Reno-Gonadal Venous Anastomosis for Right Renal Venous Drainage Following Juxtarenal Cavectomy for Renal Cell Carcinoma.

IF 1.9 Q3 ONCOLOGY
Journal of Kidney Cancer and VHL Pub Date : 2025-04-21 eCollection Date: 2025-01-01 DOI:10.15586/jkc.v12i2.390
Jabrina Simmons, Tae-Hee Kim, Tasha Posid, Shawn Dason
{"title":"Reno-Gonadal Venous Anastomosis for Right Renal Venous Drainage Following Juxtarenal Cavectomy for Renal Cell Carcinoma.","authors":"Jabrina Simmons, Tae-Hee Kim, Tasha Posid, Shawn Dason","doi":"10.15586/jkc.v12i2.390","DOIUrl":null,"url":null,"abstract":"<p><p>This article is a case report of a 62-year-old male with a left-sided renal cell carcinoma (RCC) with a level II inferior vena cava (IVC) thrombus and caval occlusion. He was managed with open left radical nephrectomy and juxtarenal cavectomy. To preserve right renal venous drainage, the right renal vein was anastomosed to the right gonadal vein. He has not had any renal functional decline or disease recurrence with 3 years of follow-up. The focus of this article is to discuss this distinctive method for vascular reconstruction as an option for right renal venous drainage following left nephrectomy and juxtarenal cavectomy.</p>","PeriodicalId":44291,"journal":{"name":"Journal of Kidney Cancer and VHL","volume":"12 2","pages":"14-18"},"PeriodicalIF":1.9000,"publicationDate":"2025-04-21","publicationTypes":"Journal Article","fieldsOfStudy":null,"isOpenAccess":false,"openAccessPdf":"https://www.ncbi.nlm.nih.gov/pmc/articles/PMC12021001/pdf/","citationCount":"0","resultStr":null,"platform":"Semanticscholar","paperid":null,"PeriodicalName":"Journal of Kidney Cancer and VHL","FirstCategoryId":"1085","ListUrlMain":"https://doi.org/10.15586/jkc.v12i2.390","RegionNum":0,"RegionCategory":null,"ArticlePicture":[],"TitleCN":null,"AbstractTextCN":null,"PMCID":null,"EPubDate":"2025/1/1 0:00:00","PubModel":"eCollection","JCR":"Q3","JCRName":"ONCOLOGY","Score":null,"Total":0}
引用次数: 0

Abstract

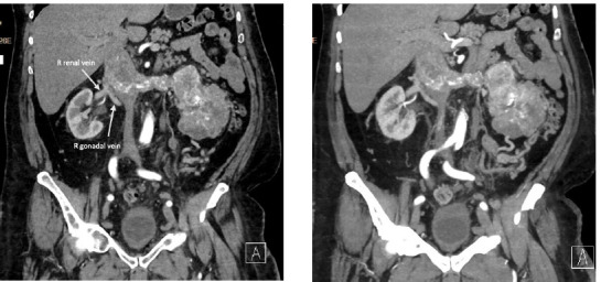
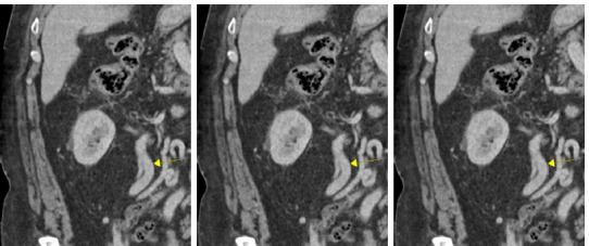
This article is a case report of a 62-year-old male with a left-sided renal cell carcinoma (RCC) with a level II inferior vena cava (IVC) thrombus and caval occlusion. He was managed with open left radical nephrectomy and juxtarenal cavectomy. To preserve right renal venous drainage, the right renal vein was anastomosed to the right gonadal vein. He has not had any renal functional decline or disease recurrence with 3 years of follow-up. The focus of this article is to discuss this distinctive method for vascular reconstruction as an option for right renal venous drainage following left nephrectomy and juxtarenal cavectomy.

Abstract Image

Abstract Image

Abstract Image

肾旁腔切除术后右肾静脉引流的肾-性腺静脉吻合术。
本文报告一62岁男性左肾细胞癌合并II级下腔静脉血栓及腔静脉阻塞之病例。他接受了开放的左侧根治性肾切除术和肾旁腔切除术。为保持右肾静脉引流,将右肾静脉与右性腺静脉吻合。随访3年未见肾功能下降或疾病复发。本文的重点是讨论这种独特的血管重建方法,作为左肾切除术和肾旁腔切除术后右肾静脉引流的一种选择。
本文章由计算机程序翻译,如有差异,请以英文原文为准。
求助全文
约1分钟内获得全文 求助全文
来源期刊
自引率
6.20%
发文量
22
审稿时长
4 weeks
×
引用
GB/T 7714-2015
复制
MLA
复制
APA
复制
导出至
BibTeX EndNote RefMan NoteFirst NoteExpress
×
提示
您的信息不完整,为了账户安全,请先补充。
现在去补充
×
提示
您因"违规操作"
具体请查看互助需知
我知道了
×
提示
确定
请完成安全验证×
copy
已复制链接
快去分享给好友吧!
我知道了
右上角分享
点击右上角分享
0
联系我们:info@booksci.cn Book学术提供免费学术资源搜索服务,方便国内外学者检索中英文文献。致力于提供最便捷和优质的服务体验。 Copyright © 2023 布克学术 All rights reserved.
京ICP备2023020795号-1
ghs 京公网安备 11010802042870号
Book学术文献互助
Book学术文献互助群
群 号:604180095
Book学术官方微信