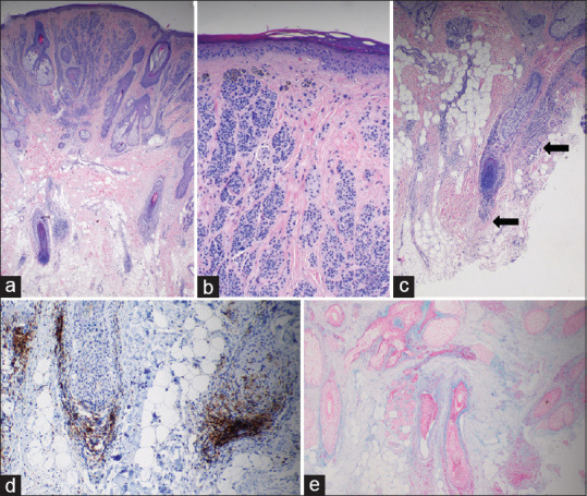
Perinevoid Alopecia and Concentric Regrowth: Two Atypical Patterns of Alopecia Areata.

Q2 Medicine
International Journal of Trichology Pub Date : 2024-01-01 Epub Date: 2025-04-18 DOI:10.4103/ijt.ijt_18_22
Carlota González-Moure, Pedro Gil-Pallares, María Blanco-Bellas, Benigno Monteagudo-Sánchez
{"title":"Perinevoid Alopecia and Concentric Regrowth: Two Atypical Patterns of Alopecia Areata.","authors":"Carlota González-Moure, Pedro Gil-Pallares, María Blanco-Bellas, Benigno Monteagudo-Sánchez","doi":"10.4103/ijt.ijt_18_22","DOIUrl":null,"url":null,"abstract":"","PeriodicalId":14417,"journal":{"name":"International Journal of Trichology","volume":"16 1-6","pages":"60-61"},"PeriodicalIF":0.0000,"publicationDate":"2024-01-01","publicationTypes":"Journal Article","fieldsOfStudy":null,"isOpenAccess":false,"openAccessPdf":"https://www.ncbi.nlm.nih.gov/pmc/articles/PMC12039778/pdf/","citationCount":"0","resultStr":null,"platform":"Semanticscholar","paperid":null,"PeriodicalName":"International Journal of Trichology","FirstCategoryId":"1085","ListUrlMain":"https://doi.org/10.4103/ijt.ijt_18_22","RegionNum":0,"RegionCategory":null,"ArticlePicture":[],"TitleCN":null,"AbstractTextCN":null,"PMCID":null,"EPubDate":"2025/4/18 0:00:00","PubModel":"Epub","JCR":"Q2","JCRName":"Medicine","Score":null,"Total":0}
引用次数: 0

Abstract Image

Abstract Image

会阴状脱发和同心再生:两种不典型斑秃。
本文章由计算机程序翻译,如有差异,请以英文原文为准。
求助全文
约1分钟内获得全文 求助全文
来源期刊
CiteScore
1.50
自引率
0.00%
发文量
38
×
引用
GB/T 7714-2015
复制
MLA
复制
APA
复制
导出至
BibTeX EndNote RefMan NoteFirst NoteExpress
×
提示
您的信息不完整,为了账户安全,请先补充。
现在去补充
×
提示
您因"违规操作"
具体请查看互助需知
我知道了
×
提示
确定
请完成安全验证×
copy
已复制链接
快去分享给好友吧!
我知道了
右上角分享
点击右上角分享
0
联系我们:info@booksci.cn Book学术提供免费学术资源搜索服务,方便国内外学者检索中英文文献。致力于提供最便捷和优质的服务体验。 Copyright © 2023 布克学术 All rights reserved.
京ICP备2023020795号-1
ghs 京公网安备 11010802042870号
Book学术文献互助
Book学术文献互助群
群 号:604180095
Book学术官方微信