Evaluation of CD20 in labial minor salivary gland biopsies in Sjogren's syndrome.

Q3 Medicine
Ayesha Tabassum, Malathi Narasimhan, Thamizhchelvan Hari, Sharada T Rajan, Vijaya Nirmala Subramani
{"title":"Evaluation of CD20 in labial minor salivary gland biopsies in Sjogren's syndrome.","authors":"Ayesha Tabassum, Malathi Narasimhan, Thamizhchelvan Hari, Sharada T Rajan, Vijaya Nirmala Subramani","doi":"10.4103/jomfp.jomfp_547_23","DOIUrl":null,"url":null,"abstract":"<p><strong>Context: </strong>Sjogren's syndrome (SjS) is an auto-immune disease with a chronic inflammation causing dysfunction of salivary and lacrimal glands, leading to dry eyes and dry mouth. Focal lymphocytic sialadenitis (FLS) and focus score (FS) are significant diagnostic criteria in SjS.</p><p><strong>Aims: </strong>To evaluate the FLS and FS and quantify FS in H&E sections of normal salivary gland, inflammatory conditions, and SjS group.</p><p><strong>Settings and design: </strong>A total of 60 cases were included and divided equally among the groups - SjS, inflammatory conditions, and normal salivary gland.</p><p><strong>Methods and material: </strong>The clinical symptoms, associated disease, and serological tests (ANA, SSA, SSB, RF) were obtained from the records of the patient. Immunohistochemistry (IHC) staining was done (anti-CD20 monoclonal antibody). All the H&E and IHC slides were assessed by independent observers and were taken up for evaluation.</p><p><strong>Results and conclusions: </strong>In H&E sections, FLS and FS were found only in the SjS patients and not in normal and inflammatory conditions. CD20 expression was found to be positive in 55% of SjS cases but negative in the normal and inflammatory groups. FS had been upgraded in IHC CD20 staining. FLS and FSs should be strictly evaluated according to the criteria. It was found only in SjS patients and not in normal and inflammatory conditions. Furthermore, CD20 can be used as an adjunct marker to decide the theranostic and prognostic markers of SjS. The results showed that criteria for scoring FS should be strictly followed and CD20 IHC can be used as a prognostic marker.</p>","PeriodicalId":38846,"journal":{"name":"Journal of Oral and Maxillofacial Pathology","volume":"29 1","pages":"24-29"},"PeriodicalIF":0.0000,"publicationDate":"2025-01-01","publicationTypes":"Journal Article","fieldsOfStudy":null,"isOpenAccess":false,"openAccessPdf":"https://www.ncbi.nlm.nih.gov/pmc/articles/PMC12002588/pdf/","citationCount":"0","resultStr":null,"platform":"Semanticscholar","paperid":null,"PeriodicalName":"Journal of Oral and Maxillofacial Pathology","FirstCategoryId":"1085","ListUrlMain":"https://doi.org/10.4103/jomfp.jomfp_547_23","RegionNum":0,"RegionCategory":null,"ArticlePicture":[],"TitleCN":null,"AbstractTextCN":null,"PMCID":null,"EPubDate":"2025/3/28 0:00:00","PubModel":"Epub","JCR":"Q3","JCRName":"Medicine","Score":null,"Total":0}
引用次数: 0

Abstract

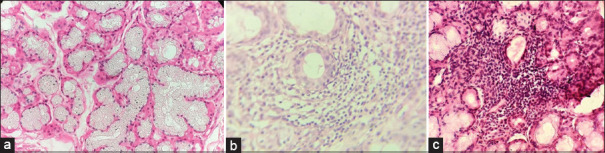
Context: Sjogren's syndrome (SjS) is an auto-immune disease with a chronic inflammation causing dysfunction of salivary and lacrimal glands, leading to dry eyes and dry mouth. Focal lymphocytic sialadenitis (FLS) and focus score (FS) are significant diagnostic criteria in SjS.

Aims: To evaluate the FLS and FS and quantify FS in H&E sections of normal salivary gland, inflammatory conditions, and SjS group.

Settings and design: A total of 60 cases were included and divided equally among the groups - SjS, inflammatory conditions, and normal salivary gland.

Methods and material: The clinical symptoms, associated disease, and serological tests (ANA, SSA, SSB, RF) were obtained from the records of the patient. Immunohistochemistry (IHC) staining was done (anti-CD20 monoclonal antibody). All the H&E and IHC slides were assessed by independent observers and were taken up for evaluation.

Results and conclusions: In H&E sections, FLS and FS were found only in the SjS patients and not in normal and inflammatory conditions. CD20 expression was found to be positive in 55% of SjS cases but negative in the normal and inflammatory groups. FS had been upgraded in IHC CD20 staining. FLS and FSs should be strictly evaluated according to the criteria. It was found only in SjS patients and not in normal and inflammatory conditions. Furthermore, CD20 can be used as an adjunct marker to decide the theranostic and prognostic markers of SjS. The results showed that criteria for scoring FS should be strictly followed and CD20 IHC can be used as a prognostic marker.

Abstract Image

Abstract Image

Abstract Image

干燥综合征唇小唾液腺活检CD20的评价。
背景:干燥综合征(SjS)是一种自身免疫性疾病,慢性炎症引起唾液腺和泪腺功能障碍,导致眼干和口干。局灶性淋巴细胞性涎腺炎(FLS)和病灶评分(FS)是SjS的重要诊断标准。目的:评价正常唾液腺、炎症组和SjS组H&E切片的FLS和FS,并对FS进行量化。环境和设计:共纳入60例,并平均分为SjS组、炎症组和正常唾液腺组。方法和材料:从患者病历中获取临床症状、相关疾病及血清学检测(ANA、SSA、SSB、RF)。免疫组化(IHC)染色(抗cd20单克隆抗体)。所有H&E和IHC载玻片均由独立观察员进行评估并进行评估。结果和结论:在H&E切片中,仅在SjS患者中发现FLS和FS,而在正常和炎症状态下均未发现。CD20在55%的SjS病例中呈阳性表达,而在正常和炎症组中呈阴性表达。免疫组化CD20染色FS已升级。FLS和FSs应严格按照标准进行评估。它只在SjS患者中发现,而在正常和炎症状态下没有发现。此外,CD20可作为SjS治疗和预后的辅助标志物。结果表明FS评分标准应严格遵守,CD20免疫组化可作为预后指标。
本文章由计算机程序翻译,如有差异,请以英文原文为准。
求助全文
约1分钟内获得全文 求助全文
来源期刊
Journal of Oral and Maxillofacial Pathology
Journal of Oral and Maxillofacial Pathology Medicine-Otorhinolaryngology
CiteScore
1.40
自引率
0.00%
发文量
115
期刊介绍: The journal of Oral and Maxillofacial Pathology [ISSN:print-(0973-029X, online-1998-393X)] is a tri-annual journal published on behalf of “The Indian Association of Oral and Maxillofacial Pathologists” (IAOMP). The publication of JOMFP was started in the year 1993. The journal publishes papers on a wide spectrum of topics associated with the scope of Oral and Maxillofacial Pathology, also, ensuring scientific merit and quality. It is a comprehensive reading material for the professionals who want to upgrade their diagnostic skills in Oral Diseases; allows exposure to newer topics and methods of research in the Oral-facial Tissues and Pathology. New features allow an open minded thinking and approach to various pathologies. It also encourages authors to showcase quality work done by them and to compile relevant cases which are diagnostically challenging. The Journal takes pride in maintaining the quality of articles and photomicrographs.
×
引用
GB/T 7714-2015
复制
MLA
复制
APA
复制
导出至
BibTeX EndNote RefMan NoteFirst NoteExpress
×
提示
您的信息不完整,为了账户安全,请先补充。
现在去补充
×
提示
您因"违规操作"
具体请查看互助需知
我知道了
×
提示
确定
请完成安全验证×
copy
已复制链接
快去分享给好友吧!
我知道了
右上角分享
点击右上角分享
0
联系我们:info@booksci.cn Book学术提供免费学术资源搜索服务,方便国内外学者检索中英文文献。致力于提供最便捷和优质的服务体验。 Copyright © 2023 布克学术 All rights reserved.
京ICP备2023020795号-1
ghs 京公网安备 11010802042870号
Book学术文献互助
Book学术文献互助群
群 号:604180095
Book学术官方微信