×
引用
GB/T 7714-2015
复制
MLA
复制
APA
复制
导出至
BibTeX EndNote RefMan NoteFirst NoteExpress
×
提示
您的信息不完整,为了账户安全,请先补充。
现在去补充
×
提示
您因"违规操作"
具体请查看互助需知
我知道了
×
提示
确定
请完成安全验证×
copy
已复制链接
快去分享给好友吧!
我知道了
右上角分享
点击右上角分享
0
联系我们:info@booksci.cn Book学术提供免费学术资源搜索服务,方便国内外学者检索中英文文献。致力于提供最便捷和优质的服务体验。 Copyright © 2023 布克学术 All rights reserved.
京ICP备2023020795号-1
ghs 京公网安备 11010802042870号
Book学术文献互助
Book学术文献互助群
群 号:604180095
Book学术官方微信