Multiple cystic echinococcosis: the importance of preventive examination and collaborative treatment.

IF 1.6 4区 医学 Q3 PUBLIC, ENVIRONMENTAL & OCCUPATIONAL HEALTH
Diana Bućan, Marko Neveščanin, Ivan Bućan
{"title":"Multiple cystic echinococcosis: the importance of preventive examination and collaborative treatment.","authors":"Diana Bućan, Marko Neveščanin, Ivan Bućan","doi":"10.2478/aiht-2025-76-3972","DOIUrl":null,"url":null,"abstract":"<p><p>This case report presents a 43-year-old worker (welder in the locksmith trade) from Bosnia and Herzegovina who was diagnosed with advanced hydatidosis during a preventive medical examination. The patient had a history of frequent close contact with dogs at home and at work and reported a long-standing sensation of heaviness in the left side of his abdomen. As part of his routine occupational health examination, he had a complete laboratory testing, abdominal ultrasound, multislice computed tomography (MSCT), and a consultation with an infectious disease specialist and abdominal surgeon. Imaging revealed multiple cystic formations in the left hemiabdomen and a cyst in segment VIII of the liver, confirming the diagnosis of multivisceral echinococcosis. The patient was promptly treated with preoperative (and postoperative) albendazole to reduce the cyst size and prevent complications. This case highlights the critical role of ultrasound in the diagnosis of hydatidosis, especially in an occupational medicine context. As part of preventive screening, ultrasound is a valuable tool for the early detection of echinococcosis in workers in high-risk environments. Early diagnosis allows for timely intervention, reducing the risk of disease progression to an advanced stage. This case underscores the importance of implementing effective epidemiological strategies, including regular screenings and awareness campaigns, in order to control the spread of echinococcosis in endemic regions.</p>","PeriodicalId":55462,"journal":{"name":"Arhiv Za Higijenu Rada I Toksikologiju-Archives of Industrial Hygiene and Toxicology","volume":"76 1","pages":"67-70"},"PeriodicalIF":1.6000,"publicationDate":"2025-03-31","publicationTypes":"Journal Article","fieldsOfStudy":null,"isOpenAccess":false,"openAccessPdf":"https://www.ncbi.nlm.nih.gov/pmc/articles/PMC11994233/pdf/","citationCount":"0","resultStr":null,"platform":"Semanticscholar","paperid":null,"PeriodicalName":"Arhiv Za Higijenu Rada I Toksikologiju-Archives of Industrial Hygiene and Toxicology","FirstCategoryId":"3","ListUrlMain":"https://doi.org/10.2478/aiht-2025-76-3972","RegionNum":4,"RegionCategory":"医学","ArticlePicture":[],"TitleCN":null,"AbstractTextCN":null,"PMCID":null,"EPubDate":"2025/3/1 0:00:00","PubModel":"eCollection","JCR":"Q3","JCRName":"PUBLIC, ENVIRONMENTAL & OCCUPATIONAL HEALTH","Score":null,"Total":0}
引用次数: 0

Abstract

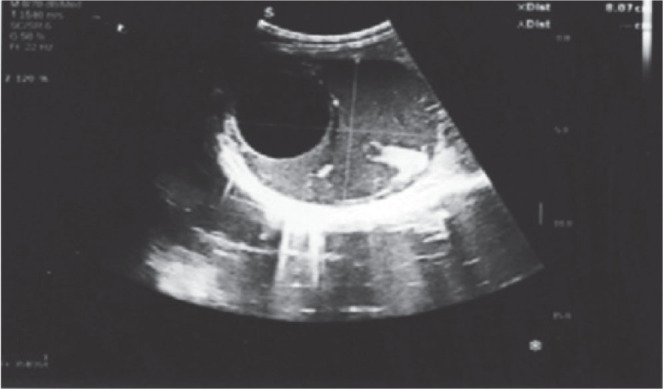
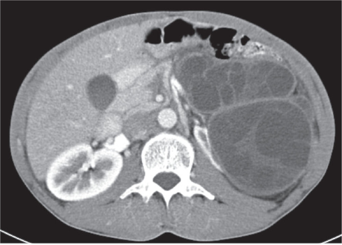
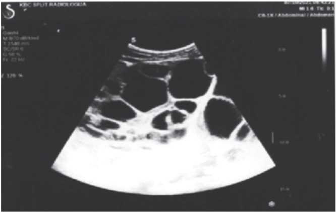
This case report presents a 43-year-old worker (welder in the locksmith trade) from Bosnia and Herzegovina who was diagnosed with advanced hydatidosis during a preventive medical examination. The patient had a history of frequent close contact with dogs at home and at work and reported a long-standing sensation of heaviness in the left side of his abdomen. As part of his routine occupational health examination, he had a complete laboratory testing, abdominal ultrasound, multislice computed tomography (MSCT), and a consultation with an infectious disease specialist and abdominal surgeon. Imaging revealed multiple cystic formations in the left hemiabdomen and a cyst in segment VIII of the liver, confirming the diagnosis of multivisceral echinococcosis. The patient was promptly treated with preoperative (and postoperative) albendazole to reduce the cyst size and prevent complications. This case highlights the critical role of ultrasound in the diagnosis of hydatidosis, especially in an occupational medicine context. As part of preventive screening, ultrasound is a valuable tool for the early detection of echinococcosis in workers in high-risk environments. Early diagnosis allows for timely intervention, reducing the risk of disease progression to an advanced stage. This case underscores the importance of implementing effective epidemiological strategies, including regular screenings and awareness campaigns, in order to control the spread of echinococcosis in endemic regions.

Abstract Image

Abstract Image

Abstract Image

多发性囊性包虫病:预防检查与协同治疗的重要性。
本病例报告涉及一名来自波斯尼亚和黑塞哥维那的43岁工人(锁匠行业的焊工),他在预防性医学检查中被诊断患有晚期包虫病。患者有在家和工作中经常与狗密切接触的病史,并报告其左腹部长期有沉重感。作为常规职业健康检查的一部分,他做了完整的实验室检查、腹部超声、多层计算机断层扫描(MSCT),并咨询了传染病专家和腹部外科医生。影像学显示左半腹多发囊性形成,肝脏第八节段一囊肿,确认多脏器包虫病的诊断。患者术前(术后)及时使用阿苯达唑治疗,以减小囊肿大小并预防并发症。本病例强调超声在包虫病诊断中的关键作用,特别是在职业医学背景下。作为预防性筛查的一部分,超声是在高危环境中早期发现棘球蚴病的宝贵工具。早期诊断可以及时干预,减少疾病进展到晚期的风险。这一病例强调了实施有效的流行病学战略的重要性,包括定期筛查和提高认识运动,以控制棘球蚴病在流行地区的传播。
本文章由计算机程序翻译,如有差异,请以英文原文为准。
求助全文
约1分钟内获得全文 求助全文
来源期刊
Arhiv Za Higijenu Rada I Toksikologiju-Archives of Industrial Hygiene and Toxicology
Arhiv Za Higijenu Rada I Toksikologiju-Archives of Industrial Hygiene and Toxicology PUBLIC, ENVIRONMENTAL & OCCUPATIONAL HEALTH-TOXICOLOGY
CiteScore
3.50
自引率
4.80%
发文量
26
审稿时长
6-12 weeks
期刊介绍: Archives of Industrial Hygiene and Toxicology (abbr. Arh Hig Rada Toksikol) is a peer-reviewed biomedical scientific quarterly that publishes contributions relevant to all aspects of environmental and occupational health and toxicology.
×
引用
GB/T 7714-2015
复制
MLA
复制
APA
复制
导出至
BibTeX EndNote RefMan NoteFirst NoteExpress
×
提示
您的信息不完整,为了账户安全,请先补充。
现在去补充
×
提示
您因"违规操作"
具体请查看互助需知
我知道了
×
提示
确定
请完成安全验证×
copy
已复制链接
快去分享给好友吧!
我知道了
右上角分享
点击右上角分享
0
联系我们:info@booksci.cn Book学术提供免费学术资源搜索服务,方便国内外学者检索中英文文献。致力于提供最便捷和优质的服务体验。 Copyright © 2023 布克学术 All rights reserved.
京ICP备2023020795号-1
ghs 京公网安备 11010802042870号
Book学术文献互助
Book学术文献互助群
群 号:604180095
Book学术官方微信